ARG41259
anti-ZNF264 antibody
anti-ZNF264 antibody for IHC-Formalin-fixed paraffin-embedded sections,Western blot and Human
概述
| 产品描述 | Rabbit Polyclonal antibody recognizes ZNF264 |
|---|---|
| 反应物种 | Hu |
| 预测物种 | Cow, Rat, Dog, Hrs, Rb |
| 应用 | IHC-P, WB |
| 宿主 | Rabbit |
| 克隆 | Polyclonal |
| 同位型 | IgG |
| 靶点名称 | ZNF264 |
| 抗原物种 | Human |
| 抗原 | Synthetic peptide around the C-terminal region of Human ZNF264. (within the following region: SGQTSVTLRELLLGKDFLNVTTEANILPEETSSSASDQPYQRETPQVSSL) |
| 偶联标记 | Un-conjugated |
| 別名 | Zinc finger protein 264 |
应用说明
| 预测反应性说明 | Predicted Homology Based On Immunogen Sequence: Cow: 86%; Dog: 79%; Horse: 86%; Rabbit: 79%; Rat: 79% | ||||||
|---|---|---|---|---|---|---|---|
| 应用建议 |
|
||||||
| 应用说明 | * The dilutions indicate recommended starting dilutions and the optimal dilutions or concentrations should be determined by the scientist. | ||||||
| 阳性对照 | Jurkat | ||||||
| 实际分子量 | 70 kDa |
属性
| 形式 | Liquid |
|---|---|
| 纯化 | Affinity purified. |
| 缓冲液 | PBS, 0.09% (w/v) Sodium azide and 2% Sucrose. |
| 抗菌剂 | 0.09% (w/v) Sodium azide |
| 稳定剂 | 2% Sucrose |
| 浓度 | Batch dependent: 0.5 - 1 mg/ml |
| 存放说明 | For continuous use, store undiluted antibody at 2-8°C for up to a week. For long-term storage, aliquot and store at -20°C or below. Storage in frost free freezers is not recommended. Avoid repeated freeze/thaw cycles. Suggest spin the vial prior to opening. The antibody solution should be gently mixed before use. |
| 注意事项 | For laboratory research only, not for drug, diagnostic or other use. |
生物信息
| 数据库连接 | |
|---|---|
| 基因名称 | ZNF264 |
| 全名 | zinc finger protein 264 |
| 背景介绍 | This gene encodes a zinc finger protein and belongs to the krueppel C2H2-type zinc-finger protein family. Zinc finger proteins are often localized in the nucleus, bind nucleic acids, and regulate transcription. [provided by RefSeq, Jan 2010] |
| 生物功能 | May be involved in transcriptional regulation. [UniProt] |
| 细胞定位 | Nucleus. [UniProt] |
| 预测分子量 | 71 kDa |
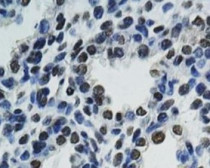
检测图片 (2) Click the Picture to Zoom In
-
ARG41259 anti-ZNF264 antibody IHC-P image
Immunohistochemistry: Paraffin-embedded Human lung tissue stained with ARG41259 anti-ZNF264 antibody at 4 - 8 µg/ml dilution.
-
ARG41259 anti-ZNF264 antibody WB image
Western blot: Jurkat cell lysate stained with ARG41259 anti-ZNF264 antibody at 0.2 - 1 µg/ml dilution.
