ARG46723
anti-ZBP1 antibody
anti-ZBP1 antibody for ICC/IF,IHC-Formalin-fixed paraffin-embedded sections,Western blot and Human,Mouse,Rat
概述
| 产品描述 | Rabbit Polyclonal antibody recognizes ZBP1 |
|---|---|
| 反应物种 | Hu, Ms, Rat |
| 应用 | ICC/IF, IHC-P, WB |
| 宿主 | Rabbit |
| 克隆 | Polyclonal |
| 同位型 | IgG |
| 靶点名称 | ZBP1 |
| 抗原物种 | Human |
| 抗原 | Synthetic peptide corresponding to an 18 amino acid sequence in the C-terminal region of human ZBP1. |
| 偶联标记 | Un-conjugated |
| 別名 | ZBP1; Z-DNA Binding Protein 1; DLM1; DAI; C20orf183; DLM-1; Tumor Stroma And Activated Macrophage Protein DLM-1; DNA-Dependent Activator Of IRFs; Z-DNA-Binding Protein 1; DJ718J7.3; DNA-Dependent Activator Of IFN-Regulatory Factors; Chromosome 20 Open Reading Frame 183 |
应用说明
| 应用建议 |
|
||||||||
|---|---|---|---|---|---|---|---|---|---|
| 应用说明 | * The dilutions indicate recommended starting dilutions and the optimal dilutions or concentrations should be determined by the scientist. | ||||||||
| 实际分子量 | 44 kDa |
属性
| 形式 | Liquid |
|---|---|
| 纯化 | Affinity chromatography purified |
| 缓冲液 | PBS and 0.02% sodium azide |
| 抗菌剂 | 0.02% sodium azide |
| 浓度 | 1 mg/ml |
| 存放说明 | For continuous use, store undiluted antibody at 2-8°C for up to a week. For long-term storage, aliquot and store at -20°C or below. Storage in frost free freezers is not recommended. Avoid repeated freeze/thaw cycles. Suggest spin the vial prior to opening. The antibody solution should be gently mixed before use. |
| 注意事项 | For laboratory research only, not for drug, diagnostic or other use. |
生物信息
| 数据库连接 | |
|---|---|
| 基因名称 | ZBP1 |
| 全名 | Z-DNA Binding Protein 1 |
| 背景介绍 | This gene encodes a Z-DNA binding protein. The encoded protein plays a role in the innate immune response by binding to foreign DNA and inducing type-I interferon production. Alternatively spliced transcript variants encoding multiple isoforms have been observed for this gene. [provided by RefSeq, Dec 2011] |
| 生物功能 | Key innate sensor that recognizes and binds Z-RNA structures, which are produced by a number of viruses, such as herpesvirus, orthomyxovirus or flavivirus, and triggers different forms of cell death. [UniProt] |
| 细胞定位 | Cytoplasm; Nucleus. [UniProt] |
| 预测分子量 | 46 kDa |
| 翻译后修饰 | Phosphorylated. [UniProt] |
检测图片 (5) Click the Picture to Zoom In
-
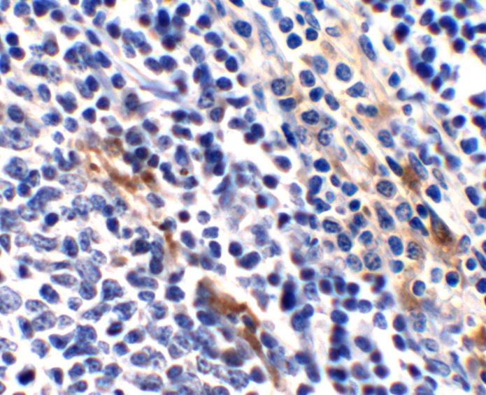
ARG46723 anti-ZBP1 antibody IHC-P image
Immunohistochemistry: Human tonsil stained with ARG46723 anti-ZBP1 antibody.
-
ARG46723 anti-ZBP1 antibody WB image
Western blot: Human tonsil stained with ARG46723 anti-ZBP1 antibody.
-
ARG46723 anti-ZBP1 antibody WB image
Western blot: Rat brain stained with ARG46723 anti-ZBP1 antibody.
-
ARG46723 anti-ZBP1 antibody IHC-P image
Immunohistochemistry: Mouse brain stained with ARG46723 anti-ZBP1 antibody.
-
ARG46723 anti-ZBP1 antibody WB image
Western blot: Mouse brain stained with ARG46723 anti-ZBP1 antibody.
