ARG51529
anti-c-Jun phospho (Ser243) antibody
anti-c-Jun phospho (Ser243) antibody for IHC-Formalin-fixed paraffin-embedded sections,Western blot and Human,Mouse,Rat
Cancer antibody; Gene Regulation antibody; Immune System antibody; Signaling Transduction antibody; AP-1 early response transcription factor study antibody
概述
| 产品描述 | Rabbit Polyclonal antibody recognizes c-Jun phospho (Ser243) |
|---|---|
| 反应物种 | Hu, Ms, Rat |
| 应用 | IHC-P, WB |
| 宿主 | Rabbit |
| 克隆 | Polyclonal |
| 同位型 | IgG |
| 靶点名称 | c-Jun |
| 抗原物种 | Human |
| 抗原 | Peptide sequence around phosphorylation site of serine 243 (P-L-S(p)-P-I) derived from Human c-Jun. |
| 偶联标记 | Un-conjugated |
| 別名 | AP1; AP-1; Transcription factor AP-1; Proto-oncogene c-Jun; V-jun avian sarcoma virus 17 oncogene homolog; p39; Activator protein 1; c-Jun |
应用说明
| 应用建议 |
|
||||||
|---|---|---|---|---|---|---|---|
| 应用说明 | * The dilutions indicate recommended starting dilutions and the optimal dilutions or concentrations should be determined by the scientist. |
属性
| 形式 | Liquid |
|---|---|
| 纯化 | Antibodies were produced by immunizing rabbits with KLH-conjugated synthetic phosphopeptide. Antibodies were purified by affinity-chromatography using epitope-specific phosphopeptide. In addition, non-phospho specific antibodies were removed by chromatogramphy using non-phosphopeptide. |
| 缓冲液 | PBS (without Mg2+ and Ca2+, pH 7.4), 150mM NaCl, 0.02% Sodium azide and 50% Glycerol. |
| 抗菌剂 | 0.02% Sodium azide |
| 稳定剂 | 50% Glycerol |
| 浓度 | 1 mg/ml |
| 存放说明 | For continuous use, store undiluted antibody at 2-8°C for up to a week. For long-term storage, aliquot and store at -20°C. Storage in frost free freezers is not recommended. Avoid repeated freeze/thaw cycles. Suggest spin the vial prior to opening. The antibody solution should be gently mixed before use. |
| 注意事项 | For laboratory research only, not for drug, diagnostic or other use. |
生物信息
| 数据库连接 | |
|---|---|
| 基因名称 | JUN |
| 全名 | jun proto-oncogene |
| 背景介绍 | Transcription factor that recognizes and binds to the enhancer heptamer motif 5'-TGA[CG]TCA-3'. |
| 生物功能 | Transcription factor that recognizes and binds to the enhancer heptamer motif 5'-TGA[CG]TCA-3'. Promotes activity of NR5A1 when phosphorylated by HIPK3 leading to increased steroidogenic gene expression upon cAMP signaling pathway stimulation. [UniProt] |
| 研究领域 | Cancer antibody; Gene Regulation antibody; Immune System antibody; Signaling Transduction antibody; AP-1 early response transcription factor study antibody |
| 预测分子量 | 36 kDa |
| 翻译后修饰 | Ubiquitinated by the SCF(FBXW7), leading to its degradation. Ubiquitination takes place following phosphorylation, that promotes interaction with FBXW7. Phosphorylated by CaMK4 and PRKDC; phosphorylation enhances the transcriptional activity. Phosphorylated by HIPK3. Phosphorylated by DYRK2 at Ser-243; this primes the protein for subsequent phosphorylation by GSK3B at Thr-239. Phosphorylated at Thr-239, Ser-243 and Ser-249 by GSK3B; phosphorylation reduces its ability to bind DNA. Phosphorylated by PAK2 at Thr-2, Thr-8, Thr-89, Thr-93 and Thr-286 thereby promoting JUN-mediated cell proliferation and transformation. Phosphorylated by PLK3 following hypoxia or UV irradiation, leading to increase DNA-binding activity. Acetylated at Lys-271 by EP300. |
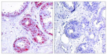
检测图片 (2) Click the Picture to Zoom In
-
ARG51529 anti-c-Jun phospho (Ser243) antibody WB image
Western blot: Extracts from sorbitol-treated 293, Serum-treated C2C12 and UV-treated HepG2 cells stained with ARG51529 anti-c-Jun phospho (Ser243) antibody.
-
ARG51529 anti-c-Jun phospho (Ser243) antibody IHC-P image
Immunohistochemistry: Paraffin-embedded Human breast carcinoma tissue stained with ARG51529 anti-c-Jun phospho (Ser243) antibody (left) or the same antibody preincubated with blocking peptide (right).
