ARG44494
anti-mH2A2 antibody
anti-mH2A2 antibody for Flow cytometry,ICC/IF,IHC-Formalin-fixed paraffin-embedded sections,Western blot and Human,Mouse,Rat
概述
| 产品描述 | Rabbit Polyclonal antibody recognizes mH2A2 |
|---|---|
| 反应物种 | Hu, Ms, Rat |
| 应用 | FACS, ICC/IF, IHC-P, WB |
| 宿主 | Rabbit |
| 克隆 | Polyclonal |
| 同位型 | IgG |
| 靶点名称 | mH2A2 |
| 抗原物种 | Human |
| 抗原 | Human mH2A2 recombinant protein |
| 偶联标记 | Un-conjugated |
| 別名 | MACROH2A2; MacroH2A.2 Histone; H2AFY2; H2A Histone Family Member Y2; Core Histone Macro-H2A.2; Histone MacroH2A2; MH2A2; H2A Histone Family, Member Y2 |
应用说明
| 应用建议 |
|
||||||||||
|---|---|---|---|---|---|---|---|---|---|---|---|
| 应用说明 | The dilutions indicate recommended starting dilutions and the optimal dilutions or concentrations should be determined by the scientist. |
属性
| 形式 | Liquid |
|---|---|
| 纯化 | Affinity purified with Immunogen. |
| 缓冲液 | 0.9% NaCl, 0.2% Na2HPO4, 0.05% Sodium azide and 4% Trehalose. |
| 抗菌剂 | 0.05% Sodium azide |
| 稳定剂 | 4% Trehalose |
| 浓度 | 0.5 mg/ml |
| 存放说明 | For continuous use, store undiluted antibody at 2-8°C for up to a week. For long-term storage, aliquot and store at -20°C or below. Storage in frost free freezers is not recommended. Avoid repeated freeze/thaw cycles. Suggest spin the vial prior to opening. The antibody solution should be gently mixed before use. |
| 注意事项 | For laboratory research only, not for drug, diagnostic or other use. |
生物信息
| 数据库连接 | |
|---|---|
| 基因名称 | MACROH2A2 |
| 全名 | MacroH2A.2 Histone |
| 背景介绍 | Histones are basic nuclear proteins that are responsible for the nucleosome structure of the chromosomal fiber in eukaryotes. Nucleosomes consist of approximately 146 bp of DNA wrapped around a histone octamer composed of pairs of each of the four core histones (H2A, H2B, H3, and H4). The chromatin fiber is further compacted through the interaction of a linker histone, H1, with the DNA between the nucleosomes to form higher order chromatin structures. This gene encodes a replication-independent histone that is a member of the histone H2A family. It replaces conventional H2A histones in a subset of nucleosomes where it represses transcription and may participate in stable X chromosome inactivation. |
| 生物功能 | Variant histone H2A which replaces conventional H2A in a subset of nucleosomes where it represses transcription. Nucleosomes wrap and compact DNA into chromatin, limiting DNA accessibility to the cellular machineries which require DNA as a template. Histones thereby play a central role in transcription regulation, DNA repair, DNA replication and chromosomal stability. DNA accessibility is regulated via a complex set of post-translational modifications of histones, also called histone code, and nucleosome remodeling. May be involved in stable X chromosome inactivation. |
| 细胞定位 | Chromosome, Nucleosome core, Nucleus |
| 预测分子量 | 40 kDa |
| 翻译后修饰 | Isopeptide bond, Ubl conjugation |
检测图片 (6) Click the Picture to Zoom In
-
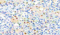
ARG44494 anti-mH2A2 antibody IHC-P image
Immunohistochemistry: Human urothelial carcinoma stained with ARG44494 anti-mH2A2 antibody at 2 μg/mL dilution.
-
ARG44494 anti-mH2A2 antibody ICC/IF image
Immunofluorescence: U2OS stained with ARG44494 anti-mH2A2 antibody at 5 μg/mL dilution.
-
ARG44494 anti-mH2A2 antibody WB image
Western blot: HepG2 and SH-SY5Y stained with ARG44494 anti-mH2A2 antibody at 2 μg/mL dilution.
-
ARG44494 anti-mH2A2 antibody FACS image
Flow Cytometry: PC-3 stained with ARG44494 anti-mH2A2 antibody at 1 μg/10^6 cells dilution.
-
ARG44494 anti-mH2A2 antibody WB image
Western blot: Rat brain stained with ARG44494 anti-mH2A2 antibody at 2 μg/mL dilution.
-
ARG44494 anti-mH2A2 antibody antibody IHC-P image
Western blot: Mouse brain stained withARG44494 anti-mH2A2 antibody antibody at 2 μg/mL dilution.
