ARG55136
anti-alpha Actinin 3 antibody
anti-alpha Actinin 3 antibody for IHC-Formalin-fixed paraffin-embedded sections,Western blot and Human
Signaling Transduction antibody
概述
| 产品描述 | Rabbit Polyclonal antibody recognizes alpha Actinin 3 |
|---|---|
| 反应物种 | Hu |
| 应用 | IHC-P, WB |
| 宿主 | Rabbit |
| 克隆 | Polyclonal |
| 同位型 | IgG |
| 靶点名称 | alpha Actinin 3 |
| 抗原物种 | Human |
| 抗原 | KLH-conjugated synthetic peptide corresponding to aa. 409-437 (Center) of Human alpha Actinin 3. |
| 偶联标记 | Un-conjugated |
| 別名 | Alpha-actinin skeletal muscle isoform 3; F-actin cross-linking protein; Alpha-actinin-3 |
应用说明
| 应用建议 |
|
||||||
|---|---|---|---|---|---|---|---|
| 应用说明 | * The dilutions indicate recommended starting dilutions and the optimal dilutions or concentrations should be determined by the scientist. | ||||||
| 阳性对照 | MDA-MB-231 |
属性
| 形式 | Liquid |
|---|---|
| 纯化 | Purification with Protein A and immunogen peptide. |
| 缓冲液 | PBS and 0.09% (W/V) Sodium azide |
| 抗菌剂 | 0.09% (W/V) Sodium azide |
| 存放说明 | For continuous use, store undiluted antibody at 2-8°C for up to a week. For long-term storage, aliquot and store at -20°C or below. Storage in frost free freezers is not recommended. Avoid repeated freeze/thaw cycles. Suggest spin the vial prior to opening. The antibody solution should be gently mixed before use. |
| 注意事项 | For laboratory research only, not for drug, diagnostic or other use. |
生物信息
| 数据库连接 | |
|---|---|
| 基因名称 | ACTN3 |
| 全名 | actinin, alpha 3 (gene/pseudogene) |
| 背景介绍 | This gene encodes a member of the alpha-actin binding protein gene family. The encoded protein is primarily expressed in skeletal muscle and functions as a structural component of sarcomeric Z line. This protein is involved in crosslinking actin containing thin filaments. An allelic polymorphism in this gene results in both coding and non-coding variants; the reference genome represents the coding allele. The non-functional allele of this gene is associated with elite athlete status. [provided by RefSeq, Feb 2014] |
| 生物功能 | F-actin cross-linking protein which is thought to anchor actin to a variety of intracellular structures. This is a bundling protein. [UniProt] |
| 研究领域 | Signaling Transduction antibody |
| 预测分子量 | 103 kDa |
检测图片 (2) Click the Picture to Zoom In
-
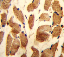
ARG55136 anti-alpha Actinin 3 antibody IHC-P image
Immunohistochemistry: Formalin-fixed and paraffin-embedded Human skeletal muscle stained with ARG55136 anti-alpha Actinin 3 antibody.
-
ARG55136 anti-alpha Actinin 3 antibody WB image
Western blot: 35 µg of MDA-MB-231 cell lysate stained with ARG55136 anti-alpha Actinin 3 antibody.
