ARG59678
anti-vWF antibody
anti-vWF antibody for IHC-Formalin-fixed paraffin-embedded sections,Western blot and Mouse,Rat
概述
| 产品描述 | Rabbit Polyclonal antibody recognizes vWF |
|---|---|
| 反应物种 | Ms, Rat |
| 应用 | IHC-P, WB |
| 宿主 | Rabbit |
| 克隆 | Polyclonal |
| 同位型 | IgG |
| 靶点名称 | vWF |
| 抗原物种 | Mouse |
| 抗原 | Recombinant protein corresponding to M1304-E1452 of Mouse vWF. |
| 偶联标记 | Un-conjugated |
| 別名 | VWD; von Willebrand factor; vWF; von Willebrand antigen II; F8VWF |
应用说明
| 应用建议 |
|
||||||
|---|---|---|---|---|---|---|---|
| 应用说明 | IHC-P: Antigen Retrieval: Heat mediation was performed in Citrate buffer (pH 6.0, epitope retrieval solution) for 20 min. * The dilutions indicate recommended starting dilutions and the optimal dilutions or concentrations should be determined by the scientist. |
属性
| 形式 | Liquid |
|---|---|
| 纯化 | Affinity purification with immunogen. |
| 缓冲液 | 0.9% NaCl, 0.2% Na2HPO4, 0.05% Sodium azide and 5% BSA. |
| 抗菌剂 | 0.05% Sodium azide |
| 稳定剂 | 5% BSA |
| 浓度 | 0.5 mg/ml |
| 存放说明 | For continuous use, store undiluted antibody at 2-8°C for up to a week. For long-term storage, aliquot and store at -20°C or below. Storage in frost free freezers is not recommended. Avoid repeated freeze/thaw cycles. Suggest spin the vial prior to opening. The antibody solution should be gently mixed before use. |
| 注意事项 | For laboratory research only, not for drug, diagnostic or other use. |
生物信息
| 数据库连接 | |
|---|---|
| 基因名称 | VWF |
| 全名 | von Willebrand factor |
| 背景介绍 | The glycoprotein encoded by this gene functions as both an antihemophilic factor carrier and a platelet-vessel wall mediator in the blood coagulation system. It is crucial to the hemostasis process. Mutations in this gene or deficiencies in this protein result in von Willebrand's disease. An unprocessed pseudogene has been found on chromosome 22. [provided by RefSeq, Jul 2008] |
| 生物功能 | Important in the maintenance of hemostasis, it promotes adhesion of platelets to the sites of vascular injury by forming a molecular bridge between sub-endothelial collagen matrix and platelet-surface receptor complex GPIb-IX-V. Also acts as a chaperone for coagulation factor VIII, delivering it to the site of injury, stabilizing its heterodimeric structure and protecting it from premature clearance from plasma. [UniProt] |
| 细胞定位 | Secreted. Secreted, extracellular space, extracellular matrix. Note=Localized to storage granules. [UniProt] |
| 预测分子量 | 309 kDa |
| 翻译后修饰 | All cysteine residues are involved in intrachain or interchain disulfide bonds. N- and O-glycosylated. [UniProt] |
检测图片 (4) Click the Picture to Zoom In
-
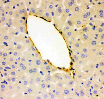
ARG59678 anti-vWF antibody IHC-P image
Immunohistochemistry: Paraffin-embedded Mouse liver stained with ARG59678 anti-vWF antibody.
-
ARG59678 anti-vWF antibody WB image
Western blot: 0.5 ng of Recombinant Mouse vWF Protein stained with ARG59678 anti-vWF antibody at 0.5 µg/ml dilution.
-
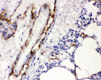
ARG59678 anti-vWF antibody IHC-P image
Immunohistochemistry: Paraffin-embedded Rat lung tissue. Antigen Retrieval: Heat mediation was performed in Citrate buffer (pH 6.0, epitope retrieval solution) for 20 min. The tissue section was blocked with 10% goat serum. The tissue section was then stained with ARG59678 anti-vWF antibody at 1 µg/ml dilution, overnight at 4°C.
-
ARG59678 anti-vWF antibody WB image
Western blot: 50 µg of Mouse lung lysate stained with ARG59678 anti-vWF antibody at 0.5 µg/ml dilution.
