ARG66640
anti-ARNTL / BMAL1 antibody
anti-ARNTL / BMAL1 antibody for IHC-Formalin-fixed paraffin-embedded sections,Western blot and Human,Rat
概述
| 产品描述 | Rabbit Polyclonal antibody recognizes ARNTL / BMAL1 |
|---|---|
| 反应物种 | Hu, Rat |
| 预测物种 | Ms |
| 应用 | IHC-P, WB |
| 宿主 | Rabbit |
| 克隆 | Polyclonal |
| 同位型 | IgG |
| 靶点名称 | ARNTL / BMAL1 |
| 抗原物种 | Human |
| 抗原 | Synthetic peptide around Lys538 of Human ARNTL / BMAL1. |
| 偶联标记 | Un-conjugated |
| 別名 | BMAL1; Basic-helix-loop-helix-PAS protein MOP3; Brain and muscle ARNT-like 1; bHLH-PAS protein JAP3; PAS domain-containing protein 3; Aryl hydrocarbon receptor nuclear translocator-like protein 1; MOP3; JAP3; Class E basic helix-loop-helix protein 5; bHLHe5; Member of PAS protein 3; PASD3; BMAL1c; TIC |
应用说明
| 应用建议 |
|
||||||
|---|---|---|---|---|---|---|---|
| 应用说明 | * The dilutions indicate recommended starting dilutions and the optimal dilutions or concentrations should be determined by the scientist. | ||||||
| 实际分子量 | 69 kDa |
属性
| 形式 | Liquid |
|---|---|
| 纯化 | Affinity purification with immunogen. |
| 缓冲液 | PBS, 0.02% Sodium azide, 50% Glycerol and 0.5% BSA. |
| 抗菌剂 | 0.02% Sodium azide |
| 稳定剂 | 50% Glycerol and 0.5% BSA |
| 浓度 | 1 mg/ml |
| 存放说明 | For continuous use, store undiluted antibody at 2-8°C for up to a week. For long-term storage, aliquot and store at -20°C. Storage in frost free freezers is not recommended. Avoid repeated freeze/thaw cycles. Suggest spin the vial prior to opening. The antibody solution should be gently mixed before use. |
| 注意事项 | For laboratory research only, not for drug, diagnostic or other use. |
生物信息
| 数据库连接 |
Swiss-port # O00327 Human Aryl hydrocarbon receptor nuclear translocator-like protein 1 Swiss-port # Q9EPW1 Rat Aryl hydrocarbon receptor nuclear translocator-like protein 1 |
|---|---|
| 基因名称 | ARNTL |
| 全名 | aryl hydrocarbon receptor nuclear translocator-like |
| 背景介绍 | The protein encoded by this gene is a basic helix-loop-helix protein that forms a heterodimer with CLOCK. This heterodimer binds E-box enhancer elements upstream of Period (PER1, PER2, PER3) and Cryptochrome (CRY1, CRY2) genes and activates transcription of these genes. PER and CRY proteins heterodimerize and repress their own transcription by interacting in a feedback loop with CLOCK/ARNTL complexes. Defects in this gene have been linked to infertility, problems with gluconeogenesis and lipogenesis, and altered sleep patterns. Several transcript variants encoding different isoforms have been found for this gene. [provided by RefSeq, Jul 2014] |
| 生物功能 | Transcriptional activator which forms a core component of the circadian clock. The circadian clock, an internal time-keeping system, regulates various physiological processes through the generation of approximately 24 hour circadian rhythms in gene expression, which are translated into rhythms in metabolism and behavior. It is derived from the Latin roots 'circa' (about) and 'diem' (day) and acts as an important regulator of a wide array of physiological functions including metabolism, sleep, body temperature, blood pressure, endocrine, immune, cardiovascular, and renal function. Consists of two major components: the central clock, residing in the suprachiasmatic nucleus (SCN) of the brain, and the peripheral clocks that are present in nearly every tissue and organ system. Both the central and peripheral clocks can be reset by environmental cues, also known as Zeitgebers (German for 'timegivers'). The predominant Zeitgeber for the central clock is light, which is sensed by retina and signals directly to the SCN. The central clock entrains the peripheral clocks through neuronal and hormonal signals, body temperature and feeding-related cues, aligning all clocks with the external light/dark cycle. Circadian rhythms allow an organism to achieve temporal homeostasis with its environment at the molecular level by regulating gene expression to create a peak of protein expression once every 24 hours to control when a particular physiological process is most active with respect to the solar day. Transcription and translation of core clock components (CLOCK, NPAS2, ARNTL/BMAL1, ARNTL2/BMAL2, PER1, PER2, PER3, CRY1 and CRY2) plays a critical role in rhythm generation, whereas delays imposed by post-translational modifications (PTMs) are important for determining the period (tau) of the rhythms (tau refers to the period of a rhythm and is the length, in time, of one complete cycle). A diurnal rhythm is synchronized with the day/night cycle, while the ultradian and infradian rhythms have a period shorter and longer than 24 hours, respectively. Disruptions in the circadian rhythms contribute to the pathology of cardiovascular diseases, cancer, metabolic syndromes and aging. A transcription/translation feedback loop (TTFL) forms the core of the molecular circadian clock mechanism. Transcription factors, CLOCK or NPAS2 and ARNTL/BMAL1 or ARNTL2/BMAL2, form the positive limb of the