ARG51723
anti-eIF4E phospho (Ser209) antibody
anti-eIF4E phospho (Ser209) antibody for ICC/IF,IHC-Formalin-fixed paraffin-embedded sections,Western blot and Human,Mouse,Rat
Gene Regulation antibody
概述
| 产品描述 | Rabbit Polyclonal antibody recognizes eIF4E phospho (Ser209) |
|---|---|
| 反应物种 | Hu, Ms, Rat |
| 应用 | ICC/IF, IHC-P, WB |
| 宿主 | Rabbit |
| 克隆 | Polyclonal |
| 同位型 | IgG |
| 靶点名称 | eIF4E |
| 抗原物种 | Human |
| 抗原 | Peptide sequence around phosphorylation site of serine 209 (S-G-S(p)-T-T) derived from Human eIF4E. |
| 偶联标记 | Un-conjugated |
| 別名 | EIF4E1; EIF4EL1; Eukaryotic translation initiation factor 4E; eIF-4F 25 kDa subunit; mRNA cap-binding protein; CBP; eIF-4E; eIF4E; AUTS19; EIF4F |
应用说明
| 应用建议 |
|
||||||||
|---|---|---|---|---|---|---|---|---|---|
| 应用说明 | * The dilutions indicate recommended starting dilutions and the optimal dilutions or concentrations should be determined by the scientist. |
属性
| 形式 | Liquid |
|---|---|
| 纯化 | Antibodies were produced by immunizing rabbits with KLH-conjugated synthetic phosphopeptide. Antibodies were purified by affinity-chromatography using epitope-specific phosphopeptide. In addition, non-phospho specific antibodies were removed by chromatogramphy using non-phosphopeptide. |
| 缓冲液 | PBS (without Mg2+ and Ca2+, pH 7.4), 150mM NaCl, 0.02% Sodium azide and 50% Glycerol. |
| 抗菌剂 | 0.02% Sodium azide |
| 稳定剂 | 50% Glycerol |
| 浓度 | 1 mg/ml |
| 存放说明 | For continuous use, store undiluted antibody at 2-8°C for up to a week. For long-term storage, aliquot and store at -20°C. Storage in frost free freezers is not recommended. Avoid repeated freeze/thaw cycles. Suggest spin the vial prior to opening. The antibody solution should be gently mixed before use. |
| 注意事项 | For laboratory research only, not for drug, diagnostic or other use. |
生物信息
| 数据库连接 | |
|---|---|
| 基因名称 | EIF4E |
| 全名 | eukaryotic translation initiation factor 4E |
| 背景介绍 | Recognizes and binds the 7-methylguanosine-containing mRNA cap during an early step in the initiation of protein synthesis and facilitates ribosome binding by inducing the unwinding of the mRNAs secondary structures. |
| 生物功能 | Recognizes and binds the 7-methylguanosine-containing mRNA cap during an early step in the initiation of protein synthesis and facilitates ribosome binding by inducing the unwinding of the mRNAs secondary structures. Component of the CYFIP1-EIF4E-FMR1 complex which binds to the mRNA cap and mediates translational repression. In the CYFIP1-EIF4E-FMR1 complex this subunit mediates the binding to the mRNA cap. [UniProt] |
| 研究领域 | Gene Regulation antibody |
| 预测分子量 | 25 kDa |
| 翻译后修饰 | Phosphorylation increases the ability of the protein to bind to mRNA caps and to form the eIF4F complex. |
检测图片 (3) Click the Picture to Zoom In
-
ARG51723 anti-eIF4E phospho (Ser209) antibody WB image
Western blot: Extracts from SK-BR-3 cells, untreated or insulin and EGF treated, and pretreated with U0126 cells, stained with ARG51723 anti-eIF4E phospho (Ser209) antibody.
-
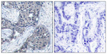
ARG51723 anti-eIF4E phospho (Ser209) antibody IHC-P image
Immunohistochemistry: Paraffin-embedded Human breast carcinoma tissue stained with ARG51723 anti-eIF4E phospho (Ser209) antibody (left) or the same antibody preincubated with blocking peptide (right).
-
ARG51723 anti-eIF4E phospho (Ser209) antibody ICC/IF image
Immunofluorescence: methanol-fixed MCF cells stained with ARG51723 anti-eIF4E phospho (Ser209) antibody.
