ARG44493
anti-mH2A1 antibody
anti-mH2A1 antibody for ICC/IF,IHC-Formalin-fixed paraffin-embedded sections,Western blot and Human,Mouse,Rat
概述
| 产品描述 | Rabbit Polyclonal antibody recognizes mH2A1 |
|---|---|
| 反应物种 | Hu, Ms, Rat |
| 应用 | ICC/IF, IHC-P, WB |
| 宿主 | Rabbit |
| 克隆 | Polyclonal |
| 同位型 | IgG |
| 靶点名称 | mH2A1 |
| 抗原物种 | Human |
| 抗原 | Human mH2A1 recombinant protein |
| 偶联标记 | Un-conjugated |
| 別名 | MACROH2A1; MacroH2A.1 Histone; MacroH2A1.2; H2AFY; Medulloblastoma Antigen MU-MB-50.205; H2A Histone Family Member Y; Core Histone Macro-H2A.1; Histone MacroH2A1; Histone H2A.Y; H2A/Y; MH2A1; H2A Histone Family, Member Y; Histone MacroH2A1.1; Histone MacroH2A1.2; MACROH2A1.1; H2AF12M; H2A.Y |
应用说明
| 应用建议 |
|
||||||||
|---|---|---|---|---|---|---|---|---|---|
| 应用说明 | The dilutions indicate recommended starting dilutions and the optimal dilutions or concentrations should be determined by the scientist. |
属性
| 形式 | Liquid |
|---|---|
| 纯化 | Affinity purified with Immunogen. |
| 缓冲液 | 0.9% NaCl, 0.2% Na2HPO4, 0.05% Sodium azide and 4% Trehalose. |
| 抗菌剂 | 0.05% Sodium azide |
| 稳定剂 | 4% Trehalose |
| 浓度 | 0.5 mg/ml |
| 存放说明 | For continuous use, store undiluted antibody at 2-8°C for up to a week. For long-term storage, aliquot and store at -20°C or below. Storage in frost free freezers is not recommended. Avoid repeated freeze/thaw cycles. Suggest spin the vial prior to opening. The antibody solution should be gently mixed before use. |
| 注意事项 | For laboratory research only, not for drug, diagnostic or other use. |
生物信息
| 数据库连接 | |
|---|---|
| 基因名称 | MACROH2A1 |
| 全名 | MacroH2A.1 Histone |
| 背景介绍 | Histones are basic nuclear proteins that are responsible for the nucleosome structure of the chromosomal fiber in eukaryotes. Nucleosomes consist of approximately 146 bp of DNA wrapped around a histone octamer composed of pairs of each of the four core histones (H2A, H2B, H3, and H4). The chromatin fiber is further compacted through the interaction of a linker histone, H1, with the DNA between the nucleosomes to form higher order chromatin structures. This gene encodes a replication-independent histone that is a member of the histone H2A family. It replaces conventional H2A histones in a subset of nucleosomes where it represses transcription and participates in stable X chromosome inactivation. Alternative splicing results in multiple transcript variants encoding different isoforms. |
| 生物功能 | Variant histone H2A which replaces conventional H2A in a subset of nucleosomes where it represses transcription. |
| 细胞定位 | Chromosome, Nucleosome core, Nucleus |
| 预测分子量 | 39 kDa |
| 翻译后修饰 | Acetylation, Isopeptide bond, Methylation, Phosphoprotein, Ubl conjugation |
检测图片 (7) Click the Picture to Zoom In
-
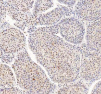
ARG44493 anti-mH2A1 antibody IHC-P image
Immunohistochemistry: Human colon adenocarcinoma stained with ARG44493 anti-mH2A1 antibody at 2 μg/mL dilution.
-
ARG44493 anti-mH2A1 antibody ICC/IF image
Immunofluorescence: HeLa stained with ARG44493 anti-mH2A1 antibody at 5 μg/mL dilution.
-
ARG44493 anti-mH2A1 antibody WB image
Western blot: A549, Caco-2, HeLa and 293T stained with ARG44493 anti-mH2A1 antibody at 0.5 μg/mL dilution.
-
ARG44493 anti-mH2A1 antibody WB image
Western blot: Rat brain and Rat thymus stained with ARG44493 anti-mH2A1 antibody at 0.5 μg/mL dilution.
-
ARG44493 anti-mH2A1 antibody WB image
Western blot: Mouse brain and Mouse thymus stained with ARG44493 anti-mH2A1 antibody at 0.5 μg/mL dilution.
-
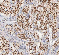
ARG44493 anti-mH2A1 antibody IHC-P image
Immunohistochemistry: Human liver cancer stained with ARG44493 anti-mH2A1 antibody at 2 μg/mL dilution.
-
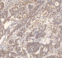
ARG44493 anti-mH2A1 antibody IHC-P image
Immunohistochemistry: Human lung adenocarcinoma stained with ARG44493 anti-mH2A1 antibody at 2 μg/mL dilution.
