ARG44949
anti-SUOX antibody
anti-SUOX antibody for IHC-Formalin-fixed paraffin-embedded sections,Immunoprecipitation,Western blot and Human
概述
| 产品描述 | Mouse Monoclonal antibody recognizes SUOX |
|---|---|
| 反应物种 | Hu |
| 应用 | IHC-P, IP, WB |
| 宿主 | Mouse |
| 克隆 | Monoclonal |
| 同位型 | IgG1 |
| 靶点名称 | SUOX |
| 抗原物种 | Human |
| 抗原表位 | PVPNLDPDTY RLHVVGAPGG QSLSLSLDDL HNFPRYEITV TLQCAGNRRS EMTQVKEVKG LEWRTGAIST ARWAGARLCD VLAQAGHQLC ETEAHVCFEG LDSDPTGTAY GASIPLARAM DPEAEVLLAY EMNGQPLPRD HGFPVRVVVP GVVGARHVKW LGRVSVQPEE SYSHWQRRDY KGFSPSVDWE TVDFDSAPSI QELPVQSAIT EPRDGETVES GEVTIKGYAW SGGGRAVIRV DVSLDGGLTW QVAKLDGEEQ RPRKAWAWRL WQLKAPVPAG QKELNIVCKA VDDGYNVQPD TVAPIWNLRG VLSNAWHRVH |
| 偶联标记 | Un-conjugated |
| 別名 | SUOX; Sulfite Oxidase; Sulfite Oxidase, Mitochondrial; EC 1.8.3.1 |
应用说明
| 应用建议 |
|
||||||||
|---|---|---|---|---|---|---|---|---|---|
| 应用说明 | * The dilutions indicate recommended starting dilutions and the optimal dilutions or concentrations should be determined by the scientist. |
属性
| 形式 | Liquid |
|---|---|
| 纯化 | Protein A purification |
| 缓冲液 | PBS with 0.09% sodium azide |
| 抗菌剂 | 0.09% sodium azide |
| 存放说明 | For continuous use, store undiluted antibody at 2-8°C for up to a week. For long-term storage, aliquot and store at -20°C or below. Storage in frost free freezers is not recommended. Avoid repeated freeze/thaw cycles. Suggest spin the vial prior to opening. The antibody solution should be gently mixed before use. |
| 注意事项 | For laboratory research only, not for drug, diagnostic or other use. |
生物信息
| 数据库连接 | |
|---|---|
| 基因名称 | SUOX |
| 全名 | Sulfite Oxidase |
| 背景介绍 | Sulfite oxidase is a homodimeric protein localized to the intermembrane space of mitochondria. Each subunit contains a heme domain and a molybdopterin-binding domain. The enzyme catalyzes the oxidation of sulfite to sulfate, the final reaction in the oxidative degradation of the sulfur amino acids cysteine and methionine. Sulfite oxidase deficiency results in neurological abnormalities which are often fatal at an early age. Alternative splicing results in multiple transcript variants encoding identical proteins. [provided by RefSeq, Jul 2008] |
| 生物功能 | Catalyzes the oxidation of sulfite to sulfate, the terminal reaction in the oxidative degradation of sulfur-containing amino acids. [Uniprot] |
| 细胞定位 | Mitochondrion. [Uniprot] |
| 翻译后修饰 | Phosphoprotein. [Uniprot] |
检测图片 (3) Click the Picture to Zoom In
-
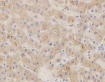
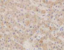
ARG44949 anti-SUOX antibody IHC-P image
Immunohistochemistry: Human live stained with ARG44949 anti-SUOX antibody at 5 µg/mL dilution.
-
ARG44949 anti-SUOX antibody WB image
Western blot: HepG2 stained with ARG44949 anti-SUOX antibody at 1 µg/mL dilution.
-
ARG44949 anti-SUOX antibody IP image
Immunoprecipitation: HepG2 lysate immunoprecipitated with 2.5 µg of ARG44949 anti-SUOX antibody.
