Search Result - Primary Antibodies

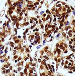
  • anti-PDK4 antibody
  • Cat. No: ARG54870  (Rabbit pAb)
  • Reactivity: Hu, Ms
  • Application: ICC/IF, IHC-P, WB
  • Conjugation: Un-conjugated
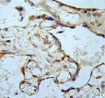
  • anti-SUMO2 + SUMO3 antibody
  • Cat. No: ARG54893  (Rabbit pAb)
  • Reactivity: Hu, Ms
  • Application: ICC/IF, IHC-P, WB
  • Conjugation: Un-conjugated
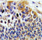
  • anti-ACE2 antibody
  • Cat. No: ARG54914  (Rabbit pAb)
  • Reactivity: Hu
  • Application: ELISA, ICC/IF, IHC-P, WB
  • Specificity: Anti-ACE2 has no cross response to ACE1.
  • Conjugation: Un-conjugated
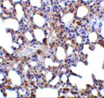
  • anti-Angiopoietin 2 antibody
  • Cat. No: ARG54915  (Rabbit pAb)
  • Reactivity: Hu, Ms, Rat
  • Application: ELISA, IHC-P, WB
  • Specificity: At least three isoforms of ANGPT2 are known to exist; this antibody will detect all three isoforms.
  • Conjugation: Un-conjugated
  • anti-ATG7 antibody
  • Cat. No: ARG54916  (Rabbit pAb)
  • Reactivity: Hu, Ms
  • Application: ELISA, ICC/IF, WB
  • Specificity: At least three isoforms of APG7 are known to exist; this antibody will detect all three isoforms. APG7 antibody is predicted not to cross-react with other ATG family proteins.
  • Conjugation: Un-conjugated
  • anti-ATF6 antibody
  • Cat. No: ARG54917  (Rabbit pAb)
  • Reactivity: Hu, Ms
  • Application: ELISA, ICC/IF, WB
  • Conjugation: Un-conjugated
  • anti-CBX4 antibody
  • Cat. No: ARG54922  (Rabbit pAb)
  • Reactivity: Hu, Ms, Rat
  • Application: ELISA, ICC/IF, WB
  • Specificity: Two alternatively spliced transcript variants have been observed.
  • Conjugation: Un-conjugated
  • anti-LIF antibody
  • Cat. No: ARG54923  (Rabbit pAb)
  • Reactivity: Hu, Ms, Rat
  • Application: ELISA, ICC/IF, WB
  • Specificity: At least two isoforms of LIF are known to exist.
  • Conjugation: Un-conjugated
  • anti-Cathelicidin antibody
  • Cat. No: ARG54943  (Rabbit pAb)
  • Reactivity: Hu
  • Application: ELISA, ICC/IF, IHC-P, WB
  • Conjugation: Un-conjugated
  • anti-ULK3 antibody
  • Cat. No: ARG54949  (Rabbit pAb)
  • Reactivity: Hu
  • Application: ELISA, ICC/IF, IHC-P, WB
  • Specificity: ULK3 antibody is human specific. Multiple isoforms of ULK3 are known to exist.
  • Conjugation: Un-conjugated