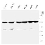
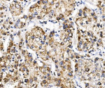
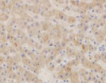
Home Primary Antibodies Search Result - Primary Antibodies There are 22495 results Primary Antibodies 18033 Secondary Antibodies 763 Isotype Controls 213 Antibody Duos and Panels 172 Reagents 542 Kits 2772 anti-SH3RF1 antibody Cat. No: ARG44930 (Mouse mAb) Reactivity: Hu, Ms Application: IP, WB Conjugation: Un-conjugated anti-SUOX antibody Cat. No: ARG44949 (Mouse mAb) Reactivity: Hu Application: IHC-P, IP, WB Conjugation: Un-conjugated anti-TRIM34 / RNF21 antibody Cat. No: ARG44965 (Mouse mAb) Reactivity: Hu Application: IHC-P, IP, WB Conjugation: Un-conjugated anti-UBR7 antibody Cat. No: ARG44983 (Mouse mAb) Reactivity: Hu Application: IHC-P, IP, WB Conjugation: Un-conjugated anti-CD321 / JAM1 antibody Cat. No: ARG45056 (Rabbit pAb) Reactivity: Hu Application: FACS, IHC-P, WB Conjugation: Un-conjugated anti-Twist 1 antibody Cat. No: ARG67154 (Rabbit pAb) Reactivity: Hu, Ms, Rat Application: ICC/IF, WB Conjugation: Un-conjugated anti-PTCH2 antibody Cat. No: ARG45124 (Rabbit pAb) Reactivity: Hu Application: ICC/IF, IHC-P, WB Conjugation: Un-conjugated anti-MDC1 antibody Cat. No: ARG45128 (Rabbit pAb) Reactivity: Hu Application: FACS, IHC-P, ICC Conjugation: Un-conjugated anti-Cytochrome P450 2B6/CYP2B6 antibody Cat. No: ARG45159 (Rabbit pAb) Reactivity: Hu Application: FACS, ICC/IF, WB Conjugation: Un-conjugated anti-MTUS1 antibody Cat. No: ARG45160 (Rabbit pAb) Reactivity: Hu, Ms, Rat Application: ICC/IF, WB Conjugation: Un-conjugated First Previous 956957958959960961962963964965966 Next Last