ARG45124
anti-PTCH2 antibody
anti-PTCH2 antibody for ICC/IF,IHC-Formalin-fixed paraffin-embedded sections,Western blot and Human
概述
| 产品描述 | Rabbit Polyclonal antibody recognizes PTCH2 |
|---|---|
| 反应物种 | Hu |
| 应用 | ICC/IF, IHC-P, WB |
| 宿主 | Rabbit |
| 克隆 | Polyclonal |
| 同位型 | IgG |
| 靶点名称 | PTCH2 |
| 抗原物种 | Human |
| 抗原 | Synthetic peptide derived from Human PTCH2 |
| 偶联标记 | Un-conjugated |
| 別名 | PTCH2; Patched 2; Protein Patched Homolog 2; PTC2; Patched (Drosophila) Homolog 2; Patched Homolog 2 (Drosophila); Patched Homolog 2 |
应用说明
| 应用建议 |
|
||||||||
|---|---|---|---|---|---|---|---|---|---|
| 应用说明 | * The dilutions indicate recommended starting dilutions and the optimal dilutions or concentrations should be determined by the scientist. |
属性
| 形式 | Liquid |
|---|---|
| 纯化 | Affinity purification with immunogen. |
| 缓冲液 | 0.9% NaCl, 0.2% Na2HPO4, 0.05% Sodium azide and 4% Trehalose. |
| 抗菌剂 | 0.05% Sodium azide |
| 稳定剂 | 4% Trehalose |
| 存放说明 | For continuous use, store undiluted antibody at 2-8°C for up to a week. For long-term storage, aliquot and store at -20°C or below. Storage in frost free freezers is not recommended. Avoid repeated freeze/thaw cycles. Suggest spin the vial prior to opening. The antibody solution should be gently mixed before use. |
| 注意事项 | For laboratory research only, not for drug, diagnostic or other use. |
生物信息
| 数据库连接 | |
|---|---|
| 基因名称 | PTCH2 |
| 全名 | Patched 2 |
| 背景介绍 | This gene encodes a transmembrane receptor of the patched gene family. The encoded protein may function as a tumor suppressor in the hedgehog signaling pathway. Alterations in this gene have been associated with nevoid basal cell carcinoma syndrome, basal cell carcinoma, medulloblastoma, and susceptibility to congenital macrostomia. Alternatively spliced transcript variants have been described.[provided by RefSeq, Oct 2009] |
| 生物功能 | May have a role in epidermal development. May act as a receptor for Sonic hedgehog (SHH) [Uniprot] |
| 细胞定位 | Membrane. [Uniprot] |
| 预测分子量 | 131 kDa |
| 翻译后修饰 | Glycoprotein. [Uniprot] |
检测图片 (3) Click the Picture to Zoom In
-
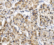
ARG45124 anti-PTCH2 antibody IHC-P image
Immunohistochemistry: Human liver cancer stained with ARG45124 anti-PTCH2 antibody at 2 μg/ml dilution.
-
ARG45124 anti-PTCH2 antibody ICC/IF image
Immunofluorescence: U20S stained with ARG45124 anti-PTCH2 antibody at 5 μg/ml dilution.
-
ARG45124 anti-PTCH2 antibody WB image
Western blot: THP-1 stained with ARG45124 anti-PTCH2 antibody at 0.5 μg/ml dilution.
