ARG58940
anti-hnRNP H antibody
anti-hnRNP H antibody for ICC/IF,IHC-Formalin-fixed paraffin-embedded sections,Immunoprecipitation,Western blot and Human
概述
| 产品描述 | Rabbit Polyclonal antibody recognizes hnRNP H |
|---|---|
| 反应物种 | Hu |
| 预测物种 | Ms, Rat, Cow, Dog, Gpig, Hrs, Rb |
| 应用 | ICC/IF, IHC-P, IP, WB |
| 宿主 | Rabbit |
| 克隆 | Polyclonal |
| 同位型 | IgG |
| 靶点名称 | hnRNP H |
| 抗原物种 | Human |
| 抗原 | Synthetic peptide around the middle region of Human hnRNP H. (within the following region: FLNSTAGASGGAYEHRYVELFLNSTAGASGGAYGSQMMGGMGLSNQSSYG) |
| 偶联标记 | Un-conjugated |
| 別名 | hnRNPH; Heterogeneous nuclear ribonucleoprotein H; hnRNP H; HNRPH; HNRPH1 |
应用说明
| 预测反应性说明 | Predicted Homology Based On Immunogen Sequence: Cow: 100%; Dog: 100%; Guinea pig: 100%; Horse: 100%; Mouse: 100%; Rabbit: 100%; Rat: 100% | ||||||||||
|---|---|---|---|---|---|---|---|---|---|---|---|
| 应用建议 |
|
||||||||||
| 应用说明 | IHC-P: Antigen Retrieval: Heat mediated was performed in Citrate buffer (pH 6.0, epitope retrieval solution) for 20 min. * The dilutions indicate recommended starting dilutions and the optimal dilutions or concentrations should be determined by the scientist. |
||||||||||
| 阳性对照 | HepG2 |
属性
| 形式 | Liquid |
|---|---|
| 纯化 | Affinity purified. |
| 缓冲液 | PBS, 0.09% (w/v) Sodium azide and 2% Sucrose. |
| 抗菌剂 | 0.09% (w/v) Sodium azide |
| 稳定剂 | 2% Sucrose |
| 浓度 | Batch dependent: 0.5 - 1 mg/ml |
| 存放说明 | For continuous use, store undiluted antibody at 2-8°C for up to a week. For long-term storage, aliquot and store at -20°C or below. Storage in frost free freezers is not recommended. Avoid repeated freeze/thaw cycles. Suggest spin the vial prior to opening. The antibody solution should be gently mixed before use. |
| 注意事项 | For laboratory research only, not for drug, diagnostic or other use. |
生物信息
| 数据库连接 |
Swiss-port # P31943 Human Heterogeneous nuclear ribonucleoprotein H |
|---|---|
| 基因名称 | HNRNPH1 |
| 全名 | heterogeneous nuclear ribonucleoprotein H1 (H) |
| 背景介绍 | This gene encodes a member of a subfamily of ubiquitously expressed heterogeneous nuclear ribonucleoproteins (hnRNPs). The hnRNPs are RNA binding proteins that complex with heterogeneous nuclear RNA. These proteins are associated with pre-mRNAs in the nucleus and appear to influence pre-mRNA processing and other aspects of mRNA metabolism and transport. While all of the hnRNPs are present in the nucleus, some may shuttle between the nucleus and the cytoplasm. The hnRNP proteins have distinct nucleic acid binding properties. The protein encoded by this gene has three repeats of quasi-RRM domains that bind to RNA and is very similar to the family member HNRPF. This gene may be associated with hereditary lymphedema type I. Alternatively spliced transcript variants have been described [provided by RefSeq, Mar 2012] |
| 生物功能 | This protein is a component of the heterogeneous nuclear ribonucleoprotein (hnRNP) complexes which provide the substrate for the processing events that pre-mRNAs undergo before becoming functional, translatable mRNAs in the cytoplasm. Mediates pre-mRNA alternative splicing regulation. Inhibits, together with CUGBP1, insulin receptor (IR) pre-mRNA exon 11 inclusion in myoblast. Binds to the IR RNA. Binds poly(RG). [UniProt] |
| 细胞定位 | Nucleus, nucleoplasm. [UniProt] |
| 预测分子量 | 49 kDa |
检测图片 (7) Click the Picture to Zoom In
-
ARG58940 anti-hnRNP H antibody ICC/IF image
Immunofluorescence: MCF7 cells stained with ARG58940 anti-hnRNP H antibody (green) at 1:200 dilution. DAPI (blue) for nuclear staining.
-
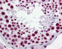
ARG58940 anti-hnRNP H antibody IHC-P image
Immunohistochemistry: Paraffin-embedded Human testis tissue. Antigen Retrieval: Heat mediated was performed in Citrate buffer (pH 6.0, epitope retrieval solution) for 20 min. The tissue section was blocked with 10% goat serum. The tissue section was then stained with ARG58940 anti-hnRNP H antibody at 5 µg/ml, overnight at 4°C.
-
ARG58940 anti-hnRNP H antibody WB image
Western blot: HepG2 cell lysate stained with ARG58940 anti-hnRNP H antibody at 0.2 - 1 µg/ml dilution.
-
ARG58940 anti-hnRNP H antibody WB image
Western blot: 721_B cell lysate stained with ARG58940 anti-hnRNP H antibody at 1 µg/ml dilution.
-
ARG58940 anti-hnRNP H antibody WB image
Western blot: MCF7 cell lysate stained with ARG58940 anti-hnRNP H antibody at 1 µg/ml dilution.
-
ARG58940 anti-hnRNP H antibody WB image
Western blot: Jurkat cell lysate stained with ARG58940 anti-hnRNP H antibody at 1 µg/ml dilution.
-
ARG58940 anti-hnRNP H antibody WB image
Western blot: 20 µg of HeLa S3, MCF7 and K562 cell lysates stained with ARG58940 anti-hnRNP H antibody at 1:4000 dilution.
