ARG40717
anti-c-Fos antibody [RM374]
anti-c-Fos antibody [RM374] for IHC-Formalin-fixed paraffin-embedded sections,Western blot and Human
Cancer antibody; Gene Regulation antibody; Neuroscience antibody; AP-1 early response transcription factor study antibody
概述
| 产品描述 | Recombinant Rabbit Monoclonal antibody [RM374] recognizes c-Fos |
|---|---|
| 反应物种 | Hu |
| 预测物种 | Ms, Rat |
| 应用 | IHC-P, WB |
| 特异性 | This antibody reacts to Human Proto-oncogene c-Fos. It may also react to Mouse and Rat c-Fos, as predicted by immunogen homology. |
| 宿主 | Rabbit |
| 克隆 | Monoclonal |
| 克隆号 | RM374 |
| 同位型 | IgG |
| 靶点名称 | c-Fos |
| 抗原物种 | Human |
| 抗原 | Synthetic peptide around the N-terminus of Human c-Fos. |
| 偶联标记 | Un-conjugated |
| 別名 | Proto-oncogene c-Fos; C-FOS; AP-1; Cellular oncogene fos; p55; G0/G1 switch regulatory protein 7 |
应用说明
| 应用建议 |
|
||||||
|---|---|---|---|---|---|---|---|
| 应用说明 | * The dilutions indicate recommended starting dilutions and the optimal dilutions or concentrations should be determined by the scientist. | ||||||
| 阳性对照 | HeLa + TPA | ||||||
| 实际分子量 | ~ 55 kDa |
属性
| 形式 | Liquid |
|---|---|
| 纯化 | Purification with Protein A. |
| 缓冲液 | PBS, 0.09% Sodium azide, 50% Glycerol and 1% BSA. |
| 抗菌剂 | 0.09% Sodium azide |
| 稳定剂 | 50% Glycerol and 1% BSA |
| 存放说明 | For continuous use, store undiluted antibody at 2-8°C for up to a week. For long-term storage, aliquot and store at -20°C. Storage in frost free freezers is not recommended. Avoid repeated freeze/thaw cycles. Suggest spin the vial prior to opening. The antibody solution should be gently mixed before use. |
| 注意事项 | For laboratory research only, not for drug, diagnostic or other use. |
生物信息
| 数据库连接 | |
|---|---|
| 基因名称 | FOS |
| 全名 | FBJ murine osteosarcoma viral oncogene homolog |
| 背景介绍 | The Fos gene family consists of 4 members: FOS, FOSB, FOSL1, and FOSL2. These genes encode leucine zipper proteins that can dimerize with proteins of the JUN family, thereby forming the transcription factor complex AP-1. As such, the FOS proteins have been implicated as regulators of cell proliferation, differentiation, and transformation. In some cases, expression of the FOS gene has also been associated with apoptotic cell death. [provided by RefSeq, Jul 2008] |
| 生物功能 | Nuclear phosphoprotein which forms a tight but non-covalently linked complex with the JUN/AP-1 transcription factor. In the heterodimer, FOS and JUN/AP-1 basic regions each seems to interact with symmetrical DNA half sites. On TGF-beta activation, forms a multimeric SMAD3/SMAD4/JUN/FOS complex at the AP1/SMAD-binding site to regulate TGF-beta-mediated signaling. Has a critical function in regulating the development of cells destined to form and maintain the skeleton. It is thought to have an important role in signal transduction, cell proliferation and differentiation. In growing cells, activates phospholipid synthesis, possibly by activating CDS1 and PI4K2A. This activity requires Tyr-dephosphorylation and association with the endoplasmic reticulum. [UniProt] |
| 细胞定位 | Nucleus. Endoplasmic reticulum. Cytoplasm, cytosol. Note=In quiescent cells, present in very small amounts in the cytosol. Following induction of cell growth, first localizes to the endoplasmic reticulum and only later to the nucleus. Localization at the endoplasmic reticulum requires dephosphorylation at Tyr-10 and Tyr-30. [UniProt] |
| 研究领域 | Cancer antibody; Gene Regulation antibody; Neuroscience antibody; AP-1 early response transcription factor study antibody |
| 预测分子量 | 41 kDa |
| 翻译后修饰 | Phosphorylated in the C-terminal upon stimulation by nerve growth factor (NGF) and epidermal growth factor (EGF). Phosphorylated, in vitro, by MAPK and RSK1. Phosphorylation on both Ser-362 and Ser-374 by MAPK1/2 and RSK1/2 leads to protein stabilization with phosphorylation on Ser-374 being the major site for protein stabilization on NGF stimulation. Phosphorylation on Ser-362 and Ser-374 primes further phosphorylations on Thr-325 and Thr-331 through promoting docking of MAPK to the DEF domain. Phosphorylation on Thr-232, induced by HA-RAS, activates the transcriptional activity and antagonizes sumoylation. Phosphorylation on Ser-362 by RSK2 in osteoblasts contributes to osteoblast transformation (By similarity). Constitutively sumoylated with SUMO1, SUMO2 and SUMO3. Desumoylated by SENP2. Sumoylation requires heterodimerization with JUN and is enhanced by mitogen stimulation. Sumoylation inhibits the AP-1 transcriptional activity and is, itself, inhibited by Ras-activated phosphorylation on Thr-232. In quiescent cells, the small amount of FOS present is phosphorylated at Tyr-10 and Tyr-30 by SRC. This Tyr-phosphorylated form is cytosolic. In growing cells, dephosphorylated by PTPN2. Dephosphorylation leads to the association with endoplasmic reticulum membranes and activation of phospholipid synthesis. [UniProt] |
检测图片 (2) Click the Picture to Zoom In
-
ARG40717 anti-c-Fos antibody [RM374] WB image
Western blot: HeLa cells untreated (left) or treated with TPA (right). Cell lysates were stained with ARG40717 anti-c-Fos antibody [RM374] at 1:5000 dilution.
-
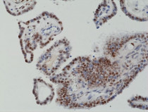
ARG40717 anti-c-Fos antibody [RM374] IHC-P image
Immunohistochemistry: Formalin-fixed and paraffin-embedded Human thyroid tissue stained with ARG40717 anti-c-Fos antibody [RM374] at a 1:1250 dilution.
