ARG58939
anti-hnRNP F antibody
anti-hnRNP F antibody for ICC/IF,IHC-Formalin-fixed paraffin-embedded sections,Western blot and Human,Mouse,Rat
概述
| 产品描述 | Rabbit Polyclonal antibody recognizes hnRNP F |
|---|---|
| 反应物种 | Hu, Ms, Rat |
| 预测物种 | Cow, Dog, Gpig, Hrs, Rb |
| 应用 | ICC/IF, IHC-P, WB |
| 宿主 | Rabbit |
| 克隆 | Polyclonal |
| 同位型 | IgG |
| 靶点名称 | hnRNP F |
| 抗原物种 | Human |
| 抗原 | Synthetic peptide around the C-terminal region of Human hnRNP F. (within the following region: LNSTTGASNGAYSSQVMQGMGVSAAQATYSGLESQSVSGCYGAGYSGQNS) |
| 偶联标记 | Un-conjugated |
| 別名 | HNRPF; Nucleolin-like protein mcs94-1; mcs94-1; hnRNP F; Heterogeneous nuclear ribonucleoprotein F; OK/SW-cl.23 |
应用说明
| 预测反应性说明 | Predicted Homology Based On Immunogen Sequence: Cow: 91%; Dog: 92%; Guinea pig: 100%; Horse: 92%; Rabbit: 100% | ||||||||
|---|---|---|---|---|---|---|---|---|---|
| 应用建议 |
|
||||||||
| 应用说明 | * The dilutions indicate recommended starting dilutions and the optimal dilutions or concentrations should be determined by the scientist. | ||||||||
| 阳性对照 | HepG2 |
属性
| 形式 | Liquid |
|---|---|
| 纯化 | Purification with Protein A. |
| 缓冲液 | PBS, 0.09% (w/v) Sodium azide and 2% Sucrose. |
| 抗菌剂 | 0.09% (w/v) Sodium azide |
| 稳定剂 | 2% Sucrose |
| 浓度 | Batch dependent: 0.5 - 1 mg/ml |
| 存放说明 | For continuous use, store undiluted antibody at 2-8°C for up to a week. For long-term storage, aliquot and store at -20°C or below. Storage in frost free freezers is not recommended. Avoid repeated freeze/thaw cycles. Suggest spin the vial prior to opening. The antibody solution should be gently mixed before use. |
| 注意事项 | For laboratory research only, not for drug, diagnostic or other use. |
生物信息
| 数据库连接 | |
|---|---|
| 基因名称 | HNRNPF |
| 全名 | heterogeneous nuclear ribonucleoprotein F |
| 背景介绍 | This gene belongs to the subfamily of ubiquitously expressed heterogeneous nuclear ribonucleoproteins (hnRNPs). The hnRNPs are RNA binding proteins that complex with heterogeneous nuclear RNA (hnRNA). These proteins are associated with pre-mRNAs in the nucleus and regulate alternative splicing, polyadenylation, and other aspects of mRNA metabolism and transport. While all of the hnRNPs are present in the nucleus, some seem to shuttle between the nucleus and the cytoplasm. The hnRNP proteins have distinct nucleic acid binding properties. The protein encoded by this gene has three repeats of quasi-RRM domains that bind to RNAs which have guanosine-rich sequences. This protein is very similar to the family member hnRPH. Multiple alternatively spliced variants, encoding the same protein, have been identified. [provided by RefSeq, Jul 2008] |
| 生物功能 | Component of the heterogeneous nuclear ribonucleoprotein (hnRNP) complexes which provide the substrate for the processing events that pre-mRNAs undergo before becoming functional, translatable mRNAs in the cytoplasm. Plays a role in the regulation of alternative splicing events. Binds G-rich sequences in pre-mRNAs and keeps target RNA in an unfolded state. [UniProt] |
| 细胞定位 | Nucleus, nucleoplasm. [UniProt] |
| 预测分子量 | 46 kDa |
| 翻译后修饰 | Sumoylated. [UniProt] |
检测图片 (3) Click the Picture to Zoom In
-
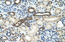
ARG58939 anti-hnRNP F antibody IHC-P image
Immunohistochemistry: Paraffin-embedded Human kidney (Epithelial cells of renal tubule) stained with ARG58939 anti-hnRNP F antibody at 4 - 8 µg/ml dilution.
-
ARG58939 anti-hnRNP F antibody WB image
Western blot: HepG2 cell lysate stained with ARG58939 anti-hnRNP F antibody at 1.25 µg/ml dilution.
-
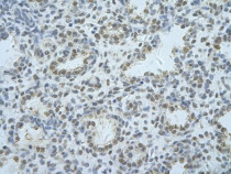
ARG58939 anti-hnRNP F antibody IHC-P image
Immunohistochemistry: Paraffin-embedded Human lung (alveolar cell; Epithelial cells of renal tubule) stained with ARG58939 anti-hnRNP F antibody at 4 - 8 µg/ml dilution.
