ARG56842
anti-Perilipin 3 antibody
anti-Perilipin 3 antibody for IHC-Formalin-fixed paraffin-embedded sections,Western blot and Mouse,Rat
概述
| 产品描述 | Rabbit Polyclonal antibody recognizes Perilipin 3 |
|---|---|
| 反应物种 | Ms, Rat |
| 预测物种 | Hu |
| 应用 | IHC-P, WB |
| 宿主 | Rabbit |
| 克隆 | Polyclonal |
| 同位型 | IgG |
| 靶点名称 | Perilipin 3 |
| 抗原物种 | Human |
| 抗原 | Synthetic peptide (14 aa) within aa. 30-80 of Human Perilipin 3. |
| 偶联标记 | Un-conjugated |
| 別名 | PP17; Placental protein 17; 47 kDa mannose 6-phosphate receptor-binding protein; M6PRBP1; Perilipin-3; Cargo selection protein TIP47; 47 kDa MPR-binding protein; Mannose-6-phosphate receptor-binding protein 1; TIP47 |
应用说明
| 应用建议 |
|
||||||
|---|---|---|---|---|---|---|---|
| 应用说明 | * The dilutions indicate recommended starting dilutions and the optimal dilutions or concentrations should be determined by the scientist. | ||||||
| 阳性对照 | EL4 cell lysate |
属性
| 形式 | Liquid |
|---|---|
| 纯化 | Affinity purification with immunogen. |
| 缓冲液 | PBS and 0.02% Sodium azide. |
| 抗菌剂 | 0.02% Sodium azide |
| 浓度 | 1 mg/ml |
| 存放说明 | For continuous use, store undiluted antibody at 2-8°C for up to a week. For long-term storage, aliquot and store at -20°C or below. Storage in frost free freezers is not recommended. Avoid repeated freeze/thaw cycles. Suggest spin the vial prior to opening. The antibody solution should be gently mixed before use. |
| 注意事项 | For laboratory research only, not for drug, diagnostic or other use. |
生物信息
| 数据库连接 | |
|---|---|
| 基因名称 | PLIN3 |
| 全名 | perilipin 3 |
| 背景介绍 | Mannose 6-phophate receptors (MPRs) deliver lysosomal hydrolase from the Golgi to endosomes and then return to the Golgi complex. The protein encoded by this gene interacts with the cytoplasmic domains of both cation-independent and cation-dependent MPRs, and is required for endosome-to-Golgi transport. This protein also binds directly to the GTPase RAB9 (RAB9A), a member of the RAS oncogene family. The interaction with RAB9 has been shown to increase the affinity of this protein for its cargo. Multiple transcript variants encoding different isoforms have been found for this gene.[provided by RefSeq, Aug 2009] |
| 生物功能 | Required for the transport of mannose 6-phosphate receptors (MPR) from endosomes to the trans-Golgi network. [UniProt] |
| 预测分子量 | 47 kDa |
检测图片 (2) Click the Picture to Zoom In
-
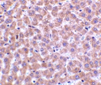
ARG56842 anti-Perilipin 3 antibody IHC-P image
Immunohistochemistry: Rat liver tissue stained with ARG56842 anti-Perilipin 3 antibody at 2 µg/ml dilution.
-
ARG56842 anti-Perilipin 3 antibody WB image
Western blot: EL4 cell lysate stained with ARG56842 anti-Perilipin 3 antibody at (A) 0.5 and (B) 1 µg/ml dilution.
