ARG57799
anti-CYP1B1 antibody
anti-CYP1B1 antibody for IHC-Formalin-fixed paraffin-embedded sections,Western blot and Human,Mouse,Rat
概述
| 产品描述 | Rabbit Polyclonal antibody recognizes CYP1B1 |
|---|---|
| 反应物种 | Hu, Ms, Rat |
| 应用 | IHC-P, WB |
| 宿主 | Rabbit |
| 克隆 | Polyclonal |
| 同位型 | IgG |
| 靶点名称 | CYP1B1 |
| 抗原物种 | Human |
| 抗原 | Synthetic peptide around aa. 255-480 of Human CYP1B1. |
| 偶联标记 | Un-conjugated |
| 別名 | GLC3A; CP1B; EC 1.14.14.1; P4501B1; CYPIB1; Cytochrome P450 1B1 |
应用说明
| 应用建议 |
|
||||||
|---|---|---|---|---|---|---|---|
| 应用说明 | IHC-P: Antigen Retrieval: Boil tissue section in 10mM Citrate buffer (pH 6.0) for 20 min followed by cooling at RT. * The dilutions indicate recommended starting dilutions and the optimal dilutions or concentrations should be determined by the scientist. |
||||||
| 实际分子量 | ~ 61 kDa |
属性
| 形式 | Liquid |
|---|---|
| 纯化 | Affinity purification with immunogen. |
| 缓冲液 | PBS, 0.025% Sodium azide and 2.5% BSA. |
| 抗菌剂 | 0.025% Sodium azide |
| 稳定剂 | 2.5% BSA |
| 浓度 | 0.5 mg/ml |
| 存放说明 | For continuous use, store undiluted antibody at 2-8°C for up to a week. For long-term storage, aliquot and store at -20°C or below. Storage in frost free freezers is not recommended. Avoid repeated freeze/thaw cycles. Suggest spin the vial prior to opening. The antibody solution should be gently mixed before use. |
| 注意事项 | For laboratory research only, not for drug, diagnostic or other use. |
生物信息
| 数据库连接 | |
|---|---|
| 基因名称 | CYP1B1 |
| 全名 | cytochrome P450, family 1, subfamily B, polypeptide 1 |
| 背景介绍 | This gene encodes a member of the cytochrome P450 superfamily of enzymes. The cytochrome P450 proteins are monooxygenases which catalyze many reactions involved in drug metabolism and synthesis of cholesterol, steroids and other lipids. The enzyme encoded by this gene localizes to the endoplasmic reticulum and metabolizes procarcinogens such as polycyclic aromatic hydrocarbons and 17beta-estradiol. Mutations in this gene have been associated with primary congenital glaucoma; therefore it is thought that the enzyme also metabolizes a signaling molecule involved in eye development, possibly a steroid. [provided by RefSeq, Jul 2008] |
| 生物功能 | Cytochromes P450 are a group of heme-thiolate monooxygenases. In liver microsomes, this enzyme is involved in an NADPH-dependent electron transport pathway. It oxidizes a variety of structurally unrelated compounds, including steroids, fatty acids, retinoid and xenobiotics. Preferentially oxidizes 17beta-estradiol to the carcinogenic 4-hydroxy derivative, and a variety of procarcinogenic compounds to their activated forms, including polycyclic aromatic hydrocarbons. Promotes angiogenesis by removing cellular oxygenation products, thereby decreasing oxidative stress, release of antiangiogenic factor THBS2, then allowing endothelial cells migration, cell adhesion and capillary morphogenesis. These changes are concommitant with the endothelial nitric oxide synthase activity and nitric oxide synthesis. Plays an important role in the regulation of perivascular cell proliferation, migration, and survival through modulation of the intracellular oxidative state and NF-kappa-B expression and/or activity, during angiogenesis. Contributes to oxidative homeostasis and ultrastructural organization and function of trabecular meshwork tissue through modulation of POSTN expression. [UniProt] |
| 细胞定位 | Endoplasmic reticulum membrane, peripheral membrane protein, microsome membrane, mitochondrion. [UniProt] |
| 预测分子量 | 61 kDa |
检测图片 (4) Click the Picture to Zoom In
-
ARG57799 anti-CYP1B1 antibody IHC-P image
Immunohistochemistry: Formalin-fixed and paraffin-embedded Human liver cancer tissue stained with ARG57799 anti-CYP1B1 antibody. Antigen Retrieval: Boil tissue section in 10mM Citrate buffer (pH 6.0) for 20 min followed by cooling at RT.
-
ARG57799 anti-CYP1B1 antibody WB image
Western blot: 1) Rat kidney and 2) MCF7 cell lysates stained with ARG57799 anti-CYP1B1 antibody.
-
ARG57799 anti-CYP1B1 antibody IHC-P image
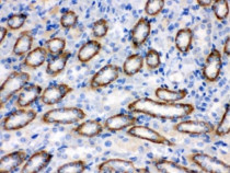
Immunohistochemistry: Formalin-fixed and paraffin-embedded Mouse kidney stained with ARG57799 anti-CYP1B1 antibody. Antigen Retrieval: Boil tissue section in 10mM Citrate buffer (pH 6.0) for 20 min followed by cooling at RT.
-
ARG57799 anti-CYP1B1 antibody IHC-P image
Immunohistochemistry: Formalin-fixed and paraffin-embedded Rat kidney stained with ARG57799 anti-CYP1B1 antibody. Antigen Retrieval: Boil tissue section in 10mM Citrate buffer (pH 6.0) for 20 min followed by cooling at RT.
