ARG40278
anti-alpha Actinin 3 antibody
anti-alpha Actinin 3 antibody for Flow cytometry,IHC-Formalin-fixed paraffin-embedded sections,Western blot and Human,Mouse,Rat
概述
| 产品描述 | Rabbit Polyclonal antibody recognizes alpha Actinin 3 |
|---|---|
| 反应物种 | Hu, Ms, Rat |
| 应用 | FACS, IHC-P, WB |
| 宿主 | Rabbit |
| 克隆 | Polyclonal |
| 同位型 | IgG |
| 靶点名称 | alpha Actinin 3 |
| 抗原物种 | Human |
| 抗原 | Synthetic peptide corresponding to aa. 574-617 of Human alpha Actinin 3. (EADRERGAIMGIQGEIQKICQTYGLRPCSTNPYITLSPQDINTK) |
| 偶联标记 | Un-conjugated |
| 別名 | Alpha-actinin skeletal muscle isoform 3; F-actin cross-linking protein; Alpha-actinin-3 |
应用说明
| 应用建议 |
|
||||||||
|---|---|---|---|---|---|---|---|---|---|
| 应用说明 | IHC-P: Antigen Retrieval: Heat mediation was performed in Citrate buffer (pH 6.0) for 20 min. * The dilutions indicate recommended starting dilutions and the optimal dilutions or concentrations should be determined by the scientist. |
||||||||
| 实际分子量 | 103 kDa |
属性
| 形式 | Liquid |
|---|---|
| 纯化 | Affinity purification with immunogen. |
| 缓冲液 | 0.2% Na2HPO4, 0.9% NaCl, 0.05% Sodium azide and 5% BSA. |
| 抗菌剂 | 0.05% Sodium azide |
| 稳定剂 | 5% BSA |
| 浓度 | 0.5 mg/ml |
| 存放说明 | For continuous use, store undiluted antibody at 2-8°C for up to a week. For long-term storage, aliquot and store at -20°C or below. Storage in frost free freezers is not recommended. Avoid repeated freeze/thaw cycles. Suggest spin the vial prior to opening. The antibody solution should be gently mixed before use. |
| 注意事项 | For laboratory research only, not for drug, diagnostic or other use. |
生物信息
| 数据库连接 | |
|---|---|
| 基因名称 | ACTN3 |
| 全名 | actinin, alpha 3 (gene/pseudogene) |
| 背景介绍 | This gene encodes a member of the alpha-actin binding protein gene family. The encoded protein is primarily expressed in skeletal muscle and functions as a structural component of sarcomeric Z line. This protein is involved in crosslinking actin containing thin filaments. An allelic polymorphism in this gene results in both coding and non-coding variants; the reference genome represents the coding allele. The non-functional allele of this gene is associated with elite athlete status. [provided by RefSeq, Feb 2014] |
| 生物功能 | F-actin cross-linking protein which is thought to anchor actin to a variety of intracellular structures. This is a bundling protein. [UniProt] |
| 预测分子量 | 103 kDa |
检测图片 (5) Click the Picture to Zoom In
-
ARG40278 anti-alpha Actinin 3 antibody FACS image
Flow Cytometry: WISH cells were blocked with 10% normal goat serum and then stained with ARG40278 anti-alpha Actinin 3 antibody (blue) at 1 µg/10^6 cells for 30 min at 20°C, followed by incubation with DyLight® 488 labelled secondary antibody. Isotype control antibody (green) was Rabbit IgG (1 µg/10^6 cells) used under the same conditions. Unlabelled sample (red) was also used as a control.
-
ARG40278 anti-alpha Actinin 3 antibody IHC-P image
Immunohistochemistry: Paraffin-embedded Mouse skeletal muscle tissue. Antigen Retrieval: Heat mediation was performed in Citrate buffer (pH 6.0, epitope retrieval solution) for 20 min. The tissue section was blocked with 10% goat serum. The tissue section was then stained with ARG40278 anti-alpha Actinin 3 antibody at 1 µg/ml, overnight at 4°C.
-
ARG40278 anti-alpha Actinin 3 antibody WB image
Western blot: 50 µg of samples under reducing conditions. Rat skeletal muscle, Mouse skeletal muscle and HT1080 whole cell lysates stained with ARG40278 anti-alpha Actinin 3 antibody at 0.5 µg/ml, overnight at 4°C.
-
ARG40278 anti-alpha Actinin 3 antibody IHC-P image
Immunohistochemistry: Paraffin-embedded Rat skeletal muscle tissue. Antigen Retrieval: Heat mediation was performed in Citrate buffer (pH 6.0, epitope retrieval solution) for 20 min. The tissue section was blocked with 10% goat serum. The tissue section was then stained with ARG40278 anti-alpha Actinin 3 antibody at 1 µg/ml, overnight at 4°C.
-
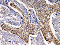
ARG40278 anti-alpha Actinin 3 antibody IHC-P image
Immunohistochemistry: Paraffin-embedded Human lung cancer tissue. Antigen Retrieval: Heat mediation was performed in Citrate buffer (pH 6.0, epitope retrieval solution) for 20 min. The tissue section was blocked with 10% goat serum. The tissue section was then stained with ARG40278 anti-alpha Actinin 3 antibody at 1 µg/ml, overnight at 4°C.
