ARG59664
anti-alpha amylase antibody
anti-alpha amylase antibody for IHC-Formalin-fixed paraffin-embedded sections,Western blot and Human,Mouse,Rat
概述
| 产品描述 | Rabbit Polyclonal antibody recognizes alpha amylase. |
|---|---|
| 反应物种 | Hu, Ms, Rat |
| 预测物种 | Hm |
| 应用 | IHC-P, WB |
| 特异性 | Sequence blast result indicats this antibody might react to alpha amylase 1, alpha amylase 2B and pancreatic alpha amylase (AMY2A). |
| 宿主 | Rabbit |
| 克隆 | Polyclonal |
| 同位型 | IgG |
| 靶点名称 | alpha amylase |
| 抗原物种 | Human |
| 抗原 | Synthetic peptide corresponding to aa. 30-44 of Human alpha amylase. (HLFEWRWVDIALECE) |
| 偶联标记 | Un-conjugated |
| 別名 | 1,4-alpha-D-glucan glucanohydrolase 1; Salivary alpha-amylase; AMY1; EC 3.2.1.1; Alpha-amylase 1; PA; AMY2; HXA; AMY2; AMY3 |
应用说明
| 应用建议 |
|
||||||
|---|---|---|---|---|---|---|---|
| 应用说明 | IHC-P: Antigen Retrieval: Heat mediation was performed in Citrate buffer (pH 6.0) for 20 min. * The dilutions indicate recommended starting dilutions and the optimal dilutions or concentrations should be determined by the scientist. |
属性
| 形式 | Liquid |
|---|---|
| 纯化 | Affinity purification with immunogen. |
| 缓冲液 | 0.9% NaCl, 0.2% Na2HPO4, 0.05% Thimerosal, 0.05% Sodium azide and 5% BSA. |
| 抗菌剂 | 0.05% Thimerosal and 0.05% Sodium azide |
| 稳定剂 | 5% BSA |
| 浓度 | 0.5 mg/ml |
| 存放说明 | For continuous use, store undiluted antibody at 2-8°C for up to a week. For long-term storage, aliquot and store at -20°C or below. Storage in frost free freezers is not recommended. Avoid repeated freeze/thaw cycles. Suggest spin the vial prior to opening. The antibody solution should be gently mixed before use. |
| 注意事项 | For laboratory research only, not for drug, diagnostic or other use. |
生物信息
| 基因名称 | AMY1A; AMY2A; AMY2B |
|---|---|
| 全名 | amylase, alpha 1A (salivary); amylase, alpha 2A (pancreatic); amylase, alpha 2B (pancreatic) |
| 背景介绍 | Amylases are secreted proteins that hydrolyze 1,4-alpha-glucoside bonds in oligosaccharides and polysaccharides, and thus catalyze the first step in digestion of dietary starch and glycogen. The human genome has a cluster of several amylase genes that are expressed at high levels in either salivary gland or pancreas. This gene encodes an amylase isoenzyme produced by the salivary gland. Alternative splicing results in multiple transcript variants encoding the same protein. [provided by RefSeq, Jul 2008] |
| 细胞定位 | Secreted. [UniProt] |
| 预测分子量 | 58 kDa |
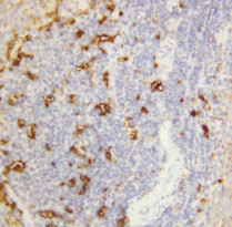
检测图片 (2) Click the Picture to Zoom In
-
ARG59664 anti-alpha amylase antibody IHC-P image
Immunohistochemistry: Paraffin-embedded Rat spleen tissue. Antigen Retrieval: Heat mediation was performed in Citrate buffer (pH 6.0, epitope retrieval solution) for 20 min. The tissue section was blocked with 10% goat serum. The tissue section was then stained with ARG59664 anti-alpha amylase antibody at 1 µg/ml, overnight at 4°C.
-
ARG59664 anti-alpha amylase antibody WB image
Western blot: 50 µg of samples under reducing conditions. PANC-1, Rat pancreas and Mouse pancreas lysates stained with ARG59664 anti-alpha amylase antibody at 0.5 µg/ml, overnight at 4°C.