feedback loop, act in the form of a heterodimer and activate the transcription of core clock genes and clock-controlled genes (involved in key metabolic processes), harboring E-box elements (5'-CACGTG-3') within their promoters. The core clock genes: PER1/2/3 and CRY1/2 which are transcriptional repressors form the negative limb of the feedback loop and interact with the CLOCK|NPAS2-ARNTL/BMAL1|ARNTL2/BMAL2 heterodimer inhibiting its activity and thereby negatively regulating their own expression. This heterodimer also activates nuclear receptors NR1D1/2 and RORA/B/G, which form a second feedback loop and which activate and repress ARNTL/BMAL1 transcription, respectively. ARNTL/BMAL1 positively regulates myogenesis and negatively regulates adipogenesis via the transcriptional control of the genes of the canonical Wnt signaling pathway. Plays a role in normal pancreatic beta-cell function; regulates glucose-stimulated insulin secretion via the regulation of antioxidant genes NFE2L2/NRF2 and its targets SESN2, PRDX3, CCLC and CCLM. Negatively regulates the mTORC1 signaling pathway; regulates the expression of MTOR and DEPTOR. Controls diurnal oscillations of Ly6C inflammatory monocytes; rhythmic recruitment of the PRC2 complex imparts diurnal variation to chemokine expression that is necessary to sustain Ly6C monocyte rhythms. Regulates the expression of HSD3B2, STAR, PTGS2, CYP11A1, CYP19A1 and LHCGR in the ovary and also the genes involved in hair growth. Plays an important role in adult hippocampal neurogenesis by regulating the timely entry of neural stem/progenitor cells (NSPCs) into the cell cycle and the number of cell divisions that take place prior to cell-cycle exit. Regulates the circadian expression of CIART and KLF11. The CLOCK-ARNTL/BMAL1 heterodimer regulates the circadian expression of SERPINE1/PAI1, VWF, B3, CCRN4L/NOC, NAMPT, DBP, MYOD1, PPARGC1A, PPARGC1B, SIRT1, GYS2, F7, NGFR, GNRHR, BHLHE40/DEC1, ATF4, MTA1, KLF10 and also genes implicated in glucose and lipid metabolism. Represses glucocorticoid receptor NR3C1/GR-induced transcriptional activity by reducing the association of NR3C1/GR to glucocorticoid response elements (GREs) via the acetylation of multiple lysine residues located in its hinge region. Promotes rhythmic chromatin opening, regulating the DNA accessibility of other transcription factors. The NPAS2-ARNTL/BMAL1 heterodimer positively regulates the expression of MAOA, F7 and LDHA and modulates the circadian rhythm of daytime contrast sensitivity by regulating the rhythmic expression of adenylate cyclase type 1 (ADCY1) in the retina. [UniProt] |
| 细胞定位 | Nucleus. Cytoplasm. Nucleus, PML body. Note=Shuttles between the nucleus and the cytoplasm and this nucleocytoplasmic shuttling is essential for the nuclear accumulation of CLOCK, target gene transcription and the degradation of the CLOCK-ARNTL/BMAL1 heterodimer. The sumoylated form localizes in the PML body. Sequestered to the cytoplasm in the presence of ID2. [UniProt] |
| 预测分子量 | 69 kDa |
| 翻译后修饰 | Ubiquitinated, leading to its proteasomal degradation. O-glycosylated; contains O-GlcNAc. O-glycosylation by OGT prevents protein degradation by inhibiting ubiquitination. It also stabilizes the CLOCK-ARNTL/BMAL1 heterodimer thereby increasing CLOCK-ARNTL/BMAL1-mediated transcription of genes in the negative loop of the circadian clock such as PER1/2/3 and CRY1/2. Acetylated on Lys-538 upon dimerization with CLOCK. Acetylation facilitates CRY1-mediated repression. Deacetylated by SIRT1, which may result in decreased protein stability. Phosphorylated upon dimerization with CLOCK. Phosphorylation enhances the transcriptional activity, alters the subcellular localization and decreases the stability of the CLOCK-ARNTL/BMAL1 heterodimer by promoting its degradation. Phosphorylation shows circadian variations in the liver with a peak between CT10 to CT14. Phosphorylation at Ser-90 by CK2 is essential for its nuclear localization, its interaction with CLOCK and controls CLOCK nuclear entry (By similarity). Dephosphorylation at Ser-78 is important for dimerization with CLOCK and transcriptional activity (PubMed:23229515). Sumoylated on Lys-259 upon dimerization with CLOCK. Predominantly conjugated to poly-SUMO2/3 rather than SUMO1 and the level of these conjugates undergo rhythmic variation, peaking at CT9-CT12. Sumoylation localizes it exclusively to the PML body and promotes its ubiquitination in the PML body, ubiquitin-dependent proteasomal degradation and the transcriptional activity of the CLOCK-ARNTL/BMAL1 heterodimer. [UniProt] |
检测图片 (2) Click the Picture to Zoom In
-
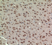
ARG66640 anti-ARNTL / BMAL1 antibody IHC-P image
Immunohistochemistry: Paraffin-embedded Rat brain tissue stained with ARG66640 anti-ARNTL / BMAL1 antibody at 1:100 dilution.
-
ARG66640 anti-ARNTL / BMAL1 antibody WB image
Western blot: K562 cell lysate stained with ARG66640 anti-ARNTL / BMAL1 antibody.
