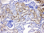
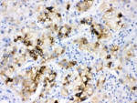
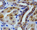
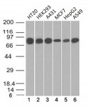
Home Primary Antibodies Search Result - Primary Antibodies There are 21964 results Primary Antibodies 17484 Secondary Antibodies 763 Isotype Controls 213 Antibody Duos and Panels 172 Reagents 543 Kits 2789 anti-DUSP6 antibody Cat. No: ARG57906 (Rabbit pAb) Reactivity: Hu Application: WB Conjugation: Un-conjugated anti-ADH4 antibody Cat. No: ARG57887 (Rabbit pAb) Reactivity: Ms Application: WB Conjugation: Un-conjugated anti-AAAS / Adracalin antibody Cat. No: ARG57890 (Rabbit pAb) Reactivity: Hu Application: WB Conjugation: Un-conjugated anti-ABI3BP antibody Cat. No: ARG57955 (Rabbit pAb) Reactivity: Hu Application: WB Conjugation: Un-conjugated anti-ACSL1 antibody Cat. No: ARG57994 (Rabbit pAb) Reactivity: Hu, Ms, Rat Application: IHC-P, WB Conjugation: Un-conjugated anti-ACAA2 antibody Cat. No: ARG66308 (Rabbit pAb) Reactivity: Hu, Ms Application: IHC-P, WB Conjugation: Un-conjugated anti-CD266 / TWEAK R antibody Cat. No: ARG58105 (Rabbit pAb) Reactivity: Hu Application: WB Conjugation: Un-conjugated anti-Claudin 11 antibody Cat. No: ARG58081 (Rabbit pAb) Reactivity: Hu, Ms Application: WB Conjugation: Un-conjugated anti-gamma Catenin antibody [15F11] Cat. No: ARG58014 (Mouse mAb) Reactivity: Hu, Ms, Rat Application: FACS, ICC/IF, WB Conjugation: Un-conjugated anti-HINT1 antibody [1500CT836.13.93] Cat. No: ARG58003 (Mouse mAb) Reactivity: Hu, Ms, Rat Application: FACS, IHC-P, WB Conjugation: Un-conjugated First Previous 716717718719720721722723724725726 Next Last