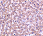
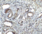
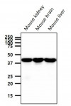
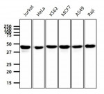
Home Primary Antibodies Search Result - Primary Antibodies There are 22494 results Primary Antibodies 18033 Secondary Antibodies 763 Isotype Controls 213 Antibody Duos and Panels 172 Reagents 542 Kits 2771 anti-CXCL4 / PF4 antibody (Biotin) Cat. No: ARG56750 (Rabbit pAb) Reactivity: Hu, Ms Application: ELISA, WB Conjugation: Biotin anti-RELM alpha antibody (Biotin) Cat. No: ARG56751 (Rabbit pAb) Reactivity: Hu, Ms Application: ELISA, WB Conjugation: Biotin anti-IL1 beta antibody (Biotin) Cat. No: ARG56755 (Goat pAb) Reactivity: Hu Application: ELISA, WB Conjugation: Biotin anti-CXCL11 / I-TAC antibody (Biotin) Cat. No: ARG56794 (Rabbit pAb) Reactivity: Hu, Ms Application: ELISA, WB Conjugation: Biotin anti-IL13 antibody (Biotin) Cat. No: ARG56805 (Rabbit pAb) Reactivity: Rat Application: ELISA, WB Conjugation: Biotin anti-ORAI1 / CRACM1 antibody Cat. No: ARG56837 (Rabbit pAb) Reactivity: Hu Application: IHC-P, WB Specificity: This antibody is predicted to have no cross-reactivity to ORAI2 or ORAI3. Conjugation: Un-conjugated anti-Perilipin 3 antibody Cat. No: ARG56842 (Rabbit pAb) Reactivity: Ms, Rat Application: IHC-P, WB Conjugation: Un-conjugated anti-ARFBP1 antibody Cat. No: ARG56849 (Rabbit pAb) Reactivity: Hu Application: ICC/IF, WB Conjugation: Un-conjugated anti-UBE2D1 antibody Cat. No: ARG56851 (Rabbit pAb) Reactivity: Hu, Ms Application: IHC-P, WB Conjugation: Un-conjugated anti-PPM1A antibody [p6c7] Cat. No: ARG56912 (Mouse mAb) Reactivity: Hu, Ms Application: IP, WB Conjugation: Un-conjugated First Previous 10011002100310041005100610071008100910101011 Next Last