ARG58591
anti-eIF4A2 antibody
anti-eIF4A2 antibody for Flow cytometry,ICC/IF,IHC-Formalin-fixed paraffin-embedded sections,Immunoprecipitation,Western blot and Human,Mouse,Rat
概述
| 产品描述 | Rabbit Polyclonal antibody recognizes eIF4A2 |
|---|---|
| 反应物种 | Hu, Ms, Rat |
| 应用 | FACS, ICC/IF, IHC-P, IP, WB |
| 宿主 | Rabbit |
| 克隆 | Polyclonal |
| 同位型 | IgG |
| 靶点名称 | eIF4A2 |
| 抗原物种 | Human |
| 抗原 | Synthetic peptide corresponding to aa. 5-31 of Human eIF4A2. (SADYNREHGGPEGMDPDGVIESNWNEI) |
| 偶联标记 | Un-conjugated |
| 別名 | BM-010; ATP-dependent RNA helicase eIF4A-2; eIF-4A-II; eIF4A-II; DDX2B; Eukaryotic initiation factor 4A-II; EC 3.6.4.13; EIF4F; EIF4A |
应用说明
| 应用建议 |
|
||||||||||||
|---|---|---|---|---|---|---|---|---|---|---|---|---|---|
| 应用说明 | IHC-P: Antigen Retrieval: By heat mediation. * The dilutions indicate recommended starting dilutions and the optimal dilutions or concentrations should be determined by the scientist. |
属性
| 形式 | Liquid |
|---|---|
| 纯化 | Affinity purification with immunogen. |
| 缓冲液 | 0.9% NaCl, 0.2% Na2HPO4, 0.05% Sodium azide and 5% BSA. |
| 抗菌剂 | 0.05% Sodium azide |
| 稳定剂 | 5% BSA |
| 浓度 | 0.5 mg/ml |
| 存放说明 | For continuous use, store undiluted antibody at 2-8°C for up to a week. For long-term storage, aliquot and store at -20°C or below. Storage in frost free freezers is not recommended. Avoid repeated freeze/thaw cycles. Suggest spin the vial prior to opening. The antibody solution should be gently mixed before use. |
| 注意事项 | For laboratory research only, not for drug, diagnostic or other use. |
生物信息
| 数据库连接 | |
|---|---|
| 基因名称 | EIF4A2 |
| 全名 | eukaryotic translation initiation factor 4A2 |
| 生物功能 | ATP-dependent RNA helicase which is a subunit of the eIF4F complex involved in cap recognition and is required for mRNA binding to ribosome. In the current model of translation initiation, eIF4A unwinds RNA secondary structures in the 5'-UTR of mRNAs which is necessary to allow efficient binding of the small ribosomal subunit, and subsequent scanning for the initiator codon. [UniProt] |
| 预测分子量 | 46 kDa |
检测图片 (6) Click the Picture to Zoom In
-
ARG58591 anti-eIF4A2 antibody ICC/IF image
Immunofluorescence: A431 cells were blocked with 10% goat serum and then stained with ARG58591 anti-eIF4A2 antibody (green) at 2 µg/ml dilution, overnight at 4°C. DAPI (blue) for nuclear staining.
-
ARG58591 anti-eIF4A2 antibody IHC-P image
Immunohistochemistry: Paraffin-embedded Mouse Spleen Tissue stained with ARG58591 anti-eIF4A2 antibody.
-
ARG58591 anti-eIF4A2 antibody WB image
Western blot: 50 µg of Rat Liver, 50 µg of Rat Thymus, 50 µg of Rat Kidney, 40 µg of HeLa, 40 µg of SGC and 40 µg of 22RV1 lysates stained with ARG58591 anti-eIF4A2 antibody at 0.5 µg/ml dilution.
-
ARG58591 anti-eIF4A2 antibody FACS image
Flow Cytometry: SiHa cells were blocked with 10% normal goat serum and then stained with ARG58591 anti-eIF4A2 antibody (blue) at 1 µg/10^6 cells for 30 min at 20°C, followed by incubation with DyLight®488 labelled secondary antibody. Isotype control antibody (green) was rabbit IgG (1 µg/10^6 cells) used under the same conditions. Unlabelled sample (red) was also used as a control.
-
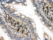
ARG58591 anti-eIF4A2 antibody IHC-P image
Immunohistochemistry: Paraffin-embedded Rat Intestine Tissue stained with ARG58591 anti-eIF4A2 antibody.
-
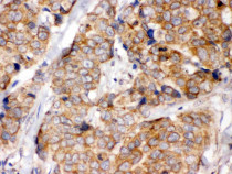
ARG58591 anti-eIF4A2 antibody IHC-P image
Immunohistochemistry: Paraffin-embedded Human Mammary Cancer Tissue stained with ARG58591 anti-eIF4A2 antibody.
