ARG54827
anti-Aurora A antibody [1364CT291.108.155]
anti-Aurora A antibody [1364CT291.108.155] for IHC-Formalin-fixed paraffin-embedded sections,Western blot and Human
Cancer antibody; Cell Biology and Cellular Response antibody; Signaling Transduction antibody
概述
| 产品描述 | Mouse Monoclonal antibody recognizes Aurora A |
|---|---|
| 反应物种 | Hu |
| 应用 | IHC-P, WB |
| 宿主 | Mouse |
| 克隆 | Monoclonal |
| 克隆号 | 1364CT291.108.155 |
| 同位型 | IgG1, kappa |
| 靶点名称 | Aurora A |
| 抗原物种 | Human |
| 抗原 | KLH-conjugated synthetic peptide of Human Aurora A. |
| 偶联标记 | Un-conjugated |
| 別名 | ARK-1; AIK; BTAK; Serine/threonine-protein kinase 6; Breast tumor-amplified kinase; Serine/threonine-protein kinase aurora-A; STK15; Serine/threonine-protein kinase 15; AURORA2; Aurora-related kinase 1; hARK1; AURA; STK6; STK7; Aurora kinase A; EC 2.7.11.1; Aurora/IPL1-related kinase 1; Aurora 2; ARK1; PPP1R47 |
应用说明
| 应用建议 |
|
||||||
|---|---|---|---|---|---|---|---|
| 应用说明 | * The dilutions indicate recommended starting dilutions and the optimal dilutions or concentrations should be determined by the scientist. | ||||||
| 阳性对照 | HT-29 |
属性
| 形式 | Liquid |
|---|---|
| 纯化 | Purification with Protein G. |
| 缓冲液 | PBS and 0.09% (W/V) Sodium azide |
| 抗菌剂 | 0.09% (W/V) Sodium azide |
| 存放说明 | For continuous use, store undiluted antibody at 2-8°C for up to a week. For long-term storage, aliquot and store at -20°C or below. Storage in frost free freezers is not recommended. Avoid repeated freeze/thaw cycles. Suggest spin the vial prior to opening. The antibody solution should be gently mixed before use. |
| 注意事项 | For laboratory research only, not for drug, diagnostic or other use. |
生物信息
| 数据库连接 | |
|---|---|
| 基因名称 | AURKA |
| 全名 | aurora kinase A |
| 背景介绍 | The protein encoded by this gene is a cell cycle-regulated kinase that appears to be involved in microtubule formation and/or stabilization at the spindle pole during chromosome segregation. The encoded protein is found at the centrosome in interphase cells and at the spindle poles in mitosis. This gene may play a role in tumor development and progression. A processed pseudogene of this gene has been found on chromosome 1, and an unprocessed pseudogene has been found on chromosome 10. Multiple transcript variants encoding the same protein have been found for this gene. [provided by RefSeq, Jul 2008] |
| 生物功能 | Mitotic serine/threonine kinases that contributes to the regulation of cell cycle progression. Associates with the centrosome and the spindle microtubules during mitosis and plays a critical role in various mitotic events including the establishment of mitotic spindle, centrosome duplication, centrosome separation as well as maturation, chromosomal alignment, spindle assembly checkpoint, and cytokinesis. Required for initial activation of CDK1 at centrosomes. Phosphorylates numerous target proteins, including ARHGEF2, BORA, BRCA1, CDC25B, DLGP5, HDAC6, KIF2A, LATS2, NDEL1, PARD3, PPP1R2, PLK1, RASSF1, TACC3, p53/TP53 and TPX2. Regulates KIF2A tubulin depolymerase activity. Required for normal axon formation. Plays a role in microtubule remodeling during neurite extension. Important for microtubule formation and/or stabilization. Also acts as a key regulatory component of the p53/TP53 pathway, and particularly the checkpoint-response pathways critical for oncogenic transformation of cells, by phosphorylating and stabilizing p53/TP53. Phosphorylates its own inhibitors, the protein phosphatase type 1 (PP1) isoforms, to inhibit their activity. Necessary for proper cilia disassembly prior to mitosis. [UniProt] |
| 细胞定位 | Cell membrane, Cell projection, Cilium, Cytoplasm, Cytoskeleton, Membrane, Microtubule |
| 研究领域 | Cancer antibody; Cell Biology and Cellular Response antibody; Signaling Transduction antibody |
| 预测分子量 | 46 kDa |
| 翻译后修饰 | Activated by phosphorylation at Thr-288; this brings about a change in the conformation of the activation segment. Phosphorylation at Thr-288 varies during the cell cycle and is highest during M phase. Autophosphorylated at Thr-288 upon TPX2 binding. Thr-288 can be phosphorylated by several kinases, including PAK and PKA. Protein phosphatase type 1 (PP1) binds AURKA and inhibits its activity by dephosphorylating Thr-288 during mitosis. Phosphorylation at Ser-342 decreases the kinase activity. PPP2CA controls degradation by dephosphorylating Ser-51 at the end of mitosis. Ubiquitinated by the E3 ubiquitin-protein ligase complex SCF(FBXL7) during mitosis, leading to its degradation by the proteasome. Ubiquitinated by CHFR, leading to its degradation by the proteasome (By similarity). Ubiquitinated by the anaphase-promoting complex (APC), leading to its degradation by the proteasome. |
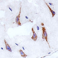
检测图片 (2) Click the Picture to Zoom In
-
ARG54827 anti-Aurora A antibody IHC-P image
Immunohistochemistry: Paraffin-embedded Human brain section stained with ARG54827 anti-Aurora A antibody at 1:25 dilution.
-
ARG54827 anti-Aurora A antibody WB image
Western blot: 35 µg of HT-29 cell lysate stained with ARG54827 anti-Aurora A antibody at 1:1000 dilution.
