ARG30356
Apoptosis Antibody Panel
内含物
| 货号 | 内含物名称 | 宿主克隆性 | 反应 | 应用 | 包装 |
|---|---|---|---|---|---|
| ARG54155 | anti-Caspase 9 antibody | Mouse mAb | Hu, Ms, Rat | WB | 20 μl |
| ARG66963 | anti-Caspase 8 antibody | Rabbit pAb | Hu | ICC/IF, IHC-P, WB | 20 μl |
| ARG66328 | anti-Caspase 3 antibody [SQab1876] | Rabbit mAb | Hu | FACS, ICC/IF, IP, WB | 20 μl |
| ARG41491 | anti-PARP antibody | Rabbit pAb | Hu, Ms, Rat | ICC/IF, IHC-P, WB | 20 μl |
概述
| 产品描述 | Apoptosis Antibody Panel is an all-in-one solution to make apoptosis research easy and economic. This panel includes Caspase-3 and PARP antibodies for reliable detection of apoptosis, along with Caspase-9 and Caspase-8 antibodies to distinguish between intrinsic and extrinsic apoptotic pathways, respectively. It is the best solution for comparative studies of apoptosis signaling events under experimental conditions. |
|---|---|
| 靶点名称 | Caspase-9 / Caspase-8 / Caspase-3 / PARP |
属性
| 存放说明 | For continuous use, store undiluted antibody at 2-8°C for up to a week. For long-term storage, aliquot and store at -20°C or below. Storage in frost free freezers is not recommended. Avoid repeated freeze/thaw cycles. Suggest spin the vial prior to opening. The antibody solution should be gently mixed before use. |
|---|---|
| 注意事项 | For laboratory research only, not for drug, diagnostic or other use. |
生物信息
| 全名 | Antibody Panel for Apoptosis |
|---|---|
| 产品亮点 | Related Product: anti-Caspase 9 antibody; anti-Caspase 8 antibody; anti-Caspase 3 antibody; anti-PARP antibody; |
检测图片 (13) Click the Picture to Zoom In
-
ARG54155 anti-Caspase 9 antibody WB image
Western blot: Human GCs stained with ARG10002 anti-TGF beta antibody [TB21] , ARG40797 anti-GDF9 antibody, ARG54155 anti-Caspase 9 antibody, ARG56357 anti-BMP15 antibody, ARG66671 anti-Caspase 3 (cleaved) antibody and ARG66247 anti-Bax antibody [SQab1736].
From Liang Y et al. Gynecol Endocrinol. (2023), doi: 10.1080/09513590.2023.2181652, Fig. 3.
-
ARG41491 anti-PARP antibody WB image
Western blot: 20 μg of HeLa cells untreated or treated with Staurosporine. The blots were stained with ARG41491 anti-PARP antibody at 1:500 dilution.
-
ARG54155 anti-Caspase 9 antibody WB image
Western blot: 20 µg of HeLa untreated or treated with ARG54155 anti-Caspase 9 antibody at 1:1000 dilution.
-
ARG54155 anti-Caspase 9 antibody WB image
Western blot: 10 µg of HeLa, 20 µg of Mouse brain and 20 µg of Rat brain lysates stained with ARG54155 anti-Caspase 9 antibody at 1:1000 dilution.
-
ARG66328 anti-Caspase 3 antibody [SQab1876] ICC/IF image
Immunofluorescence: Jurkat cells were fixed with 4% paraformaldehyde for 30 min at RT, permeabilized with 0.1% Triton X-100 for 10 min at RT then blocked with 10% goat serum for 30 min at RT. Cells were stained with ARG66328 anti-Caspase 3 antibody [SQab1876] (red) at 1:800 and 4°C. DAPI (blue) was used as the nuclear counter stain.
-
ARG41491 anti-PARP antibody ICC/IF image
Immunofluorescence: HeLa cells stained with ARG41491 anti-PARP antibody.
-
ARG66328 anti-Caspase 3 antibody [SQab1876] FACS image
Flow Cytometry: Ramos cells were fixed with 4% paraformaldehyde (10 min) and then permeabilized with 0.1% TritonX-100 for 15 min. The cells were stained with ARG66328 anti-Caspase 3 antibody [SQab1876] (red) at 1:1,000 dilution in 1x PBS/1% BSA for 30 min at RT, followed by Alexa Fluor® 488 labelled secondary antibody. Unlabelled sample (black) was used as a control. .
-
ARG41491 anti-PARP antibody IHC-P image
Immunohistochemistry: Paraffin-embedded Mouse testis tissue stained with ARG41491 anti-PARP antibody.
-
ARG66328 anti-Caspase 3 antibody [SQab1876] WB image
Western blot: 20 µg of Jurkat treated with 1 µM staurosporine for 4h (+) or untreated (-). The blots were stained with ARG66328 anti-Caspase 3 antibody [SQab1876] at 1:2000 dilution.
-
ARG66963 anti-Caspase 8 antibody WB image
Western blot: 50 µg of cell lysate from Etoposide treated Jurkat cells stained with ARG66963 anti-Caspase 8 antibody at 1:1000 dilution, overnight at 4°C.
-
ARG66963 anti-Caspase 8 antibody ICC/IF image
Immunofluorescence: HUVEC stained with ARG66963 anti-Caspase 8 antibody.
-
ARG66328 anti-Caspase 3 antibody [SQab1876] IP image
Immunoprecipitation: 0.4 mg of Jurkat whole cell lysate immunoprecipitated (1:50) and stained with ARG66328 anti-Caspase 3 antibody [SQab1876]. 1) ARG66328 IP in Jurkat whole cell lysate, 2) PBS instead of ARG66328 in Jurkat whole cell lysate, and 3) Jurkat whole cell lysate, 10 µg (input).
-
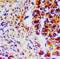
ARG66963 anti-Caspase 8 antibody IHC-P image
Immunohistochemistry: Human Hepatocellular Carcinoma stained with ARG66963 anti-Caspase 8 antibody.
