ARG45451
anti-ZO2 antibody
anti-ZO2 antibody for Flow cytometry,ICC/IF,IHC-Frozen sections,IHC-Formalin-fixed paraffin-embedded sections,Western blot and Human,Mouse,Rat
概述
| 产品描述 | Rabbit Polyclonal antibody recognizes ZO2 |
|---|---|
| 反应物种 | Hu, Ms, Rat |
| 应用 | FACS, ICC/IF, IHC-Fr, IHC-P, WB |
| 宿主 | Rabbit |
| 克隆 | Polyclonal |
| 同位型 | IgG |
| 靶点名称 | ZO2 |
| 抗原物种 | Human |
| 抗原 | Synthetic peptide corresponding to C-terminal region of human ZO2. |
| 偶联标记 | Un-conjugated |
| 別名 | TJP2; X104; DFNA51; Tight junction protein ZO-2; C9DUPq21.11; Zonula occludens protein 2; ZO2; Zona occludens protein 2; PFIC4; DUP9q21.11; Tight junction protein 2 |
应用说明
| 应用建议 |
|
||||||||||||
|---|---|---|---|---|---|---|---|---|---|---|---|---|---|
| 应用说明 | * The dilutions indicate recommended starting dilutions and the optimal dilutions or concentrations should be determined by the scientist. | ||||||||||||
| 实际分子量 | 60 kDa |
属性
| 形式 | Liquid |
|---|---|
| 纯化 | Affinity purified |
| 缓冲液 | 0.9% NaCl, 0.2% Na2HPO4, 0.01% Sodium azide and 4% Trehalose. |
| 抗菌剂 | 0.01% Sodium azide |
| 稳定剂 | 4% Trehalose |
| 浓度 | 0.5 mg/ml |
| 存放说明 | For continuous use, store undiluted antibody at 2-8°C for up to a week. For long-term storage, aliquot and store at -20°C or below. Storage in frost free freezers is not recommended. Avoid repeated freeze/thaw cycles. Suggest spin the vial prior to opening. The antibody solution should be gently mixed before use. |
| 注意事项 | For laboratory research only, not for drug, diagnostic or other use. |
生物信息
| 基因名称 | TJP2 |
|---|---|
| 全名 | tight junction protein 2 |
| 背景介绍 | This gene encodes a zonula occluden that is a member of the membrane-associated guanylate kinase homolog family. The encoded protein functions as a component of the tight junction barrier in epithelial and endothelial cells and is necessary for proper assembly of tight junctions. Mutations in this gene have been identified in patients with hypercholanemia, and genomic duplication of a 270 kb region including this gene causes autosomal dominant deafness-51. Alternatively spliced transcripts encoding multiple isoforms have been observed for this gene. [provided by RefSeq, Nov 2011] |
| 生物功能 | Plays a role in tight junctions and adherens junctions. [UniProt] |
| 细胞定位 | Cell junction; Cell membrane; Membrane; Nucleus; Tight junction. [UniProt] |
| 预测分子量 | 134 kDa |
| 翻译后修饰 | Phosphoprotein. [UniProt] |
检测图片 (6) Click the Picture to Zoom In
-
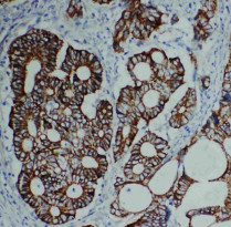
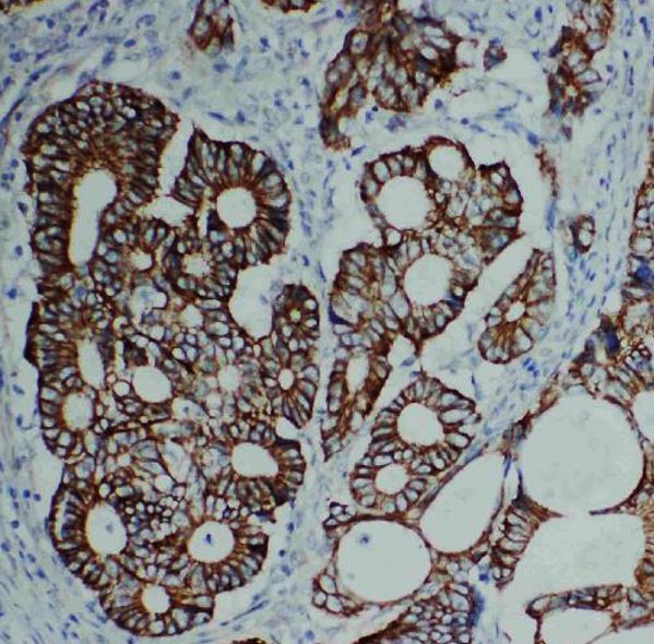
ARG45451 anti-ZO2 antibody IHC-P image
Immunohistochemistry: Human intestinal cancer stained with ARG45451 anti-ZO2 antibody at 1 μg/ml dilution.
-
ARG45451 anti-ZO2 antibody ICC/IF image
Immunofluorescence: A431 stained with ARG45451 anti-ZO2 antibody at 5 μg/ml dilution.
-
ARG45451 anti-ZO2 antibody WB image
Western blot: RT4 and A431 stained with ARG45451 anti-ZO2 antibody at 0.5 μg/ml dilution.
-
ARG45451 anti-ZO2 antibody FACS image
Flow Cytometry: MCF-7 stained with ARG45451 anti-ZO2 antibody at 1 µg/10^6 cells dilution.
-
ARG45451 anti-ZO2 antibody WB image
Western blot: RH35 stained with ARG45451 anti-ZO2 antibody at 0.5 μg/ml dilution.
-
ARG45451 anti-ZO2 antibody WB image
Western blot: Mouse liver stained with ARG45451 anti-ZO2 antibody at 0.5 μg/ml dilution.
