ARG44983
anti-UBR7 antibody
anti-UBR7 antibody for IHC-Formalin-fixed paraffin-embedded sections,Immunoprecipitation,Western blot and Human
概述
| 产品描述 | Mouse Monoclonal antibody recognizes UBR7 |
|---|---|
| 反应物种 | Hu |
| 应用 | IHC-P, IP, WB |
| 宿主 | Mouse |
| 克隆 | Monoclonal |
| 同位型 | IgG2a |
| 靶点名称 | UBR7 |
| 抗原物种 | Human |
| 抗原表位 | YPDPEDEIPD EMIQCVVCED WFHGRHLGAI PPESGDFQEM VCQACMKRCS FLWAYAAQLA VTKISTEDDG LVRNIDGIGD QEVIKPENGE HQDSTLKEDV PEQGKDDVRE VKVEQNSEPC AGSSSESDLQ TVFKNESLNA ESKSGCKLQE LKAKQLIKKD TATYWPLNWR SKLCTCQDCM KMYGDLDVLF LTDEYDTVLA YENKGKIAQA TDRSDPLMDT LSSMNRVQQV ELICEYNDLK TELKDYLKRF ADEGTVVKRE DIQQFFEEFQ SKKRRRVDGM |
| 偶联标记 | Un-conjugated |
| 別名 | UBR7; Ubiquitin Protein Ligase E3 Component N-Recognin7; C14orf130; Ubiquitin Protein Ligase E3 Component N-Recognin7 (Putative); Putative E3 Ubiquitin-Protein Ligase UBR7; RING-Type E3 Ubiquitin Transferase UBR7; N-Recognin-7; Chromosome14 Open Reading Frame130; EC2.3.2.27; LICAS |
应用说明
| 应用建议 |
|
||||||||
|---|---|---|---|---|---|---|---|---|---|
| 应用说明 | * The dilutions indicate recommended starting dilutions and the optimal dilutions or concentrations should be determined by the scientist. |
属性
| 形式 | Liquid |
|---|---|
| 纯化 | Protein A purification |
| 缓冲液 | PBS with0.09% sodium azide |
| 抗菌剂 | 0.09% sodium azide |
| 存放说明 | For continuous use, store undiluted antibody at2-8°C for up to a week. For long-term storage, aliquot and store at -20°C or below. Storage in frost free freezers is not recommended. Avoid repeated freeze/thaw cycles. Suggest spin the vial prior to opening. The antibody solution should be gently mixed before use. |
| 注意事项 | For laboratory research only, not for drug, diagnostic or other use. |
生物信息
| 数据库连接 |
Swiss-port # Q8N806 Human Putative E3 ubiquitin-protein ligase UBR7 |
|---|---|
| 基因名称 | UBR7 |
| 全名 | Ubiquitin Protein Ligase E3 Component N-Recognin7 |
| 背景介绍 | This gene encodes a UBR box-containing protein that belongs to the E3 ubiquitin ligase family. The protein also contains a plant homeodomain (PHD) in the C-terminus. In mammals, the encoded protein recognizes N-degrons, the destabilizing N-terminal residues of short-lived proteins, which results in ubiquitinylation, and proteolysis via the proteasome. [provided by RefSeq, Jul2016] |
| 生物功能 | E3 ubiquitin-protein ligase which is a component of the N-end rule pathway. Recognizes and binds to proteins bearing specific N-terminal residues that are destabilizing according to the N-end rule, leading to their ubiquitination and subsequent degradation. [Uniprot] |
| 翻译后修饰 | Isopeptide bond, Phosphoprotein, Ubl conjugation. [Uniprot] |
检测图片 (3) Click the Picture to Zoom In
-
ARG44983 anti-UBR7 antibody IHC-P image
Immunohistochemistry: Human testis stained with ARG44983 anti-UBR7 antibody at 1 µg/mL dilution.
-
ARG44983 anti-UBR7 antibody WB image
Western blot: T-47D stained with ARG44983 anti-UBR7 antibody at 1 µg/mL dilution.
-
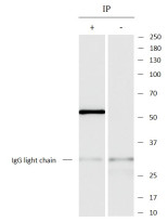
ARG44983 anti-UBR7 antibody IP image
Immunoprecipitation: T-47D lysate immunoprecipitated with 2.5 µg of ARG44983 anti-UBR7 antibody.
