ARG45210
anti-XTP3TPA antibody
anti-XTP3TPA antibody for Flow cytometry,IHC-Formalin-fixed paraffin-embedded sections,Western blot and Human,Mouse
概述
| 产品描述 | Rabbit Polyclonal antibody recognizes XTP3TPA |
|---|---|
| 反应物种 | Hu, Ms |
| 应用 | FACS, IHC-P, WB |
| 宿主 | Rabbit |
| 克隆 | Polyclonal |
| 同位型 | IgG |
| 靶点名称 | XTP3TPA |
| 抗原物种 | Human |
| 抗原 | Recombinant protein containing to human DCTPP1. |
| 偶联标记 | Un-conjugated |
| 別名 | DCTPP1; DCTP Pyrophosphatase 1; XTP3TPA; RS21C6; CDA03; XTP3-Transactivated Gene A Protein; Deoxycytidine-Triphosphatase 1; XTP3-Transactivated Protein A; DCTPase 1; MGC5627; EC 3.6.1.12 |
应用说明
| 应用建议 |
|
||||||||
|---|---|---|---|---|---|---|---|---|---|
| 应用说明 | * The dilutions indicate recommended starting dilutions and the optimal dilutions or concentrations should be determined by the scientist. | ||||||||
| 实际分子量 | 19 kDa |
属性
| 形式 | Liquid |
|---|---|
| 纯化 | Affinity purification with immunogen. |
| 缓冲液 | 0.2% Na2HPO4, 0.9% NaCl and 4% Trehalose. |
| 稳定剂 | 4% Trehalose |
| 浓度 | 0.5 mg/ml |
| 存放说明 | For continuous use, store undiluted antibody at 2-8°C for up to a week. For long-term storage, aliquot and store at -20°C or below. Storage in frost free freezers is not recommended. Avoid repeated freeze/thaw cycles. Suggest spin the vial prior to opening. The antibody solution should be gently mixed before use. |
| 注意事项 | For laboratory research only, not for drug, diagnostic or other use. |
生物信息
| 数据库连接 | |
|---|---|
| 基因名称 | DCTPP1 |
| 全名 | DCTP Pyrophosphatase 1 |
| 背景介绍 | The protein encoded by this gene is dCTP pyrophosphatase, which converts dCTP to dCMP and inorganic pyrophosphate. The encoded protein also displays weak activity against dTTP and dATP, but none against dGTP. This protein may be responsible for eliminating excess dCTP after DNA synthesis and may prevent overmethylation of CpG islands. Three transcript variants, one protein-coding and the other two non-protein coding, have been found for this gene. [provided by RefSeq, Dec 2015] |
| 生物功能 | Hydrolyzes deoxynucleoside triphosphates (dNTPs) to the corresponding nucleoside monophosphates. Has a strong preference for dCTP and its analogs including 5-iodo-dCTP and 5-methyl-dCTP for which it may even have a higher efficiency. May protect DNA or RNA against the incorporation of these genotoxic nucleotide analogs through their catabolism.. [UniProt] |
| 细胞定位 | Cytoplasm; Mitochondrion; Nucleus. [UniProt] |
| 预测分子量 | 18 kDa |
| 翻译后修饰 | Acetylation; Phosphoprotein. [UniProt] |
检测图片 (4) Click the Picture to Zoom In
-
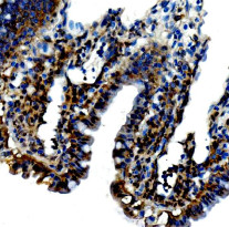
ARG45210 anti-XTP3TPA antibody IHC-P image
Immunohistochemistry: Human liver cancer stained with ARG45210 anti-XTP3TPA antibody at 2 μg/ml dilution.
-
ARG45210 anti-XTP3TPA antibody WB image
Western blot: HepG2, Jurkat, K562, and PC-3 stained with ARG45210 anti-XTP3TPA antibody at 0.5 μg/ml dilution.
-
ARG45210 anti-XTP3TPA antibody FACS image
Flow Cytometry: JK stained with ARG45210 anti-XTP3TPA antibody at 1 µg/10^6 cells dilution.
-
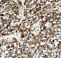
ARG45210 anti-XTP3TPA antibody IHC-P image
Immunohistochemistry: Mouse colon stained with ARG45210 anti-XTP3TPA antibody at 2 μg/ml dilution.
