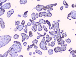
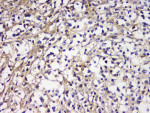
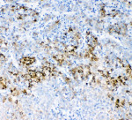
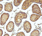
Home Primary Antibodies Search Result - Primary Antibodies There are 21957 results Primary Antibodies 17478 Secondary Antibodies 763 Isotype Controls 213 Antibody Duos and Panels 172 Reagents 543 Kits 2788 anti-PTPN1 / PTP1B antibody Cat. No: ARG42947 (Rabbit pAb) Reactivity: Hu, Ms, Rat Application: FACS, IHC-Fr, IHC-P, WB Conjugation: Un-conjugated anti-MECT1 / TORC1 antibody Cat. No: ARG42969 (Rabbit pAb) Reactivity: Hu, Ms, Rat Application: FACS, IHC-P, WB Conjugation: Un-conjugated anti-PEF1 / Peflin antibody Cat. No: ARG42967 (Rabbit pAb) Reactivity: Hu, Ms, Rat Application: IHC-P, WB Conjugation: Un-conjugated anti-IGLL1 / Lambda 5 antibody Cat. No: ARG42961 (Rabbit pAb) Reactivity: Hu, Ms, Rat Application: IHC-P, WB Conjugation: Un-conjugated anti-MRP2 antibody Cat. No: ARG42963 (Rabbit pAb) Reactivity: Hu, Ms Application: IHC-P, WB Conjugation: Un-conjugated anti-AKR1D1 antibody Cat. No: ARG42960 (Rabbit pAb) Reactivity: Hu, Ms, Rat Application: FACS, IHC-P, WB Conjugation: Un-conjugated anti-ALKBH4 antibody Cat. No: ARG42981 (Rabbit pAb) Reactivity: Hu Application: IP, WB Conjugation: Un-conjugated anti-KCTD9 antibody Cat. No: ARG42982 (Rabbit pAb) Reactivity: Hu Application: ICC/IF, WB Conjugation: Un-conjugated anti-TRIB3 antibody Cat. No: ARG42987 (Rabbit pAb) Reactivity: Hu Application: IP, WB Conjugation: Un-conjugated anti-MYO19 antibody Cat. No: ARG43005 (Rabbit pAb) Reactivity: Hu Application: ICC/IF, WB Conjugation: Un-conjugated First Previous 575576577578579580581582583584585 Next Last