ARG66641
anti-PIK3CD / p110 delta antibody
anti-PIK3CD / p110 delta antibody for IHC-Formalin-fixed paraffin-embedded sections,Western blot and Human,Mouse
概述
| 产品描述 | Rabbit Polyclonal antibody recognizes PIK3CD / p110 delta |
|---|---|
| 反应物种 | Hu, Ms |
| 应用 | IHC-P, WB |
| 宿主 | Rabbit |
| 克隆 | Polyclonal |
| 同位型 | IgG |
| 靶点名称 | PIK3CD / p110 delta |
| 抗原物种 | Human |
| 抗原 | Synthetic peptide around the N-terminal region of Human PIK3CD / p110 delta. |
| 偶联标记 | Un-conjugated |
| 別名 | APDS; Phosphatidylinositol 4,5-bisphosphate 3-kinase 110 kDa catalytic subunit delta; PI3K-delta; PI3K; EC 2.7.1.153; Phosphatidylinositol 4,5-bisphosphate 3-kinase catalytic subunit delta isoform; p110D; PI3-kinase subunit delta; P110DELTA; PI3Kdelta; IMD14; PtdIns-3-kinase subunit delta; PtdIns-3-kinase subunit p110-delta; p110delta |
应用说明
| 应用建议 |
|
||||||
|---|---|---|---|---|---|---|---|
| 应用说明 | * The dilutions indicate recommended starting dilutions and the optimal dilutions or concentrations should be determined by the scientist. | ||||||
| 实际分子量 | ~ 110 kDa |
属性
| 形式 | Liquid |
|---|---|
| 纯化 | Affinity purification with immunogen. |
| 缓冲液 | PBS, 0.02% Sodium azide, 50% Glycerol and 0.5% BSA. |
| 抗菌剂 | 0.02% Sodium azide |
| 稳定剂 | 50% Glycerol and 0.5% BSA |
| 浓度 | 1 mg/ml |
| 存放说明 | For continuous use, store undiluted antibody at 2-8°C for up to a week. For long-term storage, aliquot and store at -20°C. Storage in frost free freezers is not recommended. Avoid repeated freeze/thaw cycles. Suggest spin the vial prior to opening. The antibody solution should be gently mixed before use. |
| 注意事项 | For laboratory research only, not for drug, diagnostic or other use. |
生物信息
| 数据库连接 |
Swiss-port # O00329 Human Phosphatidylinositol 4,5-bisphosphate 3-kinase catalytic subunit delta iso Swiss-port # O35904 Mouse Phosphatidylinositol 4,5-bisphosphate 3-kinase catalytic subunit delta iso |
|---|---|
| 基因名称 | PIK3CD |
| 全名 | phosphatidylinositol-4,5-bisphosphate 3-kinase, catalytic subunit delta |
| 背景介绍 | Phosphoinositide 3-kinases (PI3Ks) phosphorylate inositol lipids and are involved in the immune response. The protein encoded by this gene is a class I PI3K found primarily in leukocytes. Like other class I PI3Ks (p110-alpha p110-beta, and p110-gamma), the encoded protein binds p85 adapter proteins and GTP-bound RAS. However, unlike the other class I PI3Ks, this protein phosphorylates itself, not p85 protein.[provided by RefSeq, Jul 2010] |
| 生物功能 | Phosphoinositide-3-kinase (PI3K) that phosphorylates PftdIns(4,5)P2 (Phosphatidylinositol 4,5-bisphosphate) to generate phosphatidylinositol 3,4,5-trisphosphate (PIP3). PIP3 plays a key role by recruiting PH domain-containing proteins to the membrane, including AKT1 and PDPK1, activating signaling cascades involved in cell growth, survival, proliferation, motility and morphology. Mediates immune responses. Plays a role in B-cell development, proliferation, migration, and function. Required for B-cell receptor (BCR) signaling. Mediates B-cell proliferation response to anti-IgM, anti-CD40 and IL4 stimulation. Promotes cytokine production in response to TLR4 and TLR9. Required for antibody class switch mediated by TLR9. Involved in the antigen presentation function of B-cells. Involved in B-cell chemotaxis in response to CXCL13 and sphingosine 1-phosphate (S1P). Required for proliferation, signaling and cytokine production of naive, effector and memory T-cells. Required for T-cell receptor (TCR) signaling. Mediates TCR signaling events at the immune synapse. Activation by TCR leads to antigen-dependent memory T-cell migration and retention to antigenic tissues. Together with PIK3CG participates in T-cell development. Contributes to T-helper cell expansion and differentiation. Required for T-cell migration mediated by homing receptors SELL/CD62L, CCR7 and S1PR1 and antigen dependent recruitment of T-cells. Together with PIK3CG is involved in natural killer (NK) cell development and migration towards the sites of inflammation. Participates in NK cell receptor activation. Have a role in NK cell maturation and cytokine production. Together with PIK3CG is involved in neutrophil chemotaxis and extravasation. Together with PIK3CG participates in neutrophil respiratory burst. Have important roles in mast-cell development and mast cell mediated allergic response. Involved in stem cell factor (SCF)-mediated proliferation, adhesion and migration. Required for allergen-IgE-induced degranulation and cytokine release. The lipid kinase activity is required for its biological function. Isoform 2 may be involved in stabilizing total RAS levels, resulting in increased ERK phosphorylation and increased PI3K activity. [UniProt] |
| 细胞定位 | Cytoplasm. [UniProt] |
| 预测分子量 | 119 kDa |
| 翻译后修饰 | Autophosphorylation on Ser-1039 results in the almost complete inactivation of the lipid kinase activity. [UniProt] |
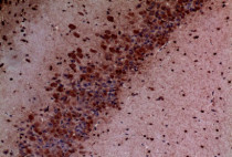
检测图片 (2) Click the Picture to Zoom In
-
ARG66641 anti-PIK3CD / p110 delta antibody IHC-P image
Immunohistochemistry: Paraffin-embedded Mouse brain tissue stained with ARG66641 anti-PIK3CD / p110 delta antibody at 1:100 dilution.
-
ARG66641 anti-PIK3CD / p110 delta antibody WB image
Western blot: HepG2 cell lysate stained with ARG66641 anti-PIK3CD / p110 delta antibody.
