ARG40967
anti-PSMB7 antibody
anti-PSMB7 antibody for IHC-Formalin-fixed paraffin-embedded sections,Western blot and Human,Mouse
概述
| 产品描述 | Rabbit Polyclonal antibody recognizes PSMB7 |
|---|---|
| 反应物种 | Hu, Ms |
| 应用 | IHC-P, WB |
| 宿主 | Rabbit |
| 克隆 | Polyclonal |
| 同位型 | IgG |
| 靶点名称 | PSMB7 |
| 抗原物种 | Human |
| 抗原 | KLH-conjugated synthetic peptide between aa. 180-211 of Human PSMB7. |
| 偶联标记 | Un-conjugated |
| 別名 | Multicatalytic endopeptidase complex chain Z; Z; Proteasome subunit beta type-7; EC 3.4.25.1; Proteasome subunit Z; Macropain chain Z |
应用说明
| 应用建议 |
|
||||||
|---|---|---|---|---|---|---|---|
| 应用说明 | IHC-P: Antigen Retrieval: Heat mediation was performed in Citrate buffer (pH 6.0). * The dilutions indicate recommended starting dilutions and the optimal dilutions or concentrations should be determined by the scientist. |
||||||
| 阳性对照 | Raji |
属性
| 形式 | Liquid |
|---|---|
| 纯化 | Purification with Protein A and immunogen peptide. |
| 缓冲液 | PBS and 0.09% (W/V) Sodium azide. |
| 抗菌剂 | 0.09% (W/V) Sodium azide. |
| 存放说明 | For continuous use, store undiluted antibody at 2-8°C for up to a week. For long-term storage, aliquot and store at -20°C or below. Storage in frost free freezers is not recommended. Avoid repeated freeze/thaw cycles. Suggest spin the vial prior to opening. The antibody solution should be gently mixed before use. |
| 注意事项 | For laboratory research only, not for drug, diagnostic or other use. |
生物信息
| 数据库连接 | |
|---|---|
| 基因名称 | PSMB7 |
| 全名 | proteasome (prosome, macropain) subunit, beta type, 7 |
| 背景介绍 | The proteasome is a multicatalytic proteinase complex with a highly ordered ring-shaped 20S core structure. The core structure is composed of 4 rings of 28 non-identical subunits; 2 rings are composed of 7 alpha subunits and 2 rings are composed of 7 beta subunits. Proteasomes are distributed throughout eukaryotic cells at a high concentration and cleave peptides in an ATP/ubiquitin-dependent process in a non-lysosomal pathway. The encoded protein is a member of the proteasome B-type family, also known as the T1B family, and is a 20S core beta subunit in the proteasome. Expression of this catalytic subunit is downregulated by gamma interferon, and proteolytic processing is required to generate a mature subunit. A pseudogene of this gene is located on the long arm of chromosome 14. [provided by RefSeq, Jul 2012] |
| 生物功能 | The proteasome is a multicatalytic proteinase complex which is characterized by its ability to cleave peptides with Arg, Phe, Tyr, Leu, and Glu adjacent to the leaving group at neutral or slightly basic pH. The proteasome has an ATP-dependent proteolytic activity. This unit is responsible of the trypsin-like activity. [UniProt] |
| 细胞定位 | Cytoplasm. Nucleus. [UniProt] |
| 预测分子量 | 30 kDa |
检测图片 (2) Click the Picture to Zoom In
-
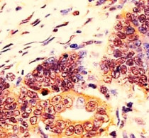
ARG40967 anti-PSMB7 antibody IHC-P image
Immunohistochemistry: Paraformaldehyde-fixed and paraffin-embedded Human colorectal carcinoma tissue. Tissue was blocked with 3% BSA for 0.5 hour at room temperature. Antigen Retrieval: Heat mediation was performed in Citrate buffer (pH 6.0). Samples were stained with ARG40967 anti-PSMB7 antibody at 1:25 dilution for 1 hours at 37°C.
-
ARG40967 anti-PSMB7 antibody WB image
Western blot: 20 µg of Raji cell lysate stained with ARG40967 anti-PSMB7 antibody at 1:2000 dilution.
