ARG44011
anti-p21 antibody
anti-p21 antibody for ELISA,ICC/IF,IHC-Formalin-fixed paraffin-embedded sections,Western blot and Human
概述
| 产品描述 | Rabbit Polyclonal antibody recognizes p21 |
|---|---|
| 反应物种 | Hu |
| 应用 | ELISA, ICC/IF, IHC-P, WB |
| 宿主 | Rabbit |
| 克隆 | Polyclonal |
| 同位型 | IgG |
| 靶点名称 | p21 |
| 抗原物种 | Human |
| 抗原 | Human p21 recombinant protein |
| 表达系统 | E.coli |
| 偶联标记 | Un-conjugated |
| Protein Full name | Cyclin-dependent kinase inhibitor 1 |
| 別名 | CDKN1A; Cyclin Dependent Kinase Inhibitor 1A; P21; CAP20; CIP1; WAF1; SDI1; P21CIP1; CDKN1; Cyclin-Dependent Kinase Inhibitor 1A (P21, Cip1); Cyclin-Dependent Kinase Inhibitor 1; CDK-Interacting Protein 1; P21Cip1/Waf1; MDA-6; Melanoma Differentiation-Associated Protein 6; Wild-Type P53-Activated Fragment 1; CDK-Interaction Protein 1; DNA Synthesis Inhibitor; MDA6; PIC1 |
应用说明
| 应用建议 |
|
||||||||||
|---|---|---|---|---|---|---|---|---|---|---|---|
| 应用说明 | * The dilutions indicate recommended starting dilutions and the optimal dilutions or concentrations should be determined by the scientist. |
属性
| 形式 | Liquid |
|---|---|
| 纯化 | Affinity purified with Immunogen. |
| 缓冲液 | 0.9% NaCl, 0.2% Na2HPO4 and 4% Trehalose. |
| 稳定剂 | 4% Trehalose |
| 浓度 | 0.5 mg/ml |
| 存放说明 | For continuous use, store undiluted antibody at 2-8°C for up to a week. For long-term storage, aliquot and store at -20°C or below. Storage in frost free freezers is not recommended. Avoid repeated freeze/thaw cycles. Suggest spin the vial prior to opening. The antibody solution should be gently mixed before use. |
| 注意事项 | For laboratory research only, not for drug, diagnostic or other use. |
生物信息
| 数据库连接 |
Swiss-port # P38936 Human Cyclin-dependent kinase inhibitor 1 |
|---|---|
| 基因名称 | CDKN1A |
| 全名 | Cyclin Dependent Kinase Inhibitor 1A |
| 背景介绍 | This gene encodes a potent cyclin-dependent kinase inhibitor. The encoded protein binds to and inhibits the activity of cyclin-cyclin-dependent kinase2 or -cyclin-dependent kinase4 complexes, and thus functions as a regulator of cell cycle progression at G1. The expression of this gene is tightly controlled by the tumor suppressor protein p53, through which this protein mediates the p53-dependent cell cycle G1 phase arrest in response to a variety of stress stimuli. This protein can interact with proliferating cell nuclear antigen, a DNA polymerase accessory factor, and plays a regulatory role in S phase DNA replication and DNA damage repair. This protein was reported to be specifically cleaved by CASP3-like caspases, which thus leads to a dramatic activation of cyclin-dependent kinase2, and may be instrumental in the execution of apoptosis following caspase activation. Mice that lack this gene have the ability to regenerate damaged or missing tissue. Multiple alternatively spliced variants have been found for this gene. |
| 生物功能 | May be involved in p53/TP53 mediated inhibition of cellular proliferation in response to DNA damage. Binds to and inhibits cyclin-dependent kinase activity, preventing phosphorylation of critical cyclin-dependent kinase substrates and blocking cell cycle progression. Functions in the nuclear localization and assembly of cyclin D-CDK4 complex and promotes its kinase activity towards RB1. At higher stoichiometric ratios, inhibits the kinase activity of the cyclin D-CDK4 complex. Inhibits DNA synthesis by DNA polymerase delta by competing with POLD3 for PCNA binding. |
| 细胞定位 | Cytoplasm, Nucleus |
| 预测分子量 | 18 kDa |
| 翻译后修饰 | Acetylation, Phosphoprotein, Ubl conjugation |
检测图片 (4) Click the Picture to Zoom In
-
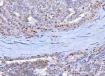
ARG44011 anti-p21 antibody IHC-P image
Immunohistochemistry: Human thyroid cancer stained with ARG44011 anti-p21 antibody at 2 μg/ml dilution.
-
ARG44011 anti-p21 antibody WB image
Western blot: HepG2, MCF-7 and U20S stained with ARG44011 anti-p21 antibody at 0.5 μg/mL dilution.
-
ARG44011 anti-p21 antibody ICC/IF image
Immunofluorescence: HeLa cells stained with ARG44011 anti-p21 antibody at 5 μg/ml dilution.
-
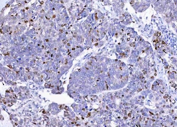
ARG44011 anti-p21 antibody IHC-P image
Immunohistochemistry: Human ovarian cancer stained with ARG44011 anti-p21 antibody at 2 μg/ml dilution.
