ARG66176
anti-eIF4A1 antibody
anti-eIF4A1 antibody for ICC/IF,IHC-Formalin-fixed paraffin-embedded sections,Western blot and Human,Mouse,Rat
概述
| 产品描述 | Mouse Monoclonal antibody recognizes eIF4A1 |
|---|---|
| 反应物种 | Hu, Ms, Rat |
| 应用 | ICC/IF, IHC-P, WB |
| 特异性 | The antibody detects endogenous eIF4A1 protein. |
| 宿主 | Mouse |
| 克隆 | Monoclonal |
| 靶点名称 | eIF4A1 |
| 抗原物种 | Human |
| 抗原 | Synthetic peptide of Human eIF4A1. |
| 偶联标记 | Un-conjugated |
| 別名 | ATP-dependent RNA helicase eIF4A-1; EIF4A; Eukaryotic initiation factor 4A-I; EIF-4A; DDX2A; EC 3.6.4.13; eIF4A-I; eIF-4A-I |
应用说明
| 应用建议 |
|
||||||||
|---|---|---|---|---|---|---|---|---|---|
| 应用说明 | IHC-P: Antigen Retrieval: Boil tissue section in Sodium citrate buffer (pH 6.0) for 20 min. * The dilutions indicate recommended starting dilutions and the optimal dilutions or concentrations should be determined by the scientist. |
属性
| 形式 | Liquid |
|---|---|
| 纯化 | Affinity purification with immunogen. |
| 缓冲液 | PBS (pH 7.4), 0.02% Sodium azide and 50% Glycerol. |
| 抗菌剂 | 0.02% Sodium azide |
| 稳定剂 | 50% Glycerol |
| 浓度 | 1 mg/ml |
| 存放说明 | For continuous use, store undiluted antibody at 2-8°C for up to a week. For long-term storage, aliquot and store at -20°C. Storage in frost free freezers is not recommended. Avoid repeated freeze/thaw cycles. Suggest spin the vial prior to opening. The antibody solution should be gently mixed before use. |
| 注意事项 | For laboratory research only, not for drug, diagnostic or other use. |
生物信息
| 数据库连接 | |
|---|---|
| 基因名称 | EIF4A1 |
| 全名 | eukaryotic translation initiation factor 4A1 |
| 生物功能 | ATP-dependent RNA helicase which is a subunit of the eIF4F complex involved in cap recognition and is required for mRNA binding to ribosome. In the current model of translation initiation, eIF4A unwinds RNA secondary structures in the 5'-UTR of mRNAs which is necessary to allow efficient binding of the small ribosomal subunit, and subsequent scanning for the initiator codon. [UniProt] |
| 预测分子量 | 46 kDa |
检测图片 (16) Click the Picture to Zoom In
-
ARG66176 anti-eIF4A1 antibody ICC/IF image
Immunofluorescence: HeLa cells stained with ARG66176 anti-eIF4A1 antibody (green).
Left: Target. Middle: DAPI. Right: merge image.
-
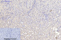
ARG66176 anti-eIF4A1 antibody IHC-P image
Immunohistochemistry: Paraffin-embedded Human colon cancer tissue stained with ARG66176 anti-eIF4A1 antibody at 1:200 dilution (4°C, overnight). Antigen Retrieval: Boil tissue section in Sodium citrate buffer (pH 6.0) for 20 min.
Negative control was used by secondary antibody only.
-
ARG66176 anti-eIF4A1 antibody WB image
Western blot: 1) 293T, 2) HeLa, 3) HepG2, and 4) Mouse brain tissue lysates stained with ARG66176 anti-eIF4A1 antibody.
-
ARG66176 anti-eIF4A1 antibody IHC-P image
Immunohistochemistry: Paraffin-embedded Human liver tissue stained with ARG66176 anti-eIF4A1 antibody at 1:200 dilution (4°C, overnight). Antigen Retrieval: Boil tissue section in Sodium citrate buffer (pH 6.0) for 20 min.
Negative control was used by secondary antibody only.
-
ARG66176 anti-eIF4A1 antibody IHC-P image
Immunohistochemistry: Paraffin-embedded Human liver cancer tissue stained with ARG66176 anti-eIF4A1 antibody at 1:200 dilution (4°C, overnight). Antigen Retrieval: Boil tissue section in Sodium citrate buffer (pH 6.0) for 20 min.
