ARG51812
anti-eIF2 alpha phospho (Ser49) antibody
anti-eIF2 alpha phospho (Ser49) antibody for ICC/IF,IHC-Formalin-fixed paraffin-embedded sections,Western blot and Human,Mouse,Rat
Gene Regulation antibody
概述
| 产品描述 | Rabbit Polyclonal antibody recognizes eIF2 alpha phospho (Ser49) |
|---|---|
| 反应物种 | Hu, Ms, Rat |
| 应用 | ICC/IF, IHC-P, WB |
| 宿主 | Rabbit |
| 克隆 | Polyclonal |
| 同位型 | IgG |
| 靶点名称 | eIF2 alpha |
| 抗原物种 | Human |
| 抗原 | Peptide sequence around phosphorylation site of Serine 49 (L-L-S(p)-E-L) derived from Human eIF2α. |
| 偶联标记 | Un-conjugated |
| 別名 | eIF-2alpha; EIF-2A; Eukaryotic translation initiation factor 2 subunit 1; EIF2; EIF-2alpha; EIF2A; eIF-2-alpha; Eukaryotic translation initiation factor 2 subunit alpha; eIF-2A; EIF-2 |
应用说明
| 应用建议 |
|
||||||||
|---|---|---|---|---|---|---|---|---|---|
| 应用说明 | * The dilutions indicate recommended starting dilutions and the optimal dilutions or concentrations should be determined by the scientist. |
属性
| 形式 | Liquid |
|---|---|
| 纯化 | Antibodies were produced by immunizing rabbits with KLH-conjugated synthetic phosphopeptide. Antibodies were purified by affinity-chromatography using epitope-specific phosphopeptide. In addition, non-phospho specific antibodies were removed by chromatogramphy using non-phosphopeptide. |
| 缓冲液 | PBS (without Mg2+ and Ca2+, pH 7.4), 150mM NaCl, 0.02% Sodium azide and 50% Glycerol. |
| 抗菌剂 | 0.02% Sodium azide |
| 稳定剂 | 50% Glycerol |
| 浓度 | 1 mg/ml |
| 存放说明 | For continuous use, store undiluted antibody at 2-8°C for up to a week. For long-term storage, aliquot and store at -20°C. Storage in frost free freezers is not recommended. Avoid repeated freeze/thaw cycles. Suggest spin the vial prior to opening. The antibody solution should be gently mixed before use. |
| 注意事项 | For laboratory research only, not for drug, diagnostic or other use. |
生物信息
| 数据库连接 | |
|---|---|
| 基因名称 | EIF2S1 |
| 全名 | eukaryotic translation initiation factor 2, subunit 1 alpha, 35kDa |
| 背景介绍 | Functions in the early steps of protein synthesis by forming a ternary complex with GTP and initiator tRNA. This complex binds to a 40S ribosomal subunit, followed by mRNA binding to form a 43S preinitiation complex. Junction of the 60S ribosomal subunit to form the 80S initiation complex is preceded by hydrolysis of the GTP bound to eIF-2 and release of an eIF-2-GDP binary complex. In order for eIF-2 to recycle and catalyze another round of initiation, the GDP bound to eIF-2 must exchange with GTP by way of a reaction catalyzed by eIF-2B. |
| 生物功能 | Functions in the early steps of protein synthesis by forming a ternary complex with GTP and initiator tRNA. This complex binds to a 40S ribosomal subunit, followed by mRNA binding to form a 43S preinitiation complex. Junction of the 60S ribosomal subunit to form the 80S initiation complex is preceded by hydrolysis of the GTP bound to eIF-2 and release of an eIF-2-GDP binary complex. In order for eIF-2 to recycle and catalyze another round of initiation, the GDP bound to eIF-2 must exchange with GTP by way of a reaction catalyzed by eIF-2B. [UniProt] |
| 研究领域 | Gene Regulation antibody |
| 预测分子量 | 36 kDa |
| 翻译后修饰 | Substrate for at least 4 kinases: EIF2AK1/HRI, EIF2AK2/PKR, EIF2AK3/PERK and EIF2AK4/GCN2. Phosphorylation stabilizes the eIF-2/GDP/eIF-2B complex and prevents GDP/GTP exchange reaction, thus impairing the recycling of eIF-2 between successive rounds of initiation and leading to global inhibition of translation (PubMed:15207627, PubMed:18032499). Phosphorylated; phosphorylation on Ser-52 by the EIF2AK4/GCN2 protein kinase occurs in response to amino acid starvation and UV irradiation (By similarity). |
检测图片 (4) Click the Picture to Zoom In
-
ARG51812 anti-eIF2 alpha phospho (Ser49) antibody WB image
Western blot: Extracts from HeLa cells untreated or treated with starvation stained with ARG51812 anti-eIF2 alpha phospho (Ser49) antibody.
-
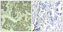
ARG51812 anti-eIF2 alpha phospho (Ser49) antibody IHC-P image
Immunohistochemistry: Paraffin-embedded Human breast carcinoma tissue stained with ARG51812 anti-eIF2 alpha phospho (Ser49) antibody (left) or the same antibody preincubated with blocking peptide (right).
-
ARG51812 anti-eIF2 alpha phospho (Ser49) antibody ICC/IF image
Immunofluorescence: methanol-fixed HeLa cells stained with ARG51812 anti-eIF2 alpha phospho (Ser49) antibody.
-
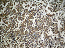
ARG51812 anti-eIF2 alpha phospho (Ser49) antibody IHC-P image
Immunohistochemistry: Paraffin-embedded Human lung carcinoma tissue, stained with ARG51812 anti-eIF2 alpha phospho (Ser49) antibody.
