ARG66718
anti-ZNF608 antibody
anti-ZNF608 antibody for IHC-Formalin-fixed paraffin-embedded sections,Western blot and Human
概述
| 产品描述 | Rabbit Polyclonal antibody recognizes ZNF608 |
|---|---|
| 反应物种 | Hu |
| 应用 | IHC-P, WB |
| 宿主 | Rabbit |
| 克隆 | Polyclonal |
| 同位型 | IgG |
| 靶点名称 | ZNF608 |
| 抗原物种 | Human |
| 抗原 | Synthetic peptide corresponding to aa. 1231-1280 of Human ZNF608. |
| 偶联标记 | Un-conjugated |
| 別名 | Renal carcinoma antigen NY-REN-36; NY-REN-36; Zinc finger protein 608 |
应用说明
| 应用建议 |
|
||||||
|---|---|---|---|---|---|---|---|
| 应用说明 | * The dilutions indicate recommended starting dilutions and the optimal dilutions or concentrations should be determined by the scientist. | ||||||
| 阳性对照 | HeLa | ||||||
| 实际分子量 | ~ 160 kDa |
属性
| 形式 | Liquid |
|---|---|
| 纯化 | Affinity purification with immunogen. |
| 缓冲液 | PBS, 0.02% Sodium azide, 50% Glycerol and 0.5% BSA. |
| 抗菌剂 | 0.02% Sodium azide |
| 稳定剂 | 50% Glycerol and 0.5% BSA |
| 浓度 | 1 mg/ml |
| 存放说明 | For continuous use, store undiluted antibody at 2-8°C for up to a week. For long-term storage, aliquot and store at -20°C. Storage in frost free freezers is not recommended. Avoid repeated freeze/thaw cycles. Suggest spin the vial prior to opening. The antibody solution should be gently mixed before use. |
| 注意事项 | For laboratory research only, not for drug, diagnostic or other use. |
生物信息
| 数据库连接 | |
|---|---|
| 基因名称 | ZNF608 |
| 全名 | zinc finger protein 608 |
| 生物功能 | Transcription factor, which represses ZNF609 transcription. [UniProt] |
| 预测分子量 | 162 kDa |
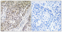
检测图片 (2) Click the Picture to Zoom In
-
ARG66718 anti-ZNF608 antibody IHC-P image
Immunohistochemistry: Paraffin-embedded Human lung carcinoma tissue stained with ARG66718 anti-ZNF608 antibody. The picture on the right is blocked with the synthetic peptide.
-
ARG66718 anti-ZNF608 antibody WB image
Western blot: HeLa cell lysate stained with ARG66718 anti-ZNF608 antibody at 1:500 dilution.
