ARG56912
anti-PPM1A antibody [p6c7]
anti-PPM1A antibody [p6c7] for Immunoprecipitation,Western blot and Human,Mouse
概述
| 产品描述 | Mouse Monoclonal antibody [p6c7] recognizes PPM1A |
|---|---|
| 反应物种 | Hu, Ms |
| 应用 | IP, WB |
| 宿主 | Mouse |
| 克隆 | Monoclonal |
| 克隆号 | p6c7 |
| 同位型 | IgG2b, kappa |
| 靶点名称 | PPM1A |
| 抗原物种 | Human |
| 抗原 | Recombinant fragment around aa. 1-382 of Human PPM1A. |
| 偶联标记 | Un-conjugated |
| 別名 | PP2C-alpha; EC 3.1.3.16; PP2C-ALPHA; Protein phosphatase 1A; PP2Calpha; Protein phosphatase IA; PP2CA; Protein phosphatase 2C isoform alpha |
应用说明
| 应用建议 |
|
||||||
|---|---|---|---|---|---|---|---|
| 应用说明 | * The dilutions indicate recommended starting dilutions and the optimal dilutions or concentrations should be determined by the scientist. |
属性
| 形式 | Liquid |
|---|---|
| 纯化 | Purification with Protein G. |
| 缓冲液 | PBS (pH 7.4), 0.02% Sodium azide and 10% Glycerol. |
| 抗菌剂 | 0.02% Sodium azide |
| 稳定剂 | 10% Glycerol |
| 浓度 | 1 mg/ml |
| 存放说明 | For continuous use, store undiluted antibody at 2-8°C for up to a week. For long-term storage, aliquot and store at -20°C. Storage in frost free freezers is not recommended. Avoid repeated freeze/thaw cycles. Suggest spin the vial prior to opening. The antibody solution should be gently mixed before use. |
| 注意事项 | For laboratory research only, not for drug, diagnostic or other use. |
生物信息
| 数据库连接 | |
|---|---|
| 基因名称 | PPM1A |
| 全名 | protein phosphatase, Mg2+/Mn2+ dependent, 1A |
| 背景介绍 | The protein encoded by this gene is a member of the PP2C family of Ser/Thr protein phosphatases. PP2C family members are known to be negative regulators of cell stress response pathways. This phosphatase dephosphorylates, and negatively regulates the activities of, MAP kinases and MAP kinase kinases. It has been shown to inhibit the activation of p38 and JNK kinase cascades induced by environmental stresses. This phosphatase can also dephosphorylate cyclin-dependent kinases, and thus may be involved in cell cycle control. Overexpression of this phosphatase is reported to activate the expression of the tumor suppressor gene TP53/p53, which leads to G2/M cell cycle arrest and apoptosis. Three alternatively spliced transcript variants encoding distinct isoforms have been described. [provided by RefSeq, Jul 2008] |
| 生物功能 | Enzyme with a broad specificity. Negatively regulates TGF-beta signaling through dephosphorylating SMAD2 and SMAD3, resulting in their dissociation from SMAD4, nuclear export of the SMADs and termination of the TGF-beta-mediated signaling. Dephosphorylates PRKAA1 and PRKAA2. Plays an important role in the termination of TNF-alpha-mediated NF-kappa-B activation through dephosphorylating and inactivating IKBKB/IKKB. [UniProt] |
| 预测分子量 | 42 kDa |
| 翻译后修饰 | N-myristoylation is essential for the recognition of its substrates for dephosphorylation. |
检测图片 (2) Click the Picture to Zoom In
-
ARG56912 anti-PPM1A antibody [p6c7] WB image
Western blot: 40 µg of Jurkat, HeLa, K562, MCF7, A549 and Raji cell lysates stained with ARG56912 anti-PPM1A antibody [p6c7] at 1:1000 dilution.
-
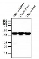
ARG56912 anti-PPM1A antibody [p6c7] WB image
Western blot: 40 µg of Mouse kidney, Mouse brain and Mouse liver lysates stained with ARG56912 anti-PPM1A antibody [p6c7] at 1:1000 dilution.
