ARG42856
anti-ARFRP1 antibody
anti-ARFRP1 antibody for IHC-Formalin-fixed paraffin-embedded sections,Western blot and Human
概述
| 产品描述 | Rabbit Polyclonal antibody recognizes ARFRP1 |
|---|---|
| 反应物种 | Hu |
| 应用 | IHC-P, WB |
| 宿主 | Rabbit |
| 克隆 | Polyclonal |
| 同位型 | IgG |
| 靶点名称 | ARFRP1 |
| 抗原物种 | Human |
| 抗原 | Synthetic peptide of Human ARFRP1. |
| 偶联标记 | Un-conjugated |
| 別名 | ARP; ARL18; ADP-ribosylation factor-related protein 1; Arp1; ARF-related protein 1 |
应用说明
| 应用建议 |
|
||||||
|---|---|---|---|---|---|---|---|
| 应用说明 | * The dilutions indicate recommended starting dilutions and the optimal dilutions or concentrations should be determined by the scientist. | ||||||
| 阳性对照 | WB: 293T, Human fetal liver, Human cervical cancer and Human fetal muscle IHC-P: Human breast cancer and Human cervical cancer |
||||||
| 实际分子量 | ~ 25 kDa |
属性
| 形式 | Liquid |
|---|---|
| 纯化 | Affinity purification with immunogen. |
| 缓冲液 | PBS (pH 7.4), 0.05% Sodium azide and 40% Glycerol. |
| 抗菌剂 | 0.05% Sodium azide |
| 稳定剂 | 40% Glycerol |
| 浓度 | 0.9 mg/ml |
| 存放说明 | For continuous use, store undiluted antibody at 2-8°C for up to a week. For long-term storage, aliquot and store at -20°C. Storage in frost free freezers is not recommended. Avoid repeated freeze/thaw cycles. Suggest spin the vial prior to opening. The antibody solution should be gently mixed before use. |
| 注意事项 | For laboratory research only, not for drug, diagnostic or other use. |
生物信息
| 数据库连接 |
Swiss-port # Q13795 Human ADP-ribosylation factor-related protein 1 |
|---|---|
| 基因名称 | ARFRP1 |
| 全名 | ADP-ribosylation factor related protein 1 |
| 背景介绍 | The protein encoded by this gene is a membrane-associated GTP-ase which localizes to the plasma membrane and is related to the ADP-ribosylation factor (ARF) and ARF-like (ARL) proteins. This gene plays a role in membrane trafficking between the trans-Golgi network and endosomes. Alternatively spliced transcript variants encoding different isoforms have been identified. [provided by RefSeq, May 2012] |
| 生物功能 | Trans-Golgi-associated GTPase that regulates protein sorting. Controls the targeting of ARL1 and its effector to the trans-Golgi. Required for the lipidation of chylomicrons in the intestine and required for VLDL lipidation in the liver. [UniProt] |
| 细胞定位 | Golgi apparatus. Golgi apparatus, trans-Golgi network. Note=Located in the trans-Golgi in the GTP-bound active state. [UniProt] |
| 预测分子量 | 23 kDa |
检测图片 (3) Click the Picture to Zoom In
-
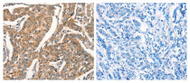
ARG42856 anti-ARFRP1 antibody IHC-P image
Immunohistochemistry: Paraffin-embedded Human breast cancer tissue stained with ARG42856 anti-ARFRP1 antibody (left) at 1:25 dilution, or the same antibody pre-incubated with synthetic peptide (right). (Original magnification: X200).
-
ARG42856 anti-ARFRP1 antibody WB image
Western blot: 40 µg of 293T, Human fetal liver, Human cervical cancer and Human fetal muscle lysates stained with ARG42856 anti-ARFRP1 antibody at 1:800 dilution.
-
ARG42856 anti-ARFRP1 antibody IHC-P image
Immunohistochemistry: Paraffin-embedded Human cervical cancer tissue stained with ARG42856 anti-ARFRP1 antibody (left) at 1:25 dilution, or the same antibody pre-incubated with synthetic peptide (right). (Original magnification: X200).
