Search Result - Primary Antibodies

  • anti-AK3 antibody [SJB3-36]
  • Cat. No: ARG56921  (Mouse mAb)
  • Reactivity: Hu, Ms
  • Application: FACS, ICC/IF, IHC-P, WB
  • Conjugation: Un-conjugated
  • anti-Histone H3 pan antibody [RM188]
  • Cat. No: ARG57229  (Rabbit mAb)
  • Reactivity: Hu
  • Application: ELISA, ICC/IF, WB
  • Specificity: This antibody reacts to all Histone H3 proteins, independent of post-translational modifications. No cross reactivity with other histone proteins.
  • Conjugation: Un-conjugated
  • anti-DGAT1 antibody
  • Cat. No: ARG57278  (Rabbit pAb)
  • Reactivity: Hu, Ms, Rat
  • Application: ICC/IF, WB
  • Conjugation: Un-conjugated
  • anti-beta Catenin antibody [EM-22]
  • Cat. No: ARG62681  (Mouse mAb)
  • Reactivity: Hu, Ms, Hm
  • Application: FACS, ICC/IF, IP, WB
  • Specificity: The clone EM-22 reacts with C-terminal part of beta-catenin, an 88 kDa multifunctional protein involved both in cell adhesion and in activation of transcription.
  • Conjugation: Un-conjugated
  • anti-CD79a antibody [HM57]
  • Cat. No: ARG62926  (Mouse mAb)
  • Reactivity: Hu, Ms, Rat, Chk, Gpig, Hrs, Opossum, Pig, Rb, Bov
  • Application: FACS, IHC-Fr, IHC-P
  • Specificity: The clone HM57 interacts with CD79a (Ig alpha), a 40-45 kDa subunit of B cell antigen-specific receptor (BCR) and its early developmental forms.
    HLDA V; WS Code BC cB018
    HLDA VI; WS Code BP 193
    HLDA VI; WS Code BP 89
    HLDA VI; WS Code B B103
    HLDA VI; WS Code B CD79.4
  • Conjugation: Un-conjugated
  • anti-CD8a antibody [53-6.7] (PE)
  • publication_list (1 Publications)
  • Cat. No: ARG62941  (Rat mAb)
  • Reactivity: Ms
  • Application: BL, FACS, ICC/IF, IHC-Fr
  • Specificity: This antibody recognizes mouse CD8a (32-34 kDa; alpha chain of the CD8 antigen).
  • Conjugation: PE
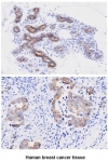
  • anti-Cytokeratin 5 + 8 antibody [C-50]
  • Cat. No: ARG62980  (Mouse mAb)
  • Reactivity: Hu, Ms, Rat, Dog, Hm, Pig, Sheep, Bov
  • Application: ICC/IF, IHC-P, IP, WB
  • Specificity: The antibody C-50 reacts with cytokeratin peptides 5 and 8 (58 and 53 kDa). Cytokeratins are members of intermediate filaments subfamily of intracellular proteins represented in epithelial tissues.
  • Conjugation: Un-conjugated