ARG65741
anti-Lipocalin 1 antibody
anti-Lipocalin 1 antibody for IHC-Formalin-fixed paraffin-embedded sections,Western blot and Human
概述
| 产品描述 | Rabbit Polyclonal antibody recognizes Lipocalin 1 |
|---|---|
| 反应物种 | Hu |
| 应用 | IHC-P, WB |
| 宿主 | Rabbit |
| 克隆 | Polyclonal |
| 同位型 | IgG |
| 靶点名称 | Lipocalin 1 |
| 抗原物种 | Human |
| 抗原 | Synthetic peptide around the internal region of Human Lipocalin-1 |
| 偶联标记 | Un-conjugated |
| 別名 | Tlc; VEGP; Tear lipocalin; TP; TLC; Lipocalin-1; PMFA; VEG protein; Von Ebner gland protein; Tear prealbumin |
应用说明
| 应用建议 |
|
||||||
|---|---|---|---|---|---|---|---|
| 应用说明 | * The dilutions indicate recommended starting dilutions and the optimal dilutions or concentrations should be determined by the scientist. |
属性
| 形式 | Liquid |
|---|---|
| 纯化 | Affinity purification with immunogen. |
| 缓冲液 | PBS, 0.02% Sodium azide, 50% Glycerol and 0.5% BSA. |
| 抗菌剂 | 0.02% Sodium azide |
| 稳定剂 | 50% Glycerol and 0.5% BSA |
| 浓度 | 1 mg/ml |
| 存放说明 | For continuous use, store undiluted antibody at 2-8°C for up to a week. For long-term storage, aliquot and store at -20°C. Storage in frost free freezers is not recommended. Avoid repeated freeze/thaw cycles. Suggest spin the vial prior to opening. The antibody solution should be gently mixed before use. |
| 注意事项 | For laboratory research only, not for drug, diagnostic or other use. |
生物信息
| 数据库连接 | |
|---|---|
| 基因名称 | LCN1 |
| 全名 | lipocalin 1 |
| 背景介绍 | This gene encodes a member of the lipocalin family of small secretory proteins. Lipocalins are extracellular transport proteins that bind to a variety of hydrophobic ligands. The encoded protein is the primary lipid binding protein in tears and is overproduced in response to multiple stimuli including infection and stress. The encoded protein may be a marker for chromosome aneuploidy as well as an autoantigen in Sjogren's syndrome. Alternatively spliced transcript variants encoding multiple isoforms have been observed for this gene, and two pseudogenes of this gene are also located on the long arm of chromosome 9. [provided by RefSeq, Nov 2011] |
| 生物功能 | Could play a role in taste reception. Could be necessary for the concentration and delivery of sapid molecules in the gustatory system. Can bind various ligands, with chemical structures ranging from lipids and retinoids to the macrocyclic antibiotic rifampicin and even to microbial siderophores. Exhibits an extremely wide ligand pocket. [UniProt] |
| 预测分子量 | 19 kDa |
检测图片 (6) Click the Picture to Zoom In
-
ARG65741 anti-Lipocalin 1 antibody WB image
Western blot: K562 cell lysate stained with ARG65741 anti-Lipocalin 1 antibody.
-
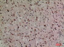
ARG65741 anti-Lipocalin 1 antibody IHC-P image
Immunohistochemistry: Paraffin-embedded Human brain stained with ARG65741 anti-Lipocalin 1 antibody.
-
ARG65741 anti-Lipocalin 1 antibody IHC-P image
Immunohistochemistry: Paraffin-embedded Human brain stained with ARG65741 anti-Lipocalin 1 antibody.
-
ARG65741 anti-Lipocalin 1 antibody IHC-P image
Immunohistochemistry: Paraffin-embedded Human brain stained with ARG65741 anti-Lipocalin 1 antibody.
-
ARG65741 anti-Lipocalin 1 antibody IHC-P image
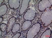
Immunohistochemistry: Paraffin-embedded Human colon cancer stained with ARG65741 anti-Lipocalin 1 antibody.
-
ARG65741 anti-Lipocalin 1 antibody IHC-P image
Immunohistochemistry: Paraffin-embedded Human colon cancer stained with ARG65741 anti-Lipocalin 1 antibody.
