ARG45146
anti-ZBTB7A antibody
anti-ZBTB7A antibody for Flow cytometry,ICC/IF,IHC-Formalin-fixed paraffin-embedded sections,Western blot and Human
概述
| 产品描述 | Rabbit Polyclonal antibody recognizes ZBTB7A |
|---|---|
| 反应物种 | Hu |
| 应用 | FACS, ICC/IF, IHC-P, WB |
| 宿主 | Rabbit |
| 克隆 | Polyclonal |
| 同位型 | IgG |
| 靶点名称 | ZBTB7A |
| 抗原物种 | Human |
| 抗原 | Synthetic peptide corresponding to N-terminal region of human ZBTB7A. |
| 偶联标记 | Un-conjugated |
| 別名 | ZBTB8A; Zinc finger and BTB domain-containing protein 7A; Factor that binds to inducer of short transcripts protein 1; ZNF857A; Zinc finger and BTB domain-containing protein 7A; FBI-1; LRF; HIV-1 1st-binding protein 1; Pokemon; POK erythroid myeloid ontogenic factor; POZ and Krueppel erythroid myeloid ontogenic factor; Zinc finger protein 857A; Leukemia/lymphoma-related factor; Factor binding IST protein 1; TIP21; ZBTB7; pokemon; FBI1; TTF-I-interacting peptide 21 |
应用说明
| 应用建议 |
|
||||||||||
|---|---|---|---|---|---|---|---|---|---|---|---|
| 应用说明 | * The dilutions indicate recommended starting dilutions and the optimal dilutions or concentrations should be determined by the scientist. | ||||||||||
| 实际分子量 | 72 kDa |
属性
| 形式 | Liquid |
|---|---|
| 纯化 | Affinity purification with immunogen. |
| 缓冲液 | 0.9% NaCl, 0.2% Na2HPO4, 0.05% Sodium azide and 5% BSA. |
| 抗菌剂 | 0.05% Sodium azide |
| 稳定剂 | 5% BSA |
| 浓度 | 0.5 mg/ml |
| 存放说明 | For continuous use, store undiluted antibody at 2-8°C for up to a week. For long-term storage, aliquot and store at -20°C or below. Storage in frost free freezers is not recommended. Avoid repeated freeze/thaw cycles. Suggest spin the vial prior to opening. The antibody solution should be gently mixed before use. |
| 注意事项 | For laboratory research only, not for drug, diagnostic or other use. |
生物信息
| 数据库连接 |
Swiss-port # O95365 Human Zinc finger and BTB domain-containing protein 7A |
|---|---|
| 基因名称 | ZBTB8A |
| 全名 | Zinc finger and BTB domain-containing protein 7A |
| 背景介绍 | Zinc finger and BTB domain-containing protein 7A (LRF, Pokemon, FBI1) is a transcriptional repressor encoded by the ZBTB7A gene that belongs to the POK (POZ and Kruppel)/ZBTB (zinc finger and BTB) family. LRF is broadly expressed with elevated expression in a variety of cancers relative to normal tissues, including non-small cell lung cancer, breast cancer, ovarian cancer, prostate cancer, and hepatocellular carcinoma. Research studies suggest that LRF acts as an oncogene through various mechanisms including repression of the tumor suppressors ARF and Rb, and repression of the cell cycle arrest factor p21Cip1. The LRF transcription factor plays key roles during several stages of hematopoiesis including promoting lymphoid progenitor cells to commit to B cell differentiation by repressing T cell-promoting Notch signals, and promoting cell survival during terminal erythroid differentiation through suppression of the proapoptotic factor Bim. |
| 生物功能 | Plays a key role in the instruction of early lymphoid progenitors to develop into B lineage by repressing T-cell instructive Notch signals (By similarity). Specifically represses the transcription of the CDKN2A gene. Efficiently abrogates E2F1-dependent CDKN2A transactivation/de-repression. Binds to the consensus sequence 5'-[GA][CA]GACCCCCCCCC-3' (By similarity). [UniProt] |
| 细胞定位 | Nucleus. [UniProt] |
| 预测分子量 | 61 kDa |
| 翻译后修饰 | Isopeptide bond; Phosphoprotein; Ubl conjugation. [UniProt] |
检测图片 (4) Click the Picture to Zoom In
-
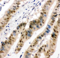
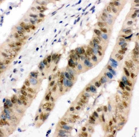
ARG45146 anti-ZBTB7A antibody IHC-P image
Immunohistochemistry: Human intestinal cancer stained with ARG45146 anti-ZBTB7A antibody at 1 μg/ml dilution.
-
ARG45146 anti-ZBTB7A antibody ICC/IF image
Immunofluorescence: A431 stained with ARG45146 anti-ZBTB7A antibody at 5 ug/ml dilution.
-
ARG45146 anti-ZBTB7A antibody WB image
Western blot: MCF-7 stained with ARG45146 anti-ZBTB7A antibody at 0.5 μg/ml dilution.
-
ARG45146 anti-ZBTB7A antibody FACS image
Flow Cytometry: MCF-7 stained with ARG45146 anti-ZBTB7A antibody at 1 µg/10^6 cells dilution.
