ARG65803
anti-ZFYVE19 / ANCHR antibody
anti-ZFYVE19 / ANCHR antibody for IHC-Formalin-fixed paraffin-embedded sections,Western blot and Human
概述
| 产品描述 | Rabbit Polyclonal antibody recognizes ZFYVE19 / ANCHR |
|---|---|
| 反应物种 | Hu |
| 应用 | IHC-P, WB |
| 宿主 | Rabbit |
| 克隆 | Polyclonal |
| 同位型 | IgG |
| 靶点名称 | ZFYVE19 / ANCHR |
| 抗原物种 | Human |
| 抗原 | KLH-conjugated synthetic peptide around the center region of Human ZFYVE19 / ANCHR. |
| 偶联标记 | Un-conjugated |
| 別名 | MPFYVE; Zinc finger FYVE domain-containing protein 19; ANCHR; Abscission/NoCut checkpoint regulator; MLL partner containing FYVE domain |
应用说明
| 应用建议 |
|
||||||
|---|---|---|---|---|---|---|---|
| 应用说明 | * The dilutions indicate recommended starting dilutions and the optimal dilutions or concentrations should be determined by the scientist. |
属性
| 形式 | Liquid |
|---|---|
| 纯化 | Affinity purification with immunogen. |
| 缓冲液 | PBS (pH 7.3), 0.02% Sodium azide and 0.2% BSA. |
| 抗菌剂 | 0.02% Sodium azide |
| 稳定剂 | 0.2% BSA |
| 存放说明 | For continuous use, store undiluted antibody at 2-8°C for up to a week. For long-term storage, aliquot and store at -20°C or below. Storage in frost free freezers is not recommended. Avoid repeated freeze/thaw cycles. Suggest spin the vial prior to opening. The antibody solution should be gently mixed before use. |
| 注意事项 | For laboratory research only, not for drug, diagnostic or other use. |
生物信息
| 数据库连接 |
Swiss-port # Q96K21 Human Abscission/NoCut checkpoint regulator |
|---|---|
| 基因名称 | ZFYVE19 |
| 全名 | zinc finger, FYVE domain containing 19 |
| 生物功能 | Key regulator of abscission step in cytokinesis: part of the cytokinesis checkpoint, a process required to delay abscission to prevent both premature resolution of intercellular chromosome bridges and accumulation of DNA damage. Together with CHMP4C, required to retain abscission-competent VPS4 (VPS4A and/or VPS4B) at the midbody ring until abscission checkpoint signaling is terminated at late cytokinesis. Deactivation of AURKB results in dephosphorylation of CHMP4C followed by its dissociation from ZFYVE19/ANCHR and VPS4 and subsequent abscission. [UniProt] |
| 预测分子量 | 52 kDa |
检测图片 (2) Click the Picture to Zoom In
-
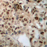
ARG65803 anti-ZFYVE19 / ANCHR antibody IHC-P image
Immunohistochemistry: Formalin-fixed and paraffin-embedded Human breast cancer tissue section. Antigen retrieval: Heat mediated with Sodium citrate buffer (pH 6.0). The section was then stained with ARG65803 anti-ZFYVE19 / ANCHR antibody at RT and detected using an HRP conjugacompact polymer system. DAB was used as the chromogen. The section was then counterstained with haematoxylin and mounted with DPX.
-
ARG65803 anti-ZFYVE19 / ANCHR antibody WB image
Western blot: Raji, A431 and HT29 whole cell lysates stained with ARG65803 anti-ZFYVE19 / ANCHR antibody.
