ARG56510
anti-nNOS antibody
anti-nNOS antibody for ICC/IF,IHC-Formalin-fixed paraffin-embedded sections,Immunoprecipitation,Western blot and Human,Rat
概述
| 产品描述 | Rabbit Polyclonal antibody recognizes nNOS |
|---|---|
| 反应物种 | Hu, Rat |
| 应用 | ICC/IF, IHC-P, IP, WB |
| 特异性 | This antibody does not react to eNOS and iNOS. |
| 宿主 | Rabbit |
| 克隆 | Polyclonal |
| 同位型 | IgG |
| 靶点名称 | nNOS |
| 抗原物种 | Human |
| 抗原 | Synthetic peptide around aa. 1422-1433 of Human nNOS. (ESKKDTDEVFSS) |
| 偶联标记 | Un-conjugated |
| 別名 | Constitutive NOS; IHPS1; N-NOS; Neuronal NOS; Nitric oxide synthase, brain; bNOS; NC-NOS; Peptidyl-cysteine S-nitrosylase NOS1; EC 1.14.13.39; NOS type I; nNOS; NOS |
应用说明
| 应用建议 |
|
||||||||||
|---|---|---|---|---|---|---|---|---|---|---|---|
| 应用说明 | * The dilutions indicate recommended starting dilutions and the optimal dilutions or concentrations should be determined by the scientist. |
属性
| 形式 | Liquid |
|---|---|
| 纯化 | Affinity purification with immunogen. |
| 存放说明 | For continuous use, store undiluted antibody at 2-8°C for up to a week. For long-term storage, aliquot and store at -20°C. Storage in frost free freezers is not recommended. Avoid repeated freeze/thaw cycles. Suggest spin the vial prior to opening. The antibody solution should be gently mixed before use. |
| 注意事项 | For laboratory research only, not for drug, diagnostic or other use. |
生物信息
| 数据库连接 | |
|---|---|
| 基因名称 | NOS1 |
| 全名 | nitric oxide synthase 1 (neuronal) |
| 背景介绍 | The protein encoded by this gene belongs to the family of nitric oxide synthases, which synthesize nitric oxide from L-arginine. Nitric oxide is a reactive free radical, which acts as a biologic mediator in several processes, including neurotransmission, and antimicrobial and antitumoral activities. In the brain and peripheral nervous system, nitric oxide displays many properties of a neurotransmitter, and has been implicated in neurotoxicity associated with stroke and neurodegenerative diseases, neural regulation of smooth muscle, including peristalsis, and penile erection. This protein is ubiquitously expressed, with high level of expression in skeletal muscle. Multiple transcript variants that differ in the 5' UTR have been described for this gene but the full-length nature of these transcripts is not known. Additionally, alternatively spliced transcript variants encoding different isoforms (some testis-specific) have been found for this gene.[provided by RefSeq, Feb 2011] |
| 生物功能 | Produces nitric oxide (NO) which is a messenger molecule with diverse functions throughout the body. In the brain and peripheral nervous system, NO displays many properties of a neurotransmitter. Probably has nitrosylase activity and mediates cysteine S-nitrosylation of cytoplasmic target proteins such SRR. [UniProt] |
| 预测分子量 | 161 kDa |
| 翻译后修饰 | Ubiquitinated; mediated by STUB1/CHIP in the presence of Hsp70 and Hsp40 (in vitro). |
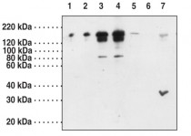
检测图片 (1) Click the Picture to Zoom In
-
ARG56510 anti-nNOS antibody WB image
Western blot: 1) 0.005 µg of nNOS recombinant protein, 2) 0.01 µg of nNOS recombinant protein, 3) 0.05 µg of nNOS recombinant protein, 4) 0.1 µg of nNOS recombinant protein, 5) 0.1 µg of iNOS recombinant protein, 6) 0.1 µg of eNOS recombinant protein, and 7) 30 µg of Mouse brain soluble membrane stained with ARG56510 anti-nNOS antibody.
