ARG65200
anti-alpha Defensin 1 antibody
anti-alpha Defensin 1 antibody for IHC-Formalin-fixed paraffin-embedded sections,Western blot and Human
Immune System antibody; Microbiology and Infectious Disease antibody
概述
| 产品描述 | Goat Polyclonal antibody recognizes alpha Defensin 1 |
|---|---|
| 反应物种 | Hu |
| 应用 | IHC-P, WB |
| 特异性 | This antibody is expected to equally recognize DEFA1 precursor and DEFA3 precursor. |
| 宿主 | Goat |
| 克隆 | Polyclonal |
| 同位型 | IgG |
| 靶点名称 | alpha Defensin 1 |
| 抗原物种 | Human |
| 抗原 | C-DESLAPKHPGSRKN |
| 偶联标记 | Un-conjugated |
| 別名 | DEF1; Neutrophil defensin 1; HNP-1; HNP-2; HP-2; HP1; Defensin, alpha 1; MRS; DEFA2; HP2; HP-1 |
应用说明
| 应用建议 |
|
||||||
|---|---|---|---|---|---|---|---|
| 应用说明 | IHC-P: Antigen Retrieval: Steam tissue section in Citrate buffer (pH 6.0). WB: Recommend incubate at RT for 1h. * The dilutions indicate recommended starting dilutions and the optimal dilutions or concentrations should be determined by the scientist. |
属性
| 形式 | Liquid |
|---|---|
| 纯化 | Purified from goat serum by antigen affinity chromatography. |
| 缓冲液 | Tris saline (pH 7.3), 0.02% Sodium azide and 0.5% BSA. |
| 抗菌剂 | 0.02% Sodium azide |
| 稳定剂 | 0.5% BSA |
| 浓度 | 0.5 mg/ml |
| 存放说明 | For continuous use, store undiluted antibody at 2-8°C for up to a week. For long-term storage, aliquot and store at -20°C or below. Storage in frost free freezers is not recommended. Avoid repeated freeze/thaw cycles. Suggest spin the vial prior to opening. The antibody solution should be gently mixed before use. |
| 注意事项 | For laboratory research only, not for drug, diagnostic or other use. |
生物信息
| 数据库连接 | |
|---|---|
| 基因名称 | DEFA1 |
| 全名 | defensin, alpha 1 |
| 背景介绍 | Defensins are a family of antimicrobial and cytotoxic peptides thought to be involved in host defense. They are abundant in the granules of neutrophils and also found in the epithelia of mucosal surfaces such as those of the intestine, respiratory tract, urinary tract, and vagina. Members of the defensin family are highly similar in protein sequence and distinguished by a conserved cysteine motif. The protein encoded by this gene, defensin, alpha 1, is found in the microbicidal granules of neutrophils and likely plays a role in phagocyte-mediated host defense. Several alpha defensin genes are clustered on chromosome 8. This gene differs from defensin, alpha 3 by only one amino acid. This gene and the gene encoding defensin, alpha 3 are both subject to copy number variation. [provided by RefSeq, Oct 2014] |
| 生物功能 | Defensin 1 and defensin 2 have antibacterial, fungicide and antiviral activities. Has antimicrobial activity against Gram-negative and Gram-positive bacteria. Defensins are thought to kill microbes by permeabilizing their plasma membrane. [UniProt] |
| 研究领域 | Immune System antibody; Microbiology and Infectious Disease antibody |
| 预测分子量 | 10 kDa |
| 翻译后修饰 | ADP-ribosylation drastically reduces cytotoxic and antibacterial activities, and enhances IL8 production. Phosphorylation at Tyr-85 has been found in some cancer cell lines, and interferes with ADP-ribosylation. |
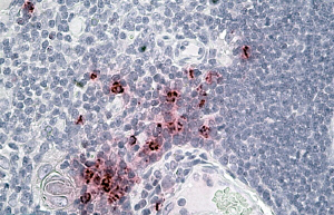
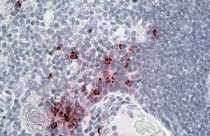
检测图片 (2) Click the Picture to Zoom In
-
ARG65200 anti-alpha Defensin 1 antibody WB image
Western blot: Human Spleen lysate (35 µg protein in RIPA buffer) stained with ARG65200 anti-alpha Defensin 1 antibody at 2 µg/ml dilution.
-
ARG65200 anti-alpha Defensin 1 antibody IHC-P image
Immunohistochemistry: Paraffin embedded Human Thymus. (Steamed antigen retrieval with citrate buffer pH 6) stained with ARG65200 anti-alpha Defensin 1 antibody at 3.8 µg/ml dilution followed by AP-staining.
