ARG45487
anti-PKLR antibody
anti-PKLR antibody for IHC-Formalin-fixed paraffin-embedded sections,Western blot and Human,Mouse,Rat
概述
| 产品描述 | Rabbit Polyclonal antibody recognizes PKLR |
|---|---|
| 反应物种 | Hu, Ms, Rat |
| 应用 | IHC-P, WB |
| 宿主 | Rabbit |
| 克隆 | Polyclonal |
| 同位型 | IgG |
| 靶点名称 | PKLR |
| 抗原物种 | Human |
| 抗原 | Synthetic peptide corresponding to C-terminal region of human PKLR. |
| 偶联标记 | Un-conjugated |
| 別名 | PKR; PKRL; PK1; Pyruvate kinase isozymes L/R; R-type/L-type pyruvate kinase; Pyruvate kinase PKLR; Pyruvate kinase 1; EC 2.7.1.40; RPK; Red cell/liver pyruvate kinase; PKL |
应用说明
| 应用建议 |
|
||||||
|---|---|---|---|---|---|---|---|
| 应用说明 | * The dilutions indicate recommended starting dilutions and the optimal dilutions or concentrations should be determined by the scientist. | ||||||
| 实际分子量 | 62 kDa |
属性
| 形式 | Liquid |
|---|---|
| 纯化 | Affinity purified |
| 缓冲液 | 0.9% NaCl, 0.2% Na2HPO4, 0.05% Sodium azide and 5% BSA. |
| 抗菌剂 | 0.05% Sodium azide |
| 稳定剂 | 5% BSA |
| 浓度 | 0.5 mg/ml |
| 存放说明 | For continuous use, store undiluted antibody at 2-8°C for up to a week. For long-term storage, aliquot and store at -20°C or below. Storage in frost free freezers is not recommended. Avoid repeated freeze/thaw cycles. Suggest spin the vial prior to opening. The antibody solution should be gently mixed before use. |
| 注意事项 | For laboratory research only, not for drug, diagnostic or other use. |
生物信息
| 数据库连接 | |
|---|---|
| 基因名称 | PKLR |
| 全名 | pyruvate kinase, liver and RBC |
| 背景介绍 | The protein encoded by this gene is a pyruvate kinase that catalyzes the transphosphorylation of phohsphoenolpyruvate into pyruvate and ATP, which is the rate-limiting step of glycolysis. Defects in this enzyme, due to gene mutations or genetic variations, are the common cause of chronic hereditary nonspherocytic hemolytic anemia (CNSHA or HNSHA). Multiple transcript variants encoding different isoforms have been found for this gene. [provided by RefSeq, Jul 2008] |
| 生物功能 | Plays a key role in glycolysis. [UniProt] |
| 细胞定位 | Cytoplasm; Cytosol. [UniProt] |
| 预测分子量 | 62 kDa |
| 翻译后修饰 | Phosphoprotein. [UniProt] |
检测图片 (4) Click the Picture to Zoom In
-
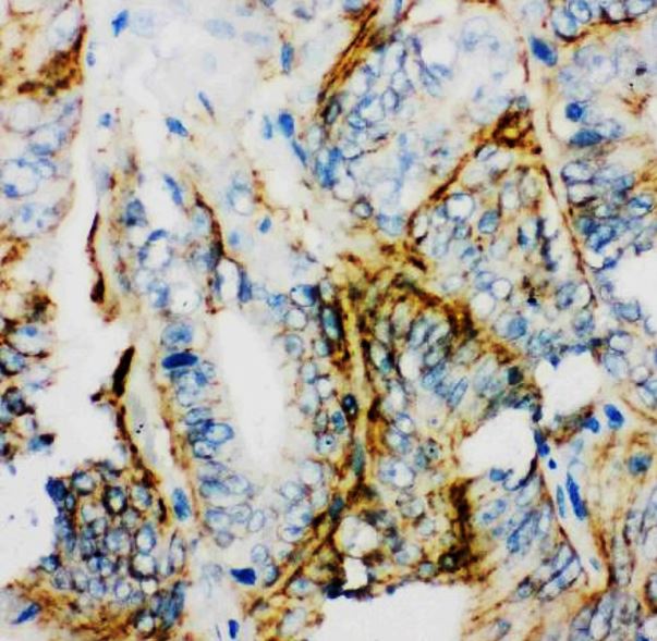
ARG45487 anti-PKLR antibody IHC-P image
Immunohistochemistry: Human intestinal cancer stained with ARG45487 anti-PKLR antibody at 1 μg/ml dilution.
-
ARG45487 anti-PKLR antibody WB image
Western blot: HepG2 stained with ARG45487 anti-PKLR antibody at 0.5 μg/ml dilution.
-
ARG45487 anti-PKLR antibody WB image
Western blot: Rat liver stained with ARG45487 anti-PKLR antibody at 0.5 μg/ml dilution.
-
ARG45487 anti-PKLR antibody WB image
Western blot: Mouse liver stained with ARG45487 anti-PKLR antibody at 0.5 μg/ml dilution.
