ARG59342
anti-alpha A Crystallin antibody
anti-alpha A Crystallin antibody for Flow cytometry,IHC-Formalin-fixed paraffin-embedded sections,Western blot and Human,Mouse,Rat
概述
| 产品描述 | Rabbit Polyclonal antibody recognizes alpha A Crystallin |
|---|---|
| 反应物种 | Hu, Ms, Rat |
| 应用 | FACS, IHC-P, WB |
| 宿主 | Rabbit |
| 克隆 | Polyclonal |
| 同位型 | IgG |
| 靶点名称 | alpha A Crystallin |
| 抗原物种 | Human |
| 抗原 | Recombinant protein corresponding to M1-S173 of Human alpha A Crystallin. |
| 偶联标记 | Un-conjugated |
| 別名 | CRYA1; HSPB4; CTRCT9 |
应用说明
| 应用建议 |
|
||||||||
|---|---|---|---|---|---|---|---|---|---|
| 应用说明 | IHC-P: Antigen Retrieval: By heat mediation. * The dilutions indicate recommended starting dilutions and the optimal dilutions or concentrations should be determined by the scientist. |
属性
| 形式 | Liquid |
|---|---|
| 纯化 | Affinity purification with immunogen. |
| 缓冲液 | 0.9% NaCl, 0.2% Na2HPO4, 0.05% Sodium azide and 5% BSA. |
| 抗菌剂 | 0.05% Sodium azide |
| 稳定剂 | 5% BSA |
| 浓度 | 0.5 mg/ml |
| 存放说明 | For continuous use, store undiluted antibody at 2-8°C for up to a week. For long-term storage, aliquot and store at -20°C or below. Storage in frost free freezers is not recommended. Avoid repeated freeze/thaw cycles. Suggest spin the vial prior to opening. The antibody solution should be gently mixed before use. |
| 注意事项 | For laboratory research only, not for drug, diagnostic or other use. |
生物信息
| 数据库连接 | |
|---|---|
| 基因名称 | CRYAA |
| 全名 | crystallin alpha A |
| 背景介绍 | Mammalian lens crystallins are divided into alpha, beta, and gamma families. Alpha crystallins are composed of two gene products: alpha-A and alpha-B, for acidic and basic, respectively. Alpha crystallins can be induced by heat shock and are members of the small heat shock protein (HSP20) family. They act as molecular chaperones although they do not renature proteins and release them in the fashion of a true chaperone; instead they hold them in large soluble aggregates. Post-translational modifications decrease the ability to chaperone. These heterogeneous aggregates consist of 30-40 subunits; the alpha-A and alpha-B subunits have a 3:1 ratio, respectively. Two additional functions of alpha crystallins are an autokinase activity and participation in the intracellular architecture. The encoded protein has been identified as a moonlighting protein based on its ability to perform mechanistically distinct functions. Alpha-A and alpha-B gene products are differentially expressed; alpha-A is preferentially restricted to the lens and alpha-B is expressed widely in many tissues and organs. Defects in this gene cause autosomal dominant congenital cataract (ADCC). [provided by RefSeq, Jan 2014] |
| 生物功能 | Contributes to the transparency and refractive index of the lens. Has chaperone-like activity, preventing aggregation of various proteins under a wide range of stress conditions. [UniProt] |
| 细胞定位 | Cytoplasm. Nucleus. Note=Translocates to the nucleus during heat shock and resides in sub-nuclear structures known as SC35 speckles or nuclear splicing speckles. [UniProt] |
| 预测分子量 | 20 kDa |
检测图片 (4) Click the Picture to Zoom In
-
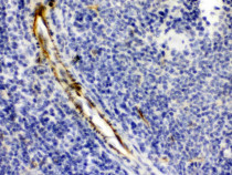
ARG59342 anti-alpha A Crystallin antibody IHC-P image
Immunohistochemistry: Paraffin-embedded Mouse spleen stained with ARG59342 anti-alpha A Crystallin antibody at 1 µg/ml dilution.
-
ARG59342 anti-alpha A Crystallin antibody WB image
Western blot: Rat spleen, Mouse eye ball and SMMC-7721 whole cell lysates stained with ARG59342 anti-alpha A Crystallin antibody at 0.5 µg/ml dilution.
-
ARG59342 anti-alpha A Crystallin antibody FACS image
Flow Cytometry: HepG2 cells were blocked with 10% normal goat serum and then stained with ARG59342 anti-alpha A Crystallin antibody (blue) at 1 µg/10^6 cells for 30 min at 20°C, followed by incubation with DyLight®488 labelled secondary antibody. Isotype control antibody (green) was rabbit IgG (1 µg/10^6 cells) used under the same conditions. Unlabelled sample (red) was also used as a control.
-
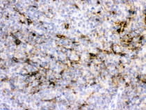
ARG59342 anti-alpha A Crystallin antibody IHC-P image
Immunohistochemistry: Paraffin-embedded Rat spleen stained with ARG59342 anti-alpha A Crystallin antibody at 1 µg/ml dilution.
