ARG45159
anti-Cytochrome P450 2B6/CYP2B6 antibody
anti-Cytochrome P450 2B6/CYP2B6 antibody for Flow cytometry,ICC/IF,Western blot and Human
概述
| 产品描述 | Rabbit Polyclonal antibody recognizes Cytochrome P450 2B6/CYP2B6 |
|---|---|
| 反应物种 | Hu |
| 应用 | FACS, ICC/IF, WB |
| 宿主 | Rabbit |
| 克隆 | Polyclonal |
| 同位型 | IgG |
| 靶点名称 | CYP2B6 |
| 抗原物种 | Human |
| 抗原 | Synthetic peptide corresponding to N-terminal region of human CYP2B6. |
| 偶联标记 | Un-conjugated |
| 別名 | CYP2B6; cytochrome P450 family 2 subfamily B member 6; Cytochrome P450 2B6; 1,4-cineole 2-exo-monooxygenase; CYPIIB6; Cytochrome P450 IIB1; CYP2B6 |
应用说明
| 应用建议 |
|
||||||||
|---|---|---|---|---|---|---|---|---|---|
| 应用说明 | * The dilutions indicate recommended starting dilutions and the optimal dilutions or concentrations should be determined by the scientist. | ||||||||
| 实际分子量 | 56 kDa |
属性
| 形式 | Liquid |
|---|---|
| 纯化 | Affinity purification with immunogen. |
| 缓冲液 | 0.2% Na2HPO4, 0.9% NaCl, 0.05% Sodium azide and 4% Trehalose. |
| 抗菌剂 | 0.05% Sodium azide |
| 稳定剂 | 4% Trehalose |
| 浓度 | 0.5 mg/ml |
| 存放说明 | For continuous use, store undiluted antibody at 2-8°C for up to a week. For long-term storage, aliquot and store at -20°C or below. Storage in frost free freezers is not recommended. Avoid repeated freeze/thaw cycles. Suggest spin the vial prior to opening. The antibody solution should be gently mixed before use. |
| 注意事项 | For laboratory research only, not for drug, diagnostic or other use. |
生物信息
| 数据库连接 | |
|---|---|
| 基因名称 | CYP2B6 |
| 全名 | cytochrome P450 family 2 subfamily B member 6 |
| 背景介绍 | This gene, CYP2B6, encodes a member of the cytochrome P450 superfamily of enzymes. The cytochrome P450 proteins are monooxygenases which catalyze many reactions involved in drug metabolism and synthesis of cholesterol, steroids and other lipids. This protein localizes to the endoplasmic reticulum and its expression is induced by phenobarbital. The enzyme is known to metabolize some xenobiotics, such as the anti-cancer drugs cyclophosphamide and ifosphamide. Transcript variants for this gene have been described; however, it has not been resolved whether these transcripts are in fact produced by this gene or by a closely related pseudogene, CYP2B7. Both the gene and the pseudogene are located in the middle of a CYP2A pseudogene found in a large cluster of cytochrome P450 genes from the CYP2A, CYP2B and CYP2F subfamilies on chromosome 19q. [provided by RefSeq, Jul 2008] |
| 生物功能 | A cytochrome P450 monooxygenase involved in the metabolism of endocannabinoids and steroids. [UniProt] |
| 细胞定位 | Endoplasmic reticulum membrane; Microsome membrane. [UniProt] |
| 预测分子量 | 56 kDa |
| 翻译后修饰 | Phosphoprotein. [UniProt] |
检测图片 (3) Click the Picture to Zoom In
-
ARG45159 anti-Cytochrome P450 2B6/CYP2B6 antibody ICC/IF image
Immunofluorescence: U20S stained with ARG45159 anti-Cytochrome P450 2B6/CYP2B6 antibody at 5 ug/ml dilution.
-
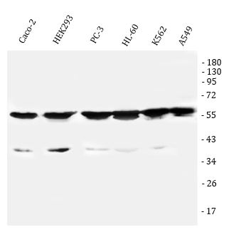
ARG45159 anti-SCN4B antibody WB image
Western blot: Caco-2, HEK293, PC-3, HL-60, K562,and A549 stained with ARG45159 anti-SCN4B antibody at 0.5 μg/ml dilution.
-
ARG45159 anti-Cytochrome P450 2B6/CYP2B6 antibody FACS image
Flow Cytometry: THP-1 stained with ARG45159 anti-Cytochrome P450 2B6/CYP2B6 antibody at 1 µg/10^6 cells dilution.
