ARG56855
anti-alpha Actinin 4 antibody
anti-alpha Actinin 4 antibody for Flow cytometry,IHC-Formalin-fixed paraffin-embedded sections,Western blot and Human,Mouse
概述
| 产品描述 | Rabbit Polyclonal antibody recognizes alpha Actinin 4 |
|---|---|
| 反应物种 | Hu, Ms |
| 应用 | FACS, IHC-P, WB |
| 宿主 | Rabbit |
| 克隆 | Polyclonal |
| 同位型 | IgG |
| 靶点名称 | alpha Actinin 4 |
| 抗原物种 | Human |
| 抗原 | KLH-conjugated synthetic peptide corresponding to aa. 785-813 (C-terminus) of Human alpha Actinin 4. |
| 偶联标记 | Un-conjugated |
| 別名 | FSGS1; ACTININ-4; FSGS; Non-muscle alpha-actinin 4; Alpha-actinin-4 |
应用说明
| 应用建议 |
|
||||||||
|---|---|---|---|---|---|---|---|---|---|
| 应用说明 | * The dilutions indicate recommended starting dilutions and the optimal dilutions or concentrations should be determined by the scientist. | ||||||||
| 阳性对照 | A375 |
属性
| 形式 | Liquid |
|---|---|
| 纯化 | Purified by ammonium sulfate precipitation through ion exchange chromatography. |
| 缓冲液 | PBS and 0.09% (W/V) Sodium azide. |
| 抗菌剂 | 0.09% (W/V) Sodium azide. |
| 存放说明 | For continuous use, store undiluted antibody at 2-8°C for up to a week. For long-term storage, aliquot and store at -20°C or below. Storage in frost free freezers is not recommended. Avoid repeated freeze/thaw cycles. Suggest spin the vial prior to opening. The antibody solution should be gently mixed before use. |
| 注意事项 | For laboratory research only, not for drug, diagnostic or other use. |
生物信息
| 数据库连接 | |
|---|---|
| 基因名称 | ACTN4 |
| 全名 | actinin, alpha 4 |
| 背景介绍 | Alpha actinins belong to the spectrin gene superfamily which represents a diverse group of cytoskeletal proteins, including the alpha and beta spectrins and dystrophins. Alpha actinin is an actin-binding protein with multiple roles in different cell types. In nonmuscle cells, the cytoskeletal isoform is found along microfilament bundles and adherens-type junctions, where it is involved in binding actin to the membrane. In contrast, skeletal, cardiac, and smooth muscle isoforms are localized to the Z-disc and analogous dense bodies, where they help anchor the myofibrillar actin filaments. This gene encodes a nonmuscle, alpha actinin isoform which is concentrated in the cytoplasm, and thought to be involved in metastatic processes. Mutations in this gene have been associated with focal and segmental glomerulosclerosis. [provided by RefSeq, Jul 2008] |
| 生物功能 | F-actin cross-linking protein which is thought to anchor actin to a variety of intracellular structures. This is a bundling protein (Probable). Probably involved in vesicular trafficking via its association with the CART complex. The CART complex is necessary for efficient transferrin receptor recycling but not for EGFR degradation. Involved in tight junction assembly in epithelial cells probably through interaction with MICALL2. Links MICALL2 to the actin cytoskeleton and recruits it to the tight junctions (By similarity). May also function as a transcriptional coactivator, stimulating transcription mediated by the nuclear hormone receptors PPARG and RARA. [UniProt] |
| 细胞定位 | Nucleus. Cytoplasm. Cell junction {ECO:0000250|UniProtKB:P57780}. Note=Localized in cytoplasmic mRNP granules containing untranslated mRNAs Colocalizes with actin stress fibers. Nuclear translocation can be induced by the PI3 kinase inhibitor wortmannin or by cytochalasin D. Exclusively localized in the nucleus in a limited number of cell lines (breast cancer cell line MCF-7, oral floor cancer IMC- 2, and bladder cancer KU-7). |
| 预测分子量 | 105 kDa |
检测图片 (3) Click the Picture to Zoom In
-
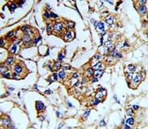
ARG56855 anti-alpha Actinin 4 antibody IHC-P image
Immunohistochemistry: Formalin-fixed and paraffin-embedded Human breast carcinoma tissue stained with ARG56855 anti-alpha Actinin 4 antibody.
-
ARG56855 anti-alpha Actinin 4 antibody WB image
Western blot: 35 µg of A375 cell lysate stained with ARG56855 anti-alpha Actinin 4 antibody.
-
ARG56855 anti-alpha Actinin 4 antibody FACS image
Flow Cytometry: MDA-MB-231 cells stained with ARG56855 anti-alpha Actinin 4 antibody (bottom histogram) or without primary antibody control (top histogram), followed by incubation with FITC labelled secondary antibody.