Negative control was used by secondary antibody only.
-
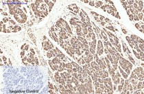
ARG66176 anti-eIF4A1 antibody IHC-P image
Immunohistochemistry: Paraffin-embedded Human stomach cancer tissue stained with ARG66176 anti-eIF4A1 antibody at 1:200 dilution (4°C, overnight). Antigen Retrieval: Boil tissue section in Sodium citrate buffer (pH 6.0) for 20 min.
Negative control was used by secondary antibody only.
-
ARG66176 anti-eIF4A1 antibody IHC-P image
Immunohistochemistry: Paraffin-embedded Rat lung tissue stained with ARG66176 anti-eIF4A1 antibody at 1:200 dilution (4°C, overnight). Antigen Retrieval: Boil tissue section in Sodium citrate buffer (pH 6.0) for 20 min.
Negative control was used by secondary antibody only.
-
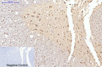
ARG66176 anti-eIF4A1 antibody IHC-P image
Immunohistochemistry: Paraffin-embedded Rat spinal-cord tissue stained with ARG66176 anti-eIF4A1 antibody at 1:200 dilution (4°C, overnight). Antigen Retrieval: Boil tissue section in Sodium citrate buffer (pH 6.0) for 20 min.
Negative control was used by secondary antibody only.
-
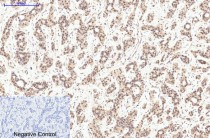
ARG66176 anti-eIF4A1 antibody IHC-P image
Immunohistochemistry: Paraffin-embedded Rat spleen tissue stained with ARG66176 anti-eIF4A1 antibody at 1:200 dilution (4°C, overnight). Antigen Retrieval: Boil tissue section in Sodium citrate buffer (pH 6.0) for 20 min.
Negative control was used by secondary antibody only.
-
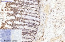
ARG66176 anti-eIF4A1 antibody IHC-P image
Immunohistochemistry: Paraffin-embedded Mouse colon tissue stained with ARG66176 anti-eIF4A1 antibody at 1:200 dilution (4°C, overnight). Antigen Retrieval: Boil tissue section in Sodium citrate buffer (pH 6.0) for 20 min.
Negative control was used by secondary antibody only.
-
ARG66176 anti-eIF4A1 antibody IHC-P image
Immunohistochemistry: Paraffin-embedded Mouse kidney tissue stained with ARG66176 anti-eIF4A1 antibody at 1:200 dilution (4°C, overnight). Antigen Retrieval: Boil tissue section in Sodium citrate buffer (pH 6.0) for 20 min.
Negative control was used by secondary antibody only.
-
ARG66176 anti-eIF4A1 antibody IHC-P image
Immunohistochemistry: Paraffin-embedded Mouse brain tissue stained with ARG66176 anti-eIF4A1 antibody at 1:200 dilution (4°C, overnight). Antigen Retrieval: Boil tissue section in Sodium citrate buffer (pH 6.0) for 20 min.
Negative control was used by secondary antibody only.
-
ARG66176 anti-eIF4A1 antibody IHC image
Immunohistochemistry: Mouse spleen tissue stained with ARG66176 anti-eIF4A1 antibody (red) at 1:200 dilution (4°C, overnight).
Picture A: Target. Picture B: DAPI. Picture C: merge of A+B.
-
ARG66176 anti-eIF4A1 antibody IHC image
Immunohistochemistry: Mouse testis tissue stained with ARG66176 anti-eIF4A1 antibody (red) at 1:200 dilution (4°C, overnight).
Picture A: Target. Picture B: DAPI. Picture C: merge of A+B.
-
ARG66176 anti-eIF4A1 antibody IHC image
Immunohistochemistry: Mouse testis tissue stained with ARG66176 anti-eIF4A1 antibody (red) at 1:200 dilution (4°C, overnight).
Picture A: Target. Picture B: DAPI. Picture C: merge of A+B.
-
ARG66176 anti-eIF4A1 antibody IHC image
Immunohistochemistry: Mouse testis tissue stained with ARG66176 anti-eIF4A1 antibody (red) at 1:200 dilution (4°C, overnight).
Picture A: Target. Picture B: DAPI. Picture C: merge of A+B.
