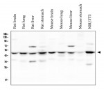
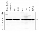
Home Primary Antibodies Search Result - Primary Antibodies There are 21964 results Primary Antibodies 17484 Secondary Antibodies 763 Isotype Controls 213 Antibody Duos and Panels 172 Reagents 543 Kits 2789 anti-Claudin 2 antibody Cat. No: ARG43045 (Rabbit pAb) Reactivity: Hu, Rat Application: IHC-P, WB Conjugation: Un-conjugated anti-Ku 70 acetyl (Lys539) antibody (1 Publications) Cat. No: ARG43080 (Rabbit pAb) Reactivity: Hu Application: WB Conjugation: Un-conjugated anti-PAK4 antibody Cat. No: ARG43115 (Rabbit pAb) Reactivity: Hu Application: ICC/IF, IHC-P, WB Conjugation: Un-conjugated anti-CaMKK alpha antibody Cat. No: ARG43085 (Rabbit pAb) Reactivity: Ms, Rat Application: IHC-P, WB Conjugation: Un-conjugated anti-WDR83 / Morg1 antibody Cat. No: ARG66842 (Rabbit pAb) Reactivity: Hu Application: IHC-P, WB Conjugation: Un-conjugated anti-P2RX5 / P2X5 antibody Cat. No: ARG43126 (Rabbit pAb) Reactivity: Hu Application: IHC-P, WB Conjugation: Un-conjugated anti-MUC20 antibody Cat. No: ARG43130 (Rabbit pAb) Reactivity: Hu, Ms, Rat Application: IHC-P Conjugation: Un-conjugated anti-SARS-CoV-2 Envelope protein antibody Cat. No: ARG43204 (Rabbit pAb) Reactivity: Virus Application: ELISA, ICC/IF, IHC-P Specificity: The antibody can detect 50 ng of free peptide at 1 µg/ml in ELISA. But it cannot detect envelope recombinant protein in WB and ELISA. Conjugation: Un-conjugated anti-Aquaporin 9 antibody Cat. No: ARG43209 (Rabbit pAb) Reactivity: Rat Application: IHC-P, WB Conjugation: Un-conjugated anti-MEX3A antibody Cat. No: ARG43260 (Rabbit pAb) Reactivity: Hu Application: IHC-P, WB Conjugation: Un-conjugated First Previous 10541055105610571058105910601061106210631064 Next Last