ARG59325
anti-ZWINT antibody
anti-ZWINT antibody for IHC-Formalin-fixed paraffin-embedded sections,Western blot and Mouse,Rat
概述
| 产品描述 | Rabbit Polyclonal antibody recognizes ZWINT |
|---|---|
| 反应物种 | Ms, Rat |
| 预测物种 | Hu |
| 应用 | IHC-P, WB |
| 宿主 | Rabbit |
| 克隆 | Polyclonal |
| 同位型 | IgG |
| 靶点名称 | ZWINT |
| 抗原物种 | Human |
| 抗原 | Recombinant protein corresponding to Q29-Q249 of Human ZWINT. |
| 偶联标记 | Un-conjugated |
| 別名 | ZW10 interactor; KNTC2AP; SIP30; Zwint-1; ZW10-interacting protein 1; ZWINT1; HZwint-1 |
应用说明
| 应用建议 |
|
||||||
|---|---|---|---|---|---|---|---|
| 应用说明 | IHC-P: Antigen Retrieval: By heat mediation. * The dilutions indicate recommended starting dilutions and the optimal dilutions or concentrations should be determined by the scientist. |
属性
| 形式 | Liquid |
|---|---|
| 纯化 | Affinity purification with immunogen. |
| 缓冲液 | 0.9% NaCl, 0.2% Na2HPO4, 0.05% Sodium azide and 5% BSA. |
| 抗菌剂 | 0.05% Sodium azide |
| 稳定剂 | 5% BSA |
| 浓度 | 0.5 mg/ml |
| 存放说明 | For continuous use, store undiluted antibody at 2-8°C for up to a week. For long-term storage, aliquot and store at -20°C or below. Storage in frost free freezers is not recommended. Avoid repeated freeze/thaw cycles. Suggest spin the vial prior to opening. The antibody solution should be gently mixed before use. |
| 注意事项 | For laboratory research only, not for drug, diagnostic or other use. |
生物信息
| 数据库连接 | |
|---|---|
| 基因名称 | ZWINT |
| 全名 | ZW10 interacting kinetochore protein |
| 背景介绍 | This gene encodes a protein that is clearly involved in kinetochore function although an exact role is not known. It interacts with ZW10, another kinetochore protein, possibly regulating the association between ZW10 and kinetochores. The encoded protein localizes to prophase kinetochores before ZW10 does and it remains detectable on the kinetochore until late anaphase. It has a uniform distribution in the cytoplasm of interphase cells. Alternatively spliced transcript variants encoding different isoforms have been found for this gene. [provided by RefSeq, Jul 2008] |
| 生物功能 | Part of the MIS12 complex, which is required for kinetochore formation and spindle checkpoint activity. Required to target ZW10 to the kinetochore at prometaphase. [UniProt] |
| 细胞定位 | Nucleus. Chromosome, centromere, kinetochore. Note=Localizes to kinetochores from late prophase to anaphase. [UniProt] |
| 预测分子量 | 31 kDa |
检测图片 (3) Click the Picture to Zoom In
-
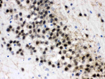
ARG59325 anti-ZWINT antibody IHC-P image
Immunohistochemistry: Paraffin-embedded Mouse brain stained with ARG59325 anti-ZWINT antibody at 1 µg/ml dilution.
-
ARG59325 anti-ZWINT antibody WB image
Western blot: Rat skeletal muscle stained with ARG59325 anti-ZWINT antibody at 0.5 µg/ml dilution.
-
ARG59325 anti-ZWINT antibody IHC-P image
Immunohistochemistry: Paraffin-embedded Rat brain stained with ARG59325 anti-ZWINT antibody at 1 µg/ml dilution.
