ARG55148
anti-alpha 1D Adrenergic Receptor antibody
anti-alpha 1D Adrenergic Receptor antibody for Flow cytometry,IHC-Formalin-fixed paraffin-embedded sections,Western blot and Human,Rat
Cell Biology and Cellular Response antibody; Signaling Transduction antibody
概述
| 产品描述 | Rabbit Polyclonal antibody recognizes alpha 1D Adrenergic Receptor |
|---|---|
| 反应物种 | Hu, Rat |
| 预测物种 | Ms, Bov, Dog, Rb, Sheep |
| 应用 | FACS, IHC-P, WB |
| 宿主 | Rabbit |
| 克隆 | Polyclonal |
| 同位型 | IgG |
| 靶点名称 | alpha 1D Adrenergic Receptor |
| 抗原物种 | Human |
| 抗原 | KLH-conjugated synthetic peptide corresponding to aa. 1-30 (N-terminus) of Human alpha 1D Adrenergic Receptor. |
| 偶联标记 | Un-conjugated |
| 別名 | ADRA1A; Alpha-1D adrenoreceptor; ALPHA1; ADRA1; Alpha-1D adrenoceptor; Alpha-1D adrenergic receptor; Alpha-1A adrenergic receptor; ADRA1R; DAR; dJ779E11.2; Alpha-adrenergic receptor 1a |
应用说明
| 应用建议 |
|
||||||||
|---|---|---|---|---|---|---|---|---|---|
| 应用说明 | * The dilutions indicate recommended starting dilutions and the optimal dilutions or concentrations should be determined by the scientist. | ||||||||
| 阳性对照 | A549 |
属性
| 形式 | Liquid |
|---|---|
| 纯化 | Purification with Protein A and immunogen peptide. |
| 缓冲液 | PBS and 0.09% (W/V) Sodium azide |
| 抗菌剂 | 0.09% (W/V) Sodium azide |
| 存放说明 | For continuous use, store undiluted antibody at 2-8°C for up to a week. For long-term storage, aliquot and store at -20°C or below. Storage in frost free freezers is not recommended. Avoid repeated freeze/thaw cycles. Suggest spin the vial prior to opening. The antibody solution should be gently mixed before use. |
| 注意事项 | For laboratory research only, not for drug, diagnostic or other use. |
生物信息
| 数据库连接 | |
|---|---|
| 基因名称 | ADRA1D |
| 全名 | adrenoceptor alpha 1D |
| 背景介绍 | Alpha-1-adrenergic receptors (alpha-1-ARs) are members of the G protein-coupled receptor superfamily. They activate mitogenic responses and regulate growth and proliferation of many cells. There are 3 alpha-1-AR subtypes: alpha-1A, -1B and -1D, all of which signal through the Gq/11 family of G-proteins and different subtypes show different patterns of activation. This gene encodes alpha-1D-adrenergic receptor. Similar to alpha-1B-adrenergic receptor gene, this gene comprises 2 exons and a single intron that interrupts the coding region. [provided by RefSeq, Jul 2008] |
| 生物功能 | This alpha-adrenergic receptor mediates its effect through the influx of extracellular calcium. [UniProt] |
| 细胞定位 | Cell membrane; Multi-pass membrane protein. |
| 研究领域 | Cell Biology and Cellular Response antibody; Signaling Transduction antibody |
| 预测分子量 | 60 kDa |
检测图片 (3) Click the Picture to Zoom In
-
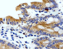
ARG55148 anti-alpha 1D Adrenergic Receptor antibody IHC-P image
Immunohistochemistry: Paraffin-embedded Human small intestine tissue stained with ARG55148 anti-alpha 1D Adrenergic Receptor antibody at 1:100 dilution.
-
ARG55148 anti-alpha 1D Adrenergic Receptor antibody WB image
Western blot: 35 µg of A549 cell lysate stained with ARG55148 anti-alpha 1D Adrenergic Receptor antibody at 1:1000 dilution.
-
ARG55148 anti-alpha 1D Adrenergic Receptor antibody FACS image
Flow Cytometry: MCF7 cells stained with ARG55148 anti-alpha 1D Adrenergic Receptor antibody (right histogram) at 1:25 dilution or isotype control antibody (left histogram), followed by incubation with Alexa Fluor® 488 labelled secondary antibody.
